Mitopapi 🧬🕊️ Profile picture
Sep 1, 2025 19 tweets 8 min read Read on X
Melanin isn't just skin pigment.

It's your brain's metal detox system, a biological semiconductor, and circadian regulator.

And you're probably destroying yours daily.

Here's what you need to know: Image
Your chronic fatigue might not be about stress or thyroid issues. It might be melanin. Yes, the pigment that determines skin color.

It turns out melanin is also a semiconductor that conducts electricity through your tissues and protects your brain from metal toxicity. And everything about modern life is destroying it.Image
See, most people think melanin just sits there in your skin blocking UV rays like some passive sunscreen. But this molecule is active throughout your body, affecting how you produce energy, how you detoxify metals, and how your neurons communicate.

When melanin systems fail, you feel it everywhere. Brain fog, exhaustion, accelerated aging. The research reads like science fiction.Image
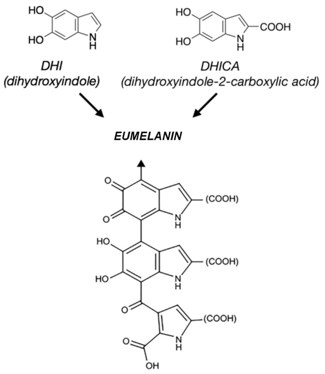
Your body actually makes three different types of melanin, and they're not remotely the same thing.

Eumelanin is the dark workhorse that absorbs everything from UV to near-infrared and dissipates it safely. It makes up about 74% of skin melanin regardless of your complexion. Without it, ten minutes of sun would shred your DNA like paper through a shredder.Image
Then you have pheomelanin, which gives people red hair and freckles and comes with a massive evolutionary trade-off. While eumelanin protects you, pheomelanin actually generates free radicals when exposed to the sun. Image
But here's where it gets weird.

Your brain makes its own special melanin called neuromelanin, and humans have way more of it than any other species. Starting around age three, your neurons begin converting excess dopamine into this dark pigment. It's like your brain realized dopamine metabolites are toxic and invented its own waste management system.Image
This neuromelanin does something absolutely crucial: it binds iron at concentrations 7-10 times higher than the surrounding brain tissue.

Think about that. Your brain is constantly dealing with reactive iron that wants to punch holes in your neurons through hydroxyl radical formation. Neuromelanin grabs that iron and locks it away. It also binds copper + zinc and can even reversibly store dopamine for when you need it later.Image
Now let's talk about some physics. Melanin conducts electricity. Yes. Like an actual organic semiconductor.

When you hydrate it, its conductivity increases exponentially. Scientists can heat-treat melanin to reach 300 S/cm conductivity. Why would evolution create a biological pigment that conducts electricity? Interesting, isn't it...Image
Let's talk about how modern life systematically destroys this system.

Obviously, you're probably not getting enough sun. But it's not just about making less pigment. When you don't get UV exposure, your skin can't produce α-MSH as effectively for melanin synthesis. The entire cascade stalls.Image
Your melanin production literally runs on a 24-hour clock that you're constantly breaking. Morning light sets BMAL1, which controls when melanin gets made. But you wake up in the dark, check your phone, go straight to the car, sit under fluorescents all day, then blast yourself with blue light until midnight. BAD.Image
Chronic stress is going to be a huge problem, too. Cortisol suppresses specific enzymes needed for melanin synthesis.

But here's the real problem: dopamine is the precursor for neuromelanin. When chronically doomscrolling, staring at blue light, and depleting dopamine, your brain loses the raw material for its protective pigment.Image
And we haven't even touched on nnEMFs yet.

Some studies show that household wiring's extremely low frequency fields affect melanin production. High-frequency radiation like 5G might do something completely different. We're ~15-20 years into the smartphone era and just starting to ask these questions. Your natural systems evolved over millions of years, and we changed their entire electromagnetic environment in two decades.Image
If you want to support melanin production, you also need the raw materials. That means roughly 25 mg per kilogram body weight of tyrosine and phenylalanine daily.

