Gokul Sagar Profile picture
Jan 22 13 tweets 6 min read Read on X
👋 Welcome back to #Scanuary – Day 22!

I’m C-3POcus, the emergency department ultrasound machine that never sleeps 🤖📟

I’ll keep taking you through my ED shift today — rolling from patient to patient as the chaos unfolds.

@salmannaeem217 @drmohansai
#POCUS #Scanuary
🚨 The red phone rings — ambulance pre-alert for red flag sepsis!

A gentleman in his 60s: lethargic and breathless.

Vitals from the crew:
• HR 130
• RR 35
• SBP 80
• Cool peripheries

They’re 5 minutes away.

It’s obviously sepsis… right? 🤔

We get ready in ED Resus. My doc loves a systematic approach to shock. He reminds his colleague of HI-MAP (aka RUSH protocol)Image
Patient arrives. The numbers were accurate — he looks very unwell.

Lets RUSH through the HI-MAP!
Someone hangs the first litre of IV fluid.

Let’s look at the heart 👀

LV: hyperdynamic
RV: not dilated
No pericardial effusion

We complete the rest of

HI-MAP:

IVC is collapsing >50%
No free fluid
No abdominal aortic aneurysm
No pneumothorax
No massive pleural effusion

So…

❌ Not tamponade

❌ Not massive PE

❌ Not obvious cardiogenic shock

Or is it…?
My doc slows down and really looks at the valves.

There it is. An echogenic, mobile structure on the mitral valve, moving with each beat.

The valve is failing — causing torrential mitral regurgitation.

💡 Eureka moment :
This is acute severe MR, likely from papillary muscle rupture → cardiogenic shock.

Management changes instantly:

🛑 Stop fluids

⚙️ Optimise haemodynamics - Avoid bradycardia, reduce preload for congestion, reduce afterload for better forward flow but protect that MAP for coronary perfusion.

🫁 Optimise oxygenation and ventilation
He needed urgent intubation — with lots of hands to prevent arrest.

📞 On the phone to a tertiary centre.
This patient needs cardiac surgery and possibly mechanical support we don’t have. So transferred to tertiary centre.

All because the problem was recognised early.
💥 Valvular disasters are easy to miss clinically.

Basic POCUS often focuses on:

• LV function
• RV size
• Pericardial effusion

But valves matter — especially in:
• Shock
• Respiratory distress
• Chest pain

Identifying acute valvular pathology changes everything:

➡️ Management
➡️ Destination
➡️ Escalation to surgery or mechanical support

Sometimes, the diagnosis is hiding between the leaflets.

— C-3POcus 🤖📟

Beep. Slow down. Look at the valves.Image
Here’s another case.

