Thread Reader
Share this page!
×
Post
Share
Email
Enter URL or ID to Unroll
×
Unroll Thread
You can paste full URL like: https://x.com/threadreaderapp/status/1644127596119195649
or just the ID like: 1644127596119195649
How to get URL link on X (Twitter) App
On the Twitter thread, click on
or
icon on the bottom
Click again on
or
Share Via icon
Click on
Copy Link to Tweet
Paste it above and click "Unroll Thread"!
More info at
Twitter Help
Helmi-senpai ( ヘルミ先輩 ) | 🇲🇾
@NerdKid_94
| 94' | #Leo | Internal Medicine Specialist trainee PGY 1 | Respiratory Consultant in the making | Im nerdkid_94 on X, Ig and TikTok
Subscribe
Save as PDF
Mar 8, 2022
•
4 tweets
•
3 min read
60 pulls in and dah C8 dah Pyro Archon ni
#DieMe
Of 80 pulls and a C10 Pyro Archon
Welcome home!
Save as PDF
Feb 7, 2022
•
7 tweets
•
3 min read
Pagi tadi punya la happy pukul 5 pagi punya la happy oncall aku 1 referral je kat PAC.
Tetiba at 0545 kena jerit "BABY BORN DALAM KERETA, DR CEPAT"
Birth Before Arrival
Benda ni bahaya actually so I'm going to tell you the signs that your baby is coming out soon in this thread
1)
*Show* / Mucus plug
Dia macam lendir hingus.
Selalu kalau anak dah 37 minggu ke atas (or earlier if preterm) ini salah satu petanda nak start dah proses kelahiran.
Korang kalau perasan lendir² ni pi la check. No harm
Save as PDF
May 18, 2021
•
6 tweets
•
3 min read
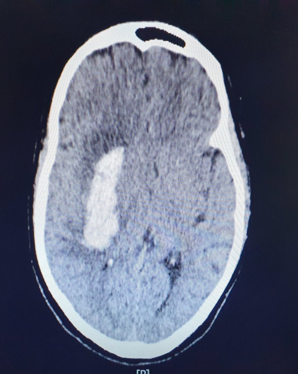
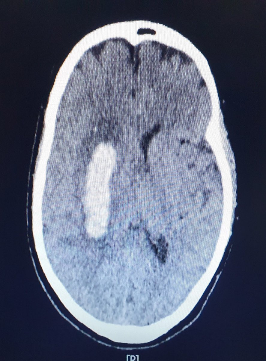
Today is a sad day for me.
Patient bangun subuh 6am.
Masa berwhuduk developed Left sided body weakness. Jatuh.
6.30am suami cucuk jarum kat telinga and jari sebab pernah baca WhatsApp itu rawatan strok
12pm tiba² patient complaint sakit kepala yang paling teruk dia pernah rasa
Tahu pukul berapa family hantar patient sampai ke Jabatan kecemasan?
2pm
Tahu berapa blood pressure patient?
220/135 mmHg (Normal 120/80)
CT Brain tu tunjuk yang dah berlaku pendarahan dalam otak sebab tekanan darah yang terlalu tinggi.
Salur darah dah pecah.
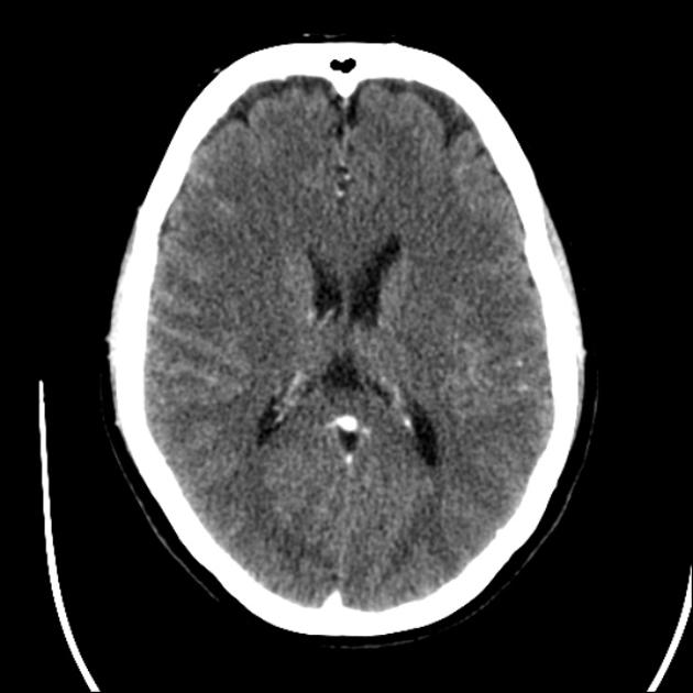
Normal CT👇