Analyze & Optimize Profile picture
Sep 18 8 tweets 4 min read Read on X
Wi-Fi radiation can have devastating consequences on testosterone and sperm health, as multiple studies have demonstrated.

(🧵1/7)Image
For example, here's one study examining the impact of just 2 hours of Wi-Fi radiation exposure.

The parameters were matched to meet most modern WiFi standards.

◇ 2.45-GHz (frequency)
◇ 64.776 mW (power output)
◇ 0.029812 mW/cm² (power density)
◇ 0.018 W/Kg (specific absorption rate, or how much radiation tissues actually absorb)

Keep in mind that both your Wi-Fi router AND your phone put out this type of radiation within these parameters.

(2/7)Image
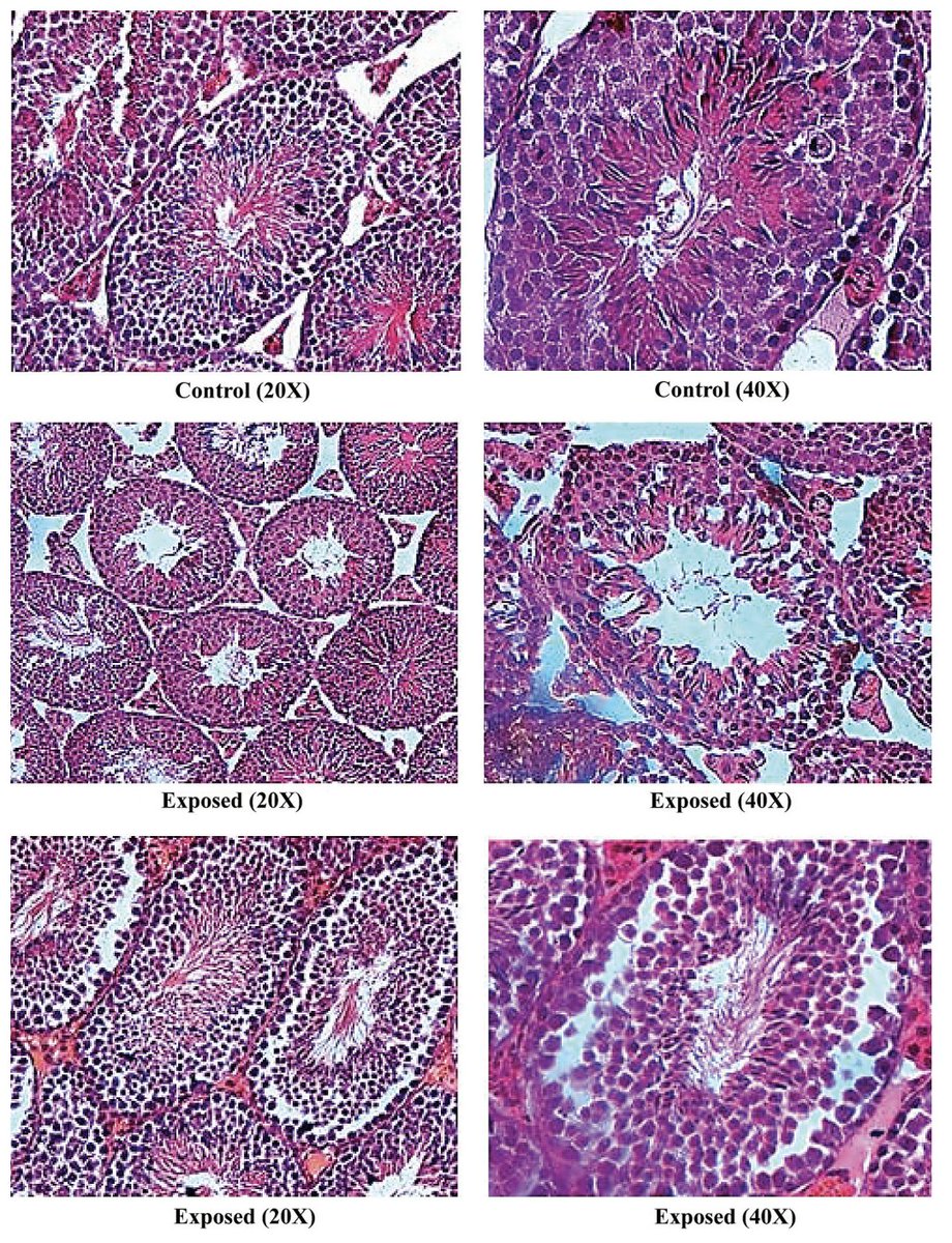
Wi-Fi at just 2 hours a day ripped apart the structure of the seminiferous tubules, the main functional unit of the testicles.