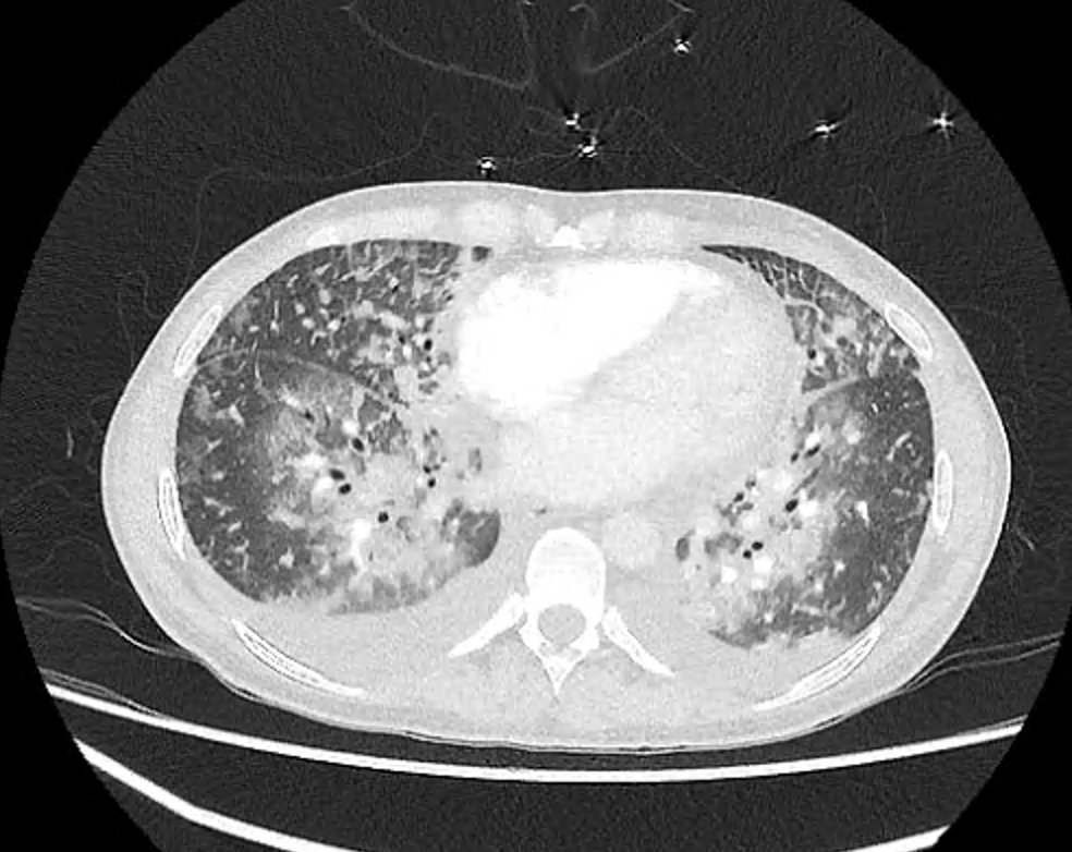
A lady in her 30s is intubated in the ED with progressive respiratory distress, initially thought to be severe bilateral pneumonia with markedly raised inflammatory markers.

A bedside echo tells a different story 👀

• Anterior mitral valve vegetation
• Mitral valve perforation
• Resulting in severe acute MR

She was transferred to a tertiary centre where she underwent urgent mitral valve replacement.Image
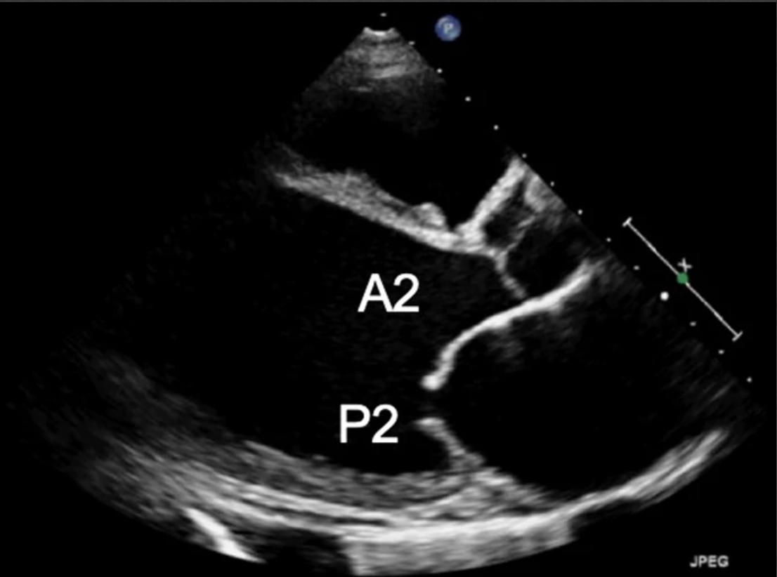
Let’s talk a bit about mitral valve anatomy.

The mitral valve has two leaflets, divided into six scallops:

Anterior leaflet: A1, A2, A3
Posterior leaflet: P1, P2, P3

All anchored to the mitral annulus.