Adequate copper intake will also be super important.
Tyrosinase, the enzyme that makes melanin, has copper at its active site. Oysters are one of the best sources of copper by far. Make sure you're not supplementing too much zinc because it can block copper absorption.Image
It should also be noted that sun exposure recommendations are useless without context. Light skin might need 15-25 minutes of midday sun. Dark skin might need an hour because melanin is already absorbing most of the UV. The UV index needs to be above 3.

And here's what matters: daily consistency beats everything. 100 days of getting sun are much better than 3 days of sporadically deciding to change your life.Image
Also, morning sun does something specific for melanin. UVA light exposure on your skin in the morning drives melanin production differently than midday UVB. You need both. But we've created lives where we go from house to car to office, never getting either. Image
Managing oxidative stress is also crucial because melanin synthesis actually generates reactive oxygen species as it forms.

So if your antioxidant systems are shot, you can't complete melanin synthesis without damaging surrounding tissue.

This means the basics matter: colorful plants, bare feet on earth for grounding, managing inflammation, etc.Image
To wrap it all up, let me paint you a picture.

Your ancestors woke with the sun, worked outside, ate organ meats, never saw a blue light after dark, and were not exposed to nnEMFs. Their melanin production was firing on all cylinders.

You? You wake up to an iPhone alarm, eat cereal in LED light, sit under fluorescents for 8 hours, take 75mg of zinc because some influencer said to, then scroll TikTok until 2 am, wondering why you feel like garbage.
We're running the world's dumbest experiment: what happens when you take a biological semiconductor that evolved over millions of years and hit it with everything it hates, all day, every day? Spoiler alert: chronic fatigue, brain fog, and looking like you age in dog years. Your melanin isn't broken. It's just operating in an environment that would make your great-grandmother think you live in a dystopian nightmare. Stop treating the ancient semiconductor in your skin like it's optional equipment.
Thanks for reading!

You can access the full article on my substack:
substack.com/@mitopapi/note…

• • •

Missing some Tweet in this thread? You can try to force a refresh
 

Keep Current with Mitopapi 🧬🕊️

Mitopapi 🧬🕊️ Profile picture

Stay in touch and get notified when new unrolls are available from this author!

Read all threads

This Thread may be Removed Anytime!

PDF

Twitter may remove this content at anytime! Save it as PDF for later use!

Try unrolling a thread yourself!

how to unroll video
  1. Follow @ThreadReaderApp to mention us!

  2. From a Twitter thread mention us with a keyword "unroll"
@threadreaderapp unroll

Practice here first or read more on our help page!

More from @Mitopapi

Feb 14
1 in 4 babies in the United States have ZERO detectable Bifidobacterium in their gut. And it's destroying their health before they even get a chance.

Time for a conversation: Image
A massive new study just came out called My Baby Biome. 412 infants across 48 states. And what they found is alarming.

You can access the study here:
Jarman, J.B., Torres, P.J., Stromberg, S. et al. Bifidobacterium deficit in United States infants drives prevalent gut dysbiosis. Commun Biol 8, 867 (2025).Image
Bifidobacterium is supposed to be one of the cornerstone microbes in an infant's gut. It's critical for immune development, it helps break down the sugars in breast milk called human milk oligosaccharides, and it keeps pathogenic bacteria from taking over. Image
Read 10 tweets
Dec 13, 2025
Millions of people are popping PPIs for acid reflux without realizing the damage they're causing.

These things were designed for short-term use. We're talking 4-8 weeks max.

Yet people stay on them for years.

Here's what they're actually doing to your body: Image
This post will cover:

- How PPIs actually work in your body
- The nutrient deficiencies they cause (and why)
- The gut issues that follow
- Effects on your bones and kidneys
- What's actually contributing to reflux in the first place

Let's get into it.

(NOT MEDICAL ADVICE)
How PPIs Actually Work

PPIs are prodrugs. This means they're inactive when you swallow them.

They travel to your stomach lining and accumulate in the parietal cells. Once they hit the acidic environment inside these cells, they activate and get to work.

The activated PPI forms a covalent bond with your proton pumps. This is an irreversible bond. Those specific pumps are now out of commission.