The diameter of these tubules was smaller and the Leydig cells, which produce testosterone, were also degenerated.

(3/7) Image
Image
Wi-Fi also worsened sperm health.

Both sperm count and viability were reduced with exposure.

Previous studies showed that they could cause DNA damage in these cells, and even hypothesized that putting a laptop on your lap could directly cause this.

(4/7) Image
Wi-Fi was able to do this by inducing oxidative and nitrosative stress.

Essentially, it causes the production of small but highly reactive molecules made of oxygen and nitrogen.

These can cause damage to tissues and alter hormonal / signaling functions.

(5/7) Image
Image
Image
Strikingly, testosterone was a THIRD of control values when exposed to Wi-Fi.

2 hours a day, all parameters similar to what you and I get exposed to just by using our phones.

(6/7) Image
A recent systematic review of the literature included 19 studies corroborated these findings, concluding that "limiting the use of wireless devices is recommended."

It is true that most of these are animal studies, but as we've discussed, the exposure parameters match (or even underestimate) exposures in humans.

There won't be any human trials on this, ever, I can almost guarantee you that.

The human studies on exposure we do have are very limited, mainly because we're all getting blasted with Wi-Fi all the time.

(7/7)Image

• • •

Missing some Tweet in this thread? You can try to force a refresh
 

Keep Current with Analyze & Optimize

Analyze & Optimize Profile picture

Stay in touch and get notified when new unrolls are available from this author!

Read all threads

This Thread may be Removed Anytime!

PDF

Twitter may remove this content at anytime! Save it as PDF for later use!

Try unrolling a thread yourself!

how to unroll video
  1. Follow @ThreadReaderApp to mention us!

  2. From a Twitter thread mention us with a keyword "unroll"
@threadreaderapp unroll

Practice here first or read more on our help page!

More from @Outdoctrination

Sep 19
RAW MILK protects against Alzheimer's and keeps the brain young, sharp and healthy, even in small amounts, recent research has shown.

(🧵1/7) Image
Studies have investigated the impact of a peptide mix called colostrinin on the brain.

Colostrinin is a fraction of the protein from colostrum, or first milk.

In this paper, it was used at :

➜ 100 μg every other day
➜ 3 weeks on then 2 weeks off
➜ Total of 15 weeks
➜ Patients with existing Alzheimer's

You'll get that much in a few sips of raw milk, even less of colostrum.

(2/7)Image
The milk peptides substantially slowed the rate of cognitive decline substantially.

While people taking placebo in phase 1 (first 15 weeks) had their Alzheimer's worsen by about 19%,

those taking colostrinin remained essentially the same.

(3/7) Image
Read 7 tweets
Sep 19
High cholesterol probably makes you live longer, and might even prevent cancer.

This research gets ignored, but here's one example.

People in this study with LOW LDL cholesterol had a 4X increased risk of dying from stroke.

(🧵1/8)Image
High cholesterol was protective, even against heart disease.

People with "high" (>100) LDL had lower deaths from:

◇ Any cause
◇ Cardiovascular disease
◇ Cancer

These people were followed for 23 years (median), one of the longest / best studies to date.

(2/8) Image
An older study here showed similar results.

People with high cholesterol survived substantially longer on average.

This was true, even for dying of a heart problem.