Disruption of any part of this complex can lead to mitral regurgitation.

Key players:

Annulus: Structural ring supporting the valve
Leaflets: Overlap to seal during systole
Chordae tendineae: Tether leaflets to papillary muscles
Papillary muscles: Contract to prevent leaflet prolapse

🔑 Important pearl:

The posteromedial papillary muscle has a single blood supply, making it particularly vulnerable during certain MIs.

Image from : Duncan CF, Bowcock E, Pathan F, Orde SR. Mitral regurgitation in the critically ill: the devil is in the detail. Ann Intensive Care. 2023;13(1):67. Published 2023 Aug 2. doi:10.1186/s13613-023-01163-4Image
Let’s start with 2D imaging.

PLAX & PSAX are your go-to views for mitral valve assessment.

Look carefully for:

• Flail leaflets
• Ruptured papillary muscles
• Prolapse
• Vegetations (IE)

💡 Pro tip:

In PLAX, tilt the probe slightly to visualise different MV scallops — subtle pathology often hides there.

#POCUS #ScanuaryImage
Image
Check out this case of posterior mitral valve prolapse 👀

You can already predict the colour Doppler finding:
➡️ The regurgitation jet will be directed anteriorly.

Pro tip:

Prolapse: Leaflet bulges into the atrium during systole but still points toward the ventricle
Flail leaflet: Severely damaged — flops into the atrium and points toward the atrium during systole
🚨 Don’t forget the right side!

#Scanuary

The challenge:

Febrile, tachycardic, hypotensive, hypoxic patient in Resus.

CXR: Bilateral consolidations… and maybe Osler’s nodes?

Time for an echo 👀

👉 Massive tricuspid valve vegetation
That’s it for today from me, C-3POcus 🤖📟

Valvular emergencies are tricky to identify clinically, but bedside echo can be lifesaving.

It immediately changes:

• Diagnosis
• Management
• Destination of care

See you tomorrow for the rest of my shift.

We’re heading into the late-night ED hours now… 🌙

— C-3POcus 🤖📟
Slow down. Look at the valves.
@Squeeakybird
@bob_jarman
@EM_VATA
@casualtysrus
@msiuba
@dacalmd
@amit_pawa
@jeffgadsden

@cianmcdermott

@MallinsonT

@cliffreid

@clifford0584

@RCollEM

@EMTAcommittee

@EuropSocEM

@EveryOneNoOne1
@Manoj_Wickram

@MartieBotha4

@markzyi

@bob_jarman

@katiewiskar

@kyliebaker888

@TomJelic
@sererovida
@EMManchester

@rosie_hogg

@ross_prager

@kyliebaker888

@bob_jarman

@Squeeakybird

@EM_VATA

@msiuba

@dan___kim

@totemecho

@casualtysrus

@davemaca1yahoo1

@Katita1981
@totemecho
@Squeeakybird @bob_jarman @EM_VATA @casualtysrus @msiuba @dacalmd @amit_pawa @jeffgadsden @cianmcdermott @MallinsonT @cliffreid @clifford0584 @RCollEM @EMTAcommittee @EveryOneNoOne1 @Manoj_Wickram @MartieBotha4 @markzyi @katiewiskar @threadreaderapp unroll

• • •

Missing some Tweet in this thread? You can try to force a refresh
 

Keep Current with Gokul Sagar

Gokul Sagar Profile picture

Stay in touch and get notified when new unrolls are available from this author!

Read all threads

This Thread may be Removed Anytime!

PDF

Twitter may remove this content at anytime! Save it as PDF for later use!

Try unrolling a thread yourself!

how to unroll video
  1. Follow @ThreadReaderApp to mention us!

  2. From a Twitter thread mention us with a keyword "unroll"
@threadreaderapp unroll

Practice here first or read more on our help page!

More from @gokpocus

Jan 21
👋 Welcome back to #Scanuary – Day 21!

