How to get URL link on X (Twitter) App
el sarampión no es un problema de salud pública, pero si que puede convertirse en ello si sigue el ritmo creciente (227 casos confirmados en 2024 vs 397, con 289 de transmisión autóctona y 126 hospitalizados en 2025) que coincide con descensos en las tasa de vax.
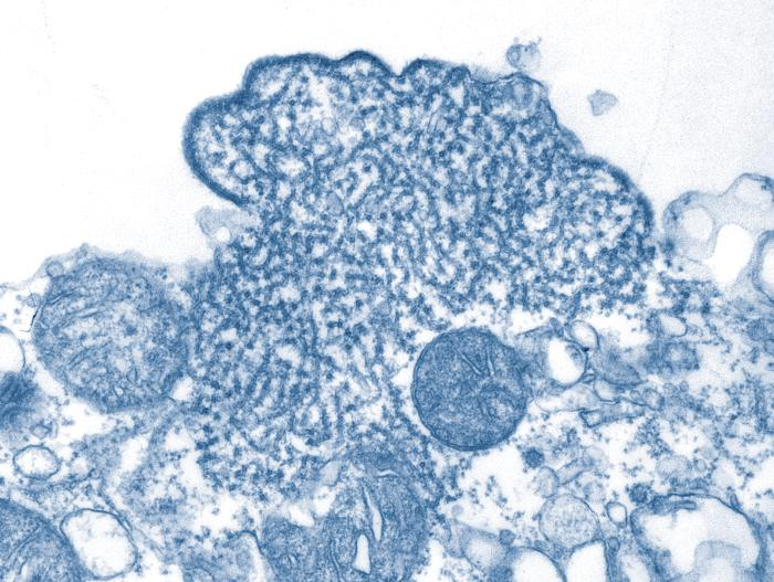
El virus detectado es un genotipo II, subgrupo 29, con una gran deleción estructural nueva.
En este hilo repaso, de forma divulgativa pero creo que rigurosa, algunos de los mitos más frecuentes sobre el sistema inmunitario (SI) según la evidencia actual. Hay muchos hyper, pero no hay milagros.


Vamos a ver con datos reales cuál es su peligro objetivo a nivel mundial en 2026, analizado: (1) que es; y (2) que peligro tiene. (Spoiler: es serio, como muchos, pero no está a punto de explotar globalmente).
En este hilo voy a intentar aclarar un poco estos términos. Para ello, vamos a agruparlos inicialmente en 3 niveles o parejas:

Para empezar, vamos a diferenciar los efecto a corto y medio/largo plazo.
Empecemos por lo básico
(i) ¿Las vax saturan el SI de un recién nacido?; y (ii) ¿El SI de un bebé es capaz de responder a las vax, a pesar de su inmadurez?

por ejemplo, la aparición de herpes labiales, tras situaciones de tensión. De hecho, el imaginario popular asume como un corolario la estrecha relación entre el sistema inmunitario (SI) y el estrés, lo que facilita la aparición de enfermedades. Sin embargo, hagámonos….
1- ANTÍGENO ≠PATÓGENO

el tema resulta algo complejo.

Lo que sucede es que no conocíamos la normalidad pre-20 y nos sorprendemos ante hechos que han existido siempre y sobreanalizamos o sobreinterpretamos esos eventos.

la relación entre la Rinf y la RI.

un brote famoso en la ciudad de Norwalk en Ohio, si bien fue originalmente descrito en Dinamarca.
de la eficacia de la RI adquirida. Digo que es un mecanismo de la RI innata, porque se sabe que ya existía antes de la aparición de los primeros organismos con capacidad para generar RI adquirida (hace unos 450 millones de años).
que se produzcan en enclaves fundamentales para el funcionamiento de nuestra estructura social. De la misma manera, una respuesta inmunitaria (RI) va a implicar inevitablemente daños en nuestros tejidos, sobre todo a través de la respuesta inflamatoria y se debe evitar...

Para explicar esto se barajan varias hipótesis sin que ninguna de ellas, al menos por sí misma, pueda explicar la situación.