Your stomach can only make acid again once it synthesizes brand new pumps. This takes roughly 36-72 hours.Image
Read 18 tweets
Sep 16, 2025
Persistent brain fog, memory issues, and mood volatility often share a common cause: blood-brain barrier breakdown.

While everyone focuses on gut health, many don't realize their brain's protective barrier could be failing.

Let's talk: Image
The blood-brain barrier is only one cell thick. It's literally one microscopic layer of endothelial cells that stands between your brain and everything circulating in your blood.

When that layer fails, toxins, bacteria, inflammatory molecules, and metabolic waste products have full permission to cause havoc in your brain. The result isn't just brain fog or headaches. We're talking about the foundation for neurodegeneration, psychiatric disorders, and even chronic neuroinflammation.Image
The symptoms start subtly and are dismissed as normal adult life. "Oh, you're just getting older."

Your thinking isn't as sharp after poor sleep. Your mood becomes highly unpredictable. The act of focusing requires more effort. Procrastination becomes your default state.

These aren't separate issues but perhaps symptoms of a compromised blood-brain barrier that's deteriorating with each passing month.Image
Read 20 tweets
Sep 4, 2025
Candida overgrowth is much more than an average yeast infection.

It's a biofilm-building, shape-shifting organism that can tear your immune system to shreds.

And you're probably feeding it every day.

Here's what nobody's telling you about beating it: Image
Your brain fog and ADHD symptoms might not be about sleep deprivation or chronic stress. It might be candida biofilms.

Yes, the same fungus that causes oral thrush and vaginal infections. Candida can build protective fortresses in your gut that are EXTREMELY resistant to conventional drugs. These biofilms can create chronic infections that standard treatments can't touch. And everything about modern life helps them thrive.Image
Most people think that Candida is just some opportunistic yeast that overgrows when you eat too much sugar. However, Candida runs a smooth operation. Image
Read 18 tweets
Aug 30, 2025
So you got prescribed iron pills for "anemia" and your doctor barely explained anything? Classic.

Here's what they didn't tell you: there are multiple routes by which anemia can happen, and depending on which one it is, you'll have to treat it differently.

Let's discuss: Image
Iron deficiency anemia and anemia of chronic disease can both make you exhausted.

You're dragging yourself through the day, getting winded walking up stairs, and might even have brain fog so thick you can't think straight.

But if you treat them the same way, you can often make things way worse.Image
Anemia of iron deficiency is quite simple: your iron tank is literally empty.

Your bone marrow is trying to make red blood cells, but it's like trying to bake bread without flour. Image
Read 20 tweets
Aug 28, 2025
If you're dealing with fatigue, brain fog, or weird histamine reactions, methylation might be the missing piece.

It's how your body moves single carbon units around to run thousands of reactions that affect everything from mood to detox capacity.

Here's how it works: Image
Think of methylation as your body's biochemical switchboard, moving tiny one-carbon units around to regulate thousands of cellular functions.

At the center of this whole operation, nutrients from the folate and methionine cycles come together to generate something called S-adenosylmethionine (SAMe), which is basically your universal methyl donor that fuels reactions happening millions of times per second in every single cell.Image
When your methyl pool is working properly, cells can modify DNA to influence gene expression without actually changing your genetic code.

They fine tune neurotransmitter levels to keep your mood stable and your brain sharp, construct phosphatidylcholine for healthy cell membranes, and generate creatine for immediate energy demands.

It also drives the recycling of glutathione for detoxification while calibrating immune responses so they stay balanced instead of going haywire.Image
Read 20 tweets

Did Thread Reader help you today?

Support us! We are indie developers!


This site is made by just two indie developers on a laptop doing marketing, support and development! Read more about the story.

Become a Premium Member ($3/month or $30/year) and get exclusive features!

Become Premium

Don't want to be a Premium member but still want to support us?

Make a small donation by buying us coffee ($5) or help with server cost ($10)

Donate via Paypal

Or Donate anonymously using crypto!

Ethereum

0xfe58350B80634f60Fa6Dc149a72b4DFbc17D341E copy

Bitcoin

3ATGMxNzCUFzxpMCHL5sWSt4DVtS8UqXpi copy

Thank you for your support!

Follow Us!

:(