Cameron Tudor Profile picture
Clinic Director @westlondonphys | Knee pain | Back Pain | Thoughts on health, pain, and injury.
Mar 21, 2025 10 tweets 3 min read
Patients are usually advised to rest for 5–7 days following a corticosteroid (cortisone) injection into joints.

But should they rest at all?

What does the evidence say - and what’s the physiological basis for this advice?

A short 🧵on steroid injections👇 1/ Why are they given? 🤔

Corticosteroid injections (CSI) are commonly used to help calm down inflamed joints🦿, irritated spinal nerves, bursae, and inflamed tendon sheaths. 💉

In the well selected patient they can make a huge difference so understanding how they work is important. 2/
Feb 7, 2025 7 tweets 2 min read
Many think osteoarthritis (OA) is a 'wear and tear' problem.

While the instigator may be traumatic (think ACL injury), framing it as wear-and-tear can cause patients to think exercise will make things worse.

So understanding why cartilage loves load is important...🧵👇 1/7Image ⚠️ Why the 'Wear and Tear' Model Falls Short

Cartilage isn’t like a car tire that degrades linearly once it starts being used.

It’s a living, dynamic tissue that adapts to mechanical stress. In fact, lack of movement can accelerate degeneration. 🤕 It needs load! 👇 2/7
Jan 31, 2025 7 tweets 2 min read
Many assume an ACL graft is fully "healed" at 6 months because they see an athlete return to sport.

In reality, the graft is still maturing and can take up to 2 years to regain full strength.

Why does it matter? A quick 🧵 on graft healing and implications for rehab. 👇1/7Image 🔬 Phase 1 (0–6 weeks): The Graft Is Dying Off

Graft (ex hamstring/patellar tendons) intact but no blood supply - it was removed and re-implanted, after all!

❌ Original tendon cells die off
♻️ The body clears dead tissue and sends new cells
🩸 New blood vessels begin to grow.

🚨Graft appears strong, but it’s functionally DEAD. 2/7
Jan 21, 2025 6 tweets 4 min read
In 1998, a retired Egyptian doctor drove me across the desert from the Red Sea to Luxor.👇

He was a great storyteller and we talked for hours, but one story has stayed with me since.

And in an era of AI, telehealth, and 'efficiency' it is more important than ever. 🧵 1/6Red Sea to Luxor There was once a doctor with a keen apprentice. The apprentice had studied for years but was now impatient. He felt ready to treat patients on his own.

So he was given a patient to see.

A man came in limping. "Doctor, my knee hurts and I can't walk to the river,’ he said." 2/6Felucca on The Nile
Jan 19, 2025 7 tweets 3 min read
Clinicians who see patients with knee pain know the challenges of helping those with patellofemoral pain.

But how do we know which structures hurt the most? And does it change management?

In 1998, Dr Scott Dye decided to scope his own knee without anesthesia to find out. 😳

🧵👇 1/7Image From his previous work with patients he had observed:

🔹 Some had fibrillated cartilage but no pain -👇
🔹 Others had pristine cartilage but pain ++

It challenged the belief that cartilage damage alone = pain in PFJ syndromes & OA.

So he asked: Which structures actually "feel" pain? 2/7Image
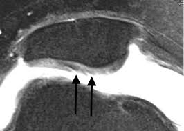
Jan 16, 2025 12 tweets 4 min read
Modic changes on lumbar MRI can be related to low back pain and can help inform the diagnosis and management of a range of conditions.

What do they mean? When might they matter? And which MRI sequences best illustrate them? A 🧵for MSK clinicians & physios. 👇 1/12 Image Why are they called Modic changes? 🧐

Named after Dr. Michael Modic, who first described these vertebral endplate & bone marrow changes on MRI in 1988.

His research classified them into 3 types, linking them to disc degeneration & low back pain. 2/12
Jul 23, 2024 11 tweets 2 min read
Is a public health service (NHS) aiming to replace its MSK physio workforce with software (AI physio)? They’ve started the trial.
 
Here’s how they’re doing it in 7 steps….🧵👇 1/

flok.health Step 1. Blur line between what is good public policy and what is good for the person. E.g. make it ‘good enough’ for LBP sufferers to receive advice and a sheet of exercises.

• Public Policy: Function is more important than pain.
• Individual desire: I don’t want pain. 2/
Dec 29, 2021 6 tweets 2 min read
Core stability remains myth that needs debunking.
Clinicians still support a flawed philosophy (I used to be one of them) that spawned an entire industry promoting the concept of a rigid spine.

Here are 5 ideas that may change your practice. 🧵👇

1/6 Image 1. Consciously ‘contracting your core’ before movement is not how we work. Subconscious postural reflexes occur in anticipation of external force or movement. We can't consciously recruit with correct timing or force. To attempt to do so can cause more problems than it solves. 2/
Nov 9, 2021 13 tweets 3 min read
Case study 11: When it looks like a 🦆, swims like a 🦆, but isn’t a 🦆.

45 yo. 6/12 Hx right lat knee pain. Onset while 🚴‍♀️. No change with physio. GP ➡️ ortho surgeon. MRI: 'inflamed' bursa b/w ITB and lat condyle. Dx: ITBFS. Steroid no help. Referred for 2nd opinion..🧵 1/13 Subjective: Pain sitting, Unable to 🚴‍♀️, Relief with🚶.

On exam:
- Full hip and knee ROM.
-ve Ober’s.
- Tender over lateral condyle.
- Good single leg squat control and endurance.

2/
Sep 10, 2021 13 tweets 3 min read
Thread. “Sensitised nervous system” and “non-specific pain” are poor descriptors of a patient’s problem for a few reasons. But mostly, because they don't align with what they feel. Patients can find it hard to understand the interplay between emotions, anxiety and pain. 1/13 They intuit we don't know the cause of their problem. It stifles discussion, reduces trust, and facilitates poor outcomes in an environment from which chronic pain can more readily arise. Clinicians can compound the problem with technical language and poor diagnostic labels 2/
Jul 31, 2021 15 tweets 3 min read
Case study 5. Short thread. 58yo gardener. 2 year Hx of increasing left knee pain. Difficult to work, unable to squat. Pain with stairs. Waking at night. Walking tolerance of 10-15 minutes. XR/MRI confirms OA, with bilateral narrowing and extensive Gd 3/4 changes. 1/ Ortho surgeon advised he had a “failing knee”. Wait listed for arthroplasty and told to try physio in the interim. Physio included; one in person consult, a sheet of exercises, advice to walk more, and 6 group exercise classes. 3/12 later, no better and resigned to a TKR. 2/