よし.U Profile picture
医化学系研究者(アカデミア) /がん・免疫分野 /N大和学園→K都大→院(修士・博士)→現職/ 医学的な情報発信とファクトチェック、あとは雑言
Mar 1, 2022 14 tweets 3 min read
「mRNAワクチンが逆転写される」という論文がこれまた一部で話題になってるけど、正直にいって「あまりにも不自然かつ不十分な実験で導かれた結論」なのでちょっと解説しておきたいと思います。
doi.org/10.3390/cimb44… 一応基礎知識を確認しておくと、

DNAからRNAが転写され、RNAが翻訳されてタンパク質が作られる

というのがセントラルドグマと言われるものであり、一方で、特定の条件ではRNAを元にDNAが作られる反応が起こり、これを逆転写と呼びます。

PCRはDNAの特定の配列を増幅する技術。 Image
Feb 12, 2022 6 tweets 2 min read
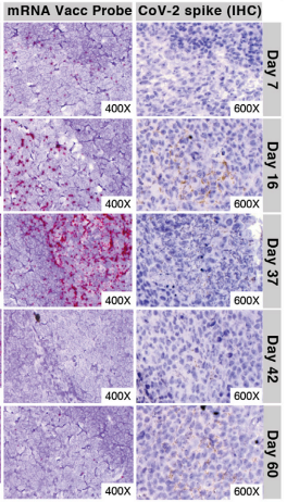
「mRNAワクチン接種から60日後にリンパ節でRNAが検出された」としてCellの論文が話題になっている

すごくセンセーショナルな内容の論文かのように思われるかもだが、現実にはそういう意味で騒いでいるのは「一部の界隈だけ」である。その理由をいくつか取り上げてみる

doi.org/10.1016/j.cell… 論文中の該当するデータは↓の画像。mRNAを赤色、スパイクタンパク質を茶色で示しており、確かに接種から60日後まで、mRNAやスパイクタンパク質が検出されたサンプルがあったことが示されている。 Image
Jul 7, 2021 12 tweets 4 min read
「SARS-CoV-2のスパイクタンパク質と、胎盤形成に重要なSyncytinというタンパク質は似ているのか?」

この検証は本当にめっちゃ簡単で、やる気があれば「誰でも」できます。

今回、一つ一つ手順をご説明しながらやってみましたので、皆様もぜひトライしてみて、デマだということを体感下さい。 まずは基本知識を確認しておきましょう。

・タンパク質は20種類のアミノ酸が繋がったもの
・「アミノ酸の並び方=配列」の違いで色々違ったタンパク質が作られている。
・基本的にはアミノ酸の配列が近い=似たタンパク質。
・アミノ酸の配列がどれだけ近いかを相同性と言う。 Image
Jun 28, 2021 5 tweets 3 min read
反ワクチン論文を巡って研究者界隈でひと騒動起こっていて、面白いので記録用にまとめておく。

MDPIという学術論文出版社がある。正直に言って研究者間の評判が良い会社ではなく、MDPIとググると、予測ワードに「ハゲタカ」と出る。これは粗悪な論文でも掲載料欲しさに掲載する出版社を指す言葉だ。 そんなMDPIが出している雑誌の1つに、Vaccines誌がある。名前の通り、ワクチンや免疫に関連した内容を扱う雑誌。そこに件の論文が掲載された。doi.org/10.3390/vaccin…

論旨は「ワクチンで減らせる死者数と同じくらい、ワクチンによる死者数が出ると試算される!接種を考え直すべき」というもの。