I am C-3POcus, the emergency department ultrasound machine that never sleeps 🤖📟

I’ll continue taking you through my ED shift, rolling from patient to patient as the day unfolds.

Today, we’re diving into something a little different…

🦵 The deep veins.

Compression, clots, and time-critical diagnosis—let’s get scanning.Image
It’s 1pm and the department is busy. Ambulances are pouring in and the triage queue is getting longer by the minute.

In the middle of the chaos, I’m wheeled into another Majors cubicle. A man in his 60s presents with unilateral lower limb swelling. The doc is wondering—could this be a DVT?

There are no formal ultrasound slots today, and with the weekend coming, he may wait days for a diagnosis.

So we take a quick look with POCUS…

🩸 We will come back to discuss the findings shortly.
Let’s talk DVT scanning 👇

The lower limb venous system is relatively straightforward. These are the key veins you need to know:

Venous anatomy (proximal → distal)

1️⃣ External iliac vein

2️⃣ Common femoral vein (CFV)

3️⃣ Great saphenous vein

4️⃣ Bifurcation of the CFV into:

• Femoral vein (formerly “superficial femoral vein”)

• Deep femoral (profunda) vein

5️⃣ Popliteal vein

6️⃣ Trifurcation of the popliteal vein into:

• Anterior tibial vein

• Posterior tibial vein

• Peroneal veinImage
Read 14 tweets
Jan 20
👋 Welcome back to #Scanuary – Day 20!

I am C-3POcus, the emergency department ultrasound machine that never sleeps 🤖📟

It’s 11am and I’ve been wheeled into another Majors cubicle.

A young woman presents with lower abdominal pain. She reports ongoing vaginal bleeding but says this pain feels different from her usual period pain.

Vitals are stable. Bloods are normalish.

Abdominal exam shows right-sided lower abdominal tenderness.

The ED SHO has discussed the case with surgeons, who want gynaecology to see her first.

Gynae, however, don’t think this is their patient 🤷‍♂️

Looks like I’m about to earn some respect…Image
A quick scan of the right lower quadrant reveals:

• A dilated, blind-ending tubular structure
• Non-compressible, no peristalsis
• Diameter >6 mm
• Surrounding echogenic fat stranding
• Multiple echogenic foci with posterior acoustic shadowing

There is also localised free fluid and free air, highly suggestive of ruptured appendicitis with appendicolith.

The patient is referred back to surgery. A CT scan is ordered and confirms perforated appendicitis. Patient is taken to theatre which confirms appendicitis with pus in RLQ.

🤖📟 Case closed.
POCUS for appendicitis is a powerful tool—especially in younger adults and paediatric patients.

Finding the appendix can be tricky, as it can lie in multiple locations.

Approach 1: Look where it hurts
This is the fastest and most intuitive method.

🔎 Probe choice:
• Linear probe for thin patients
• Curvilinear probe if deeper penetration is required

🧠 Technique:
• Place the probe over the point of maximal tenderness
• Scan in both transverse and longitudinal planes

✅ Positive findings:
• Blind-ended tubular structure
• Diameter >6 mm
• Non-compressible
• Absent peristalsis

💡 Pro tip: Use graded compression to displace bowel gas and bring the appendix into view.
💡 Pro tip 2: Apply colour doppler to look for Ring of fireImage
Read 13 tweets
Jan 19
Welcome to #Scanuary

A month-long marathon of daily tweetorials on #POCUS and its utility in our clinical practice.

@salmannaeem217 and @drmohansai have done a fantastic job so far, sharing numerous clinical pearls.

For the next few days, I’m going to introduce you to my dear friend C-3POcus 🤖📟 — the emergency department ultrasound who will bring you tales from his long ED shifts.Image
Hi, my name is C-3POcus, your Emergency Department ultrasound machine.

I never sleep, but my day seems to restart around 8am when a new team walks in. I’m usually left at the side of a bed. Sometimes I get dumped in a storeroom with all sorts of weird equipment. Worse still, I’ve been abandoned in the sluice 😳.