(3/8) Image
Image
Read 9 tweets
Sep 17
Raw milk might be able to keep the brain young, sharp and healthy, even in small amounts.

(🧵1/7)Image
Studies have investigated the impact of a peptide mix called colostrinin on the brain.

Colostrinin is a fraction of the protein from colostrum, or first milk.

In this paper, it was used at :

➜ 100 μg every other day
➜ 3 weeks on then 2 weeks off
➜ Total of 15 weeks
➜ Patients with existing Alzheimer's

You'll get that much in a few sips of raw milk, even less of colostrum.

(2/7)Image
The milk peptides substantially slowed the rate of cognitive decline substantially.

While people taking placebo in phase 1 (first 15 weeks) had their Alzheimer's worsen by about 19%,

those taking colostrinin remained essentially the same.

(3/7) Image
Read 7 tweets
Sep 13
HIGH CORTISOL: Here are 5 ways to lower it (backed by research):

#1 GABA

GABA completely stops cortisol.

25-50 mg orally halts it in response to physiological stress, improving:

⊙ Fatigue
⊙ Concentration
⊙ Physical discomfort

(🧵1/9) Image
GABA can suppress cortisol by its action in the brain.

The hypothalamus produces CRH ➞ pituitary to produce ACTH ➞ adrenals to produce cortisol.

GABA input to the hypothalamus calms these neurons, preventing CRH release and cortisol production.

(2/9) Image
Image
#2 Grounding

6 weeks of grounding completely normalized the cortisol pattern throughout the day.

& improved sleep.

The difference is dramatic in my experience (+ with clients).

(3/9) Image
Read 9 tweets
Sep 13
Ivermectin has some striking anti-cancer properties.

(🧵1/8)Image
A study came out earlier this year in Nature, one of the biggest biology journals on the planet.

The big finding was that Ivermectin turned "cold tumors" into "hot tumors" - essentially meaning they were more likely to be seen and destroyed by the immune system.

Thus, it induced immunogenic cancer cell death (ICD).

CD4 + CD8 are markers for immune cells called T cells - as you can see they were in greater amounts around the tumor with ivermectin.

This shrank breast tumors.

(2/8)Image
One of the main ways ivermectin was therapeutic here was by inducing ATP dependent pathways in immune cells.

ATP is the energy life force of our cells, but when it's outside the cells, that's usually a sign they're dying and releasing it - so it's an immune trigger.

Ivermectin acts on this pathway to activate immune cells, which in cancer therapy, is good, since the immune system clears out cancer cells.

(3/8)Image
Read 9 tweets
Sep 11
Bluetooth headphones might cause serious damage, new research has shown.

(🧵1/7)Image
This study was published last year in Nature.

While it is an epidemiological study, the researchers implemented several techniques to minimize confounding variables.

They did this by "matching" people with Propensity Score Matching (PSM).

That means they found a "twin" for each person (similar in all measured aspects like age, sex, obesity, smoking etc.) - one using and one not using bluetooth headphones.

(2/7)Image
Image
They then used machine learning to predict what factors were most associated with thyroid nodules.

The machine predicted nodules with 95% accuracy.

In other words, this robot they made was almost perfect at guessing whether or not someone had a thyroid nodule just on their survey information.

(3/7)Image
Image
Read 8 tweets

Did Thread Reader help you today?

Support us! We are indie developers!


This site is made by just two indie developers on a laptop doing marketing, support and development! Read more about the story.

Become a Premium Member ($3/month or $30/year) and get exclusive features!

Become Premium

Don't want to be a Premium member but still want to support us?

Make a small donation by buying us coffee ($5) or help with server cost ($10)

Donate via Paypal

Or Donate anonymously using crypto!

Ethereum

0xfe58350B80634f60Fa6Dc149a72b4DFbc17D341E copy

Bitcoin

3ATGMxNzCUFzxpMCHL5sWSt4DVtS8UqXpi copy

Thank you for your support!

Follow Us!

:(