How to get URL link on X (Twitter) App


Florid macrophage infiltration in between myelin lamellae and T cell recruitment lead to segmental demyelination. Due to antigenic mimicry, the Schwann cells themselves undergo differentiation into an inflammatory demyelinating subtype (iDSc) which invites macrophages and T cells and unravels the myelin lamellae for them to jump in and chew away

A diagnosis of limbic encephalitis was made. She was started on IVIG x 5 days. HbA1c was 6.4%. An autoimmune encephalitis panel and PET CT turn up negative. She comes for a second opinion. After admission her blood sugar is noted to be 500 mg 🍩🍩🍭



SWAN or GRE may be enough for the majority of MRI aficionados [as they require shorter acquisition times]


The MCA can be conveniently divided into 4 segments, each of which moves in a different direction.
This is how the normal artery progresses from a fatty streak to total occlusion
MRV shows left Transverse and sigmoid sinus thrombosis. No improvement after 2 days of IV heparin. Pt requires heavy sedation, ventilation for headache/agitation.

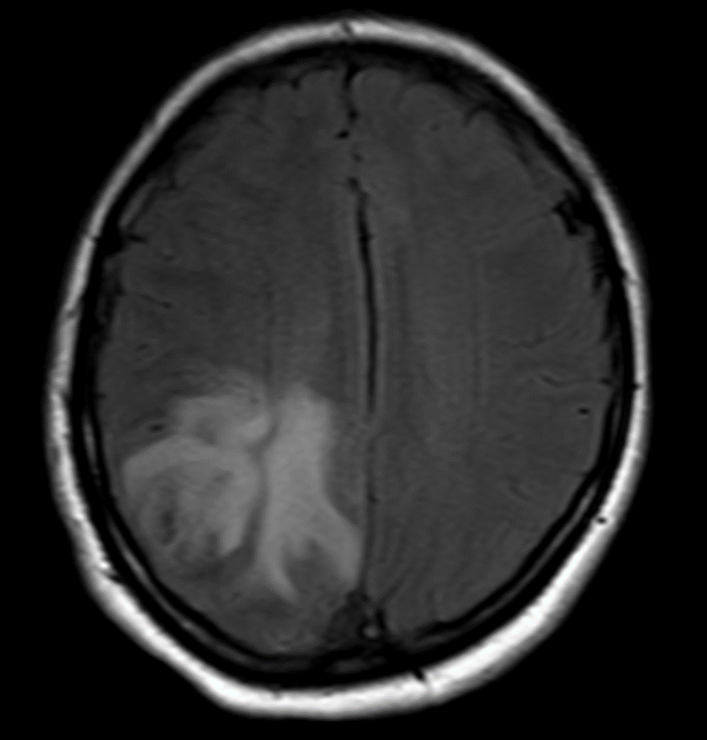
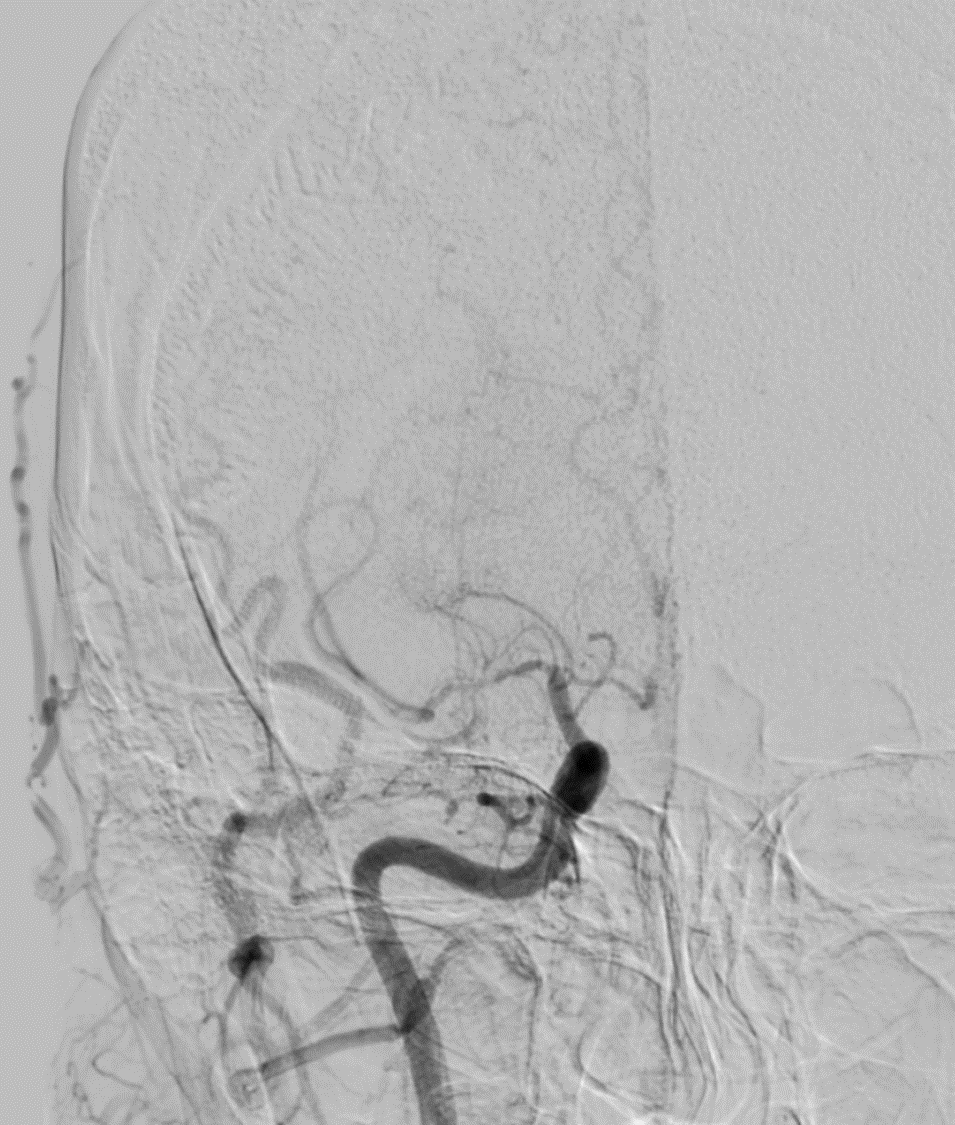
DSA also confirmed the extensive clot. In view of her recent LSCS 20 days ago, we were hesitant about giving IV lytics (urokinase infusion). Hence went in with an ACE 5 Max catheter and sucked out a mountain of clot

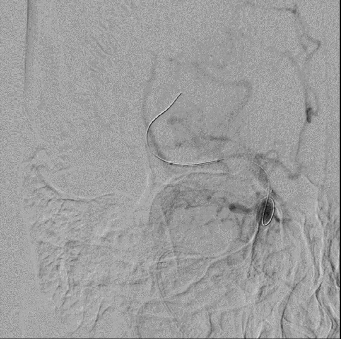
Tight stenosis opened up with a Balloon mounted stent and final result 
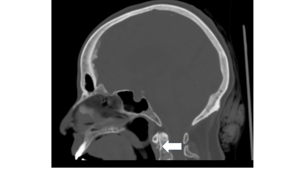
A 71-year-old man presented to us with right-sided headache after a flight. Immediately after ascent, he developed severe right eye pain and headache and lost consciousness.