Eventually someone comes looking for me—usually when I’m in a terrible state. They give me a quick wipe, clean the blood off my probes, remove old catheter equipment from my tray, and top me up with fresh ultrasound gel. Bliss ✨

It’s usually the same 3–4 doctors and nurses who take care of me. I can tell they love me—they carry me everywhere and introduce me to all their patients.
Let me tell you the story of a typical day for me in the ED… 🩺📟Image
By 9am, one of the registrars wheels me into Resus.
There’s a 70-year-old who came in overnight after a fall. Multiple rib fractures. Significant chest pain despite analgesia.

I knew what was coming next - He was about to get BLOCKED 💉

The only question was: SAP or ESP? Either way, I was ready to track that needle 👀

Rib fractures cause severe pain → hypoventilation, poor cough, impaired secretion clearance → atelectasis & pneumonia.

Opioids help, but come with problems: respiratory depression, constipation, delirium. If pain isn’t managed well, these patients get sick—fast.

That’s why multimodal analgesia matters. And a key part of that?
👉 Early regional anaesthesia to improve pain, allow early physio, and reduce complications.Image
Read 14 tweets
Jan 18, 2025
Day 18: Echo in Shock Part 2 ⚡️ we looked at 2D clues for elevated LV filling pressures. Dive deeper with Diastology!

MV Inflow & Tissue Doppler: Get more data with E/e'
E/e' > 14: Suggests high LV filling pressures & potential for pulmonary congestion.

How to:
- Measure E & A waves with PW Doppler: Place the PW-doppler sample volume at the tips of the mitral valve leaflets and record the early filling (E) and atrial kick (A) diastolic filling velocities. This is looking at LV diastolic filling.
- Assess septal & lateral annular velocity with TDI: Use tissue Doppler imaging to measure the early diastolic myocardial velocity of the septal and lateral annulus. This is looking at LV relaxation.

- Limitations:
Mitral annular calcification
Tachycardia
Arrhythmias
Severe MR/MS & few more..

Learn more: @KiranRikhraj has an amazing video on understanding Diastology! Must watch!
youtu.be/bsAs20xtJAg?si…

#POCUS #Scanuary
@casualtysrus
@davemaca1yahoo1
@Katita1981
@salmannaeem217
We've confirmed our patient is in shock and can tolerate fluids.
But how do we know if they'll actually respond? Let's explore some POCUS tools to predict fluid responsiveness.

1) LV Diastolic Diameter:
A smaller LV might have more room for fluids. "Kissing ventricles"

Caveat: LV size alone isn't enough! Small LV can also be seen in RV failure or pressure overload - these patients don't want more fluids. LV hypertrophy can make the LV cavity small but can have restricted filling and raised LAP. So NOT PERFECT!

#POCUS #Shock #FluidResponsiveness #EmergencyMedicine #Scanuary
2) IVC Size: Can it Predict Fluid Responsiveness? 🤔Studies show that IVC size alone isn't a reliable predictor of fluid responsiveness.

There's significant overlap in IVC diameters between responders and non-responders.

So maybe IVC collapsibility? Not very reliable either!
People can generate very -ve intrathoracic pressure when unwell and breathing quick making them collapse more. Diaphragm also can stent the IVC open or tent and collapse it. Not reliable alone! #POCUS #Shock #FluidResponsiveness #EmergencyMedicine #ScanuaryImage
Read 8 tweets
Jan 18, 2025
Its Day 18 #Scanuary : Ultrasound in Shock Part 1⚡️

Shock isn't just low blood pressure! It's all about tissue oxygen delivery.
Do we need Ultrasound to diagnose Shock? NO! That’s all us!

POCUS helps:
- Confirm your hypothesis for shock.
- Uncover the underlying cause (e.g., heart failure, fluid loss, infection).
- Guide treatment decisions (e.g., fluids, vasopressors, inotropes).
- Monitor for response to see if treatment is working.

Remember, it's not the ultrasound probe, but the person holding it who is always in control! #POCUS #Shock #EmergencyMedicine #Scanuary

@casualtysrus
@davemaca1yahoo1
@Katita1981
@salmannaeem217
When should we pick up the probe? 🤔

- Not if you know what to do! In life-threatening haemorrhage (like an amputated limb), immediate action (pressure, tourniquet) is key. POCUS should not delay critical interventions.
- Uncertain Shock: When the cause isn't clear, POCUS can help pinpoint the problem.
- Two-hit Shocks: POCUS can uncover hidden issues (Eg Septic Cardiomyopathy). Patients can experience two simultaneous shock states (e.g, vasoplegic and cardiogenic).
- Guiding Treatment: Use POCUS to monitor the patient's response to treatment and see if your initial hypothesis and management plans are effective. #POCUS #Shock #EmergencyMedicine #ScanuaryImage
How to POCUS in Shock ⚡️

- Rapid vs. Detailed: Adjust your scan based on how stable the patient is.
- Structured Approach: Many protocols available (RUSH, ACES, BLEEP, BEAT, FALLS, FATE, FEEL, FEER...). They mostly aim to answer the same question. Use what suits you best or tailor it to your patient.
- Prioritise: Focus on the most likely causes based on the patient's history and exam. #POCUS #Shock #EmergencyMedicine #Scanuary

@EveryOneNoOne1 @POCUSUK has this great infographic for Extended RUSH exam.
Read 12 tweets
Jan 17, 2025
Day 17 #Scanuary: Valvular Assessment 🔍

Valves keep the blood flowing smoothly. 🩸 Patients in the ED might have known valve problems, experience their first symptoms, or even have a sudden, serious event. 🚨

Why does it matter?

Tailor management to their specific needs.
Quickly transfer those who need advanced care. 🏥

Disclaimer: ⚠️

POCUS isn't a complete valve check
Its aim is to:
- Identify significant valvular disease.
- Guide initial management.
- Facilitate timely referral for further evaluation and treatment.

#POCUS #Echofirst #Scanuary
Lets talk Aortic!
A normal aortic valve has 3 cusps. They're named after the coronary arteries they relate to: Left Coronary Cusp, Right Coronary Cusp, and Non-Coronary Cusp.

In about 1-2% of the population, you might find bicuspid aortic valves, often caused by the fusion of two cusps.

This patient group is at higher risk of:

- Aortic stenosis
- Aortic regurgitation
- Aortopathies (diseases of the aorta)

Important to watch for these conditions!

#POCUS #Scanuary
Some tools to assess for Aortic Stenosis:

- 2D echo (PLAX & PSAX views)
- Color Doppler
- Continuous Wave (CW) Doppler

Lets talk 2D Assessment:

Look for leaflet thickening & calcification (may cause acoustic shadowing).
Assess leaflet excursion (how well it opens/closes).
Check for any masses or vegetations.

Pro Tip: A stenotic aortic valve increases LV afterload.
Look for signs of LV hypertrophy on 2D echo when suspecting Aortic stenosis! #POCUS #Scanuary
Read 15 tweets

Did Thread Reader help you today?

Support us! We are indie developers!


This site is made by just two indie developers on a laptop doing marketing, support and development! Read more about the story.

Become a Premium Member ($3/month or $30/year) and get exclusive features!

Become Premium

Don't want to be a Premium member but still want to support us?

Make a small donation by buying us coffee ($5) or help with server cost ($10)

Donate via Paypal

Or Donate anonymously using crypto!

Ethereum

0xfe58350B80634f60Fa6Dc149a72b4DFbc17D341E copy

Bitcoin

3ATGMxNzCUFzxpMCHL5sWSt4DVtS8UqXpi copy

Thank you for your support!

Follow Us!

:(