Docteur TJ Profile picture
Thibaut JACQUES (perso)👨‍⚕️ Médecin spécialiste en radiologie diagnostique et interventionnelle 🩻 Ancien hospitalo-universitaire, toujours pro-enseignement 📚
Jan 15 13 tweets 3 min read
Une des choses -inattendues- qui arrivera rapidement avec l’IA médicale grand public, c’est que les patients Français vont se rendre compte qu’ils n’ont pas toujours accès aux meilleurs traitement.
J’ai un exemple très intéressant et récent dans ma spécialité (radiologie) ⬇️ Pour ceux qui ne le savent pas, je suis radiologue avec une valence interventionnelle, notamment oncologique / rachis / douleur. À ce titre je vois beaucoup de patients en consultation avant des procédures de radiologie interventionnelle (RI), pour évaluer la faisabilité.
Apr 1, 2025 14 tweets 3 min read
Imaginons que cette loi passe. Sachant qu’elle ne gère pas le problème de fond (la pénurie), et qu’elle oublie les difficultés actuelles (baisse des financements, arrivée massive des fonds d’investissement financiers dans le domaine de la santé) voici ce qu’il se passera ensuite: J1: Grève des internes, externes et quelques médecins ➡️ rendue caduque par une campagne de dénigrement ciblée sur: les médecins, ces nantis qui ne veulent plus aider la population, d’ailleurs c’était mieux avant quand il y avait des médecins dans tous les villages et hop, CQFD
Feb 11, 2025 20 tweets 5 min read
Vu qu’on utilise l’IA en radiologie en routine depuis des années, je commence à voir un effet qui était prévisible mais qu’on a encore du mal à quantifier: le deskilling (ou perte en compétence) et ça touche en premier lieu les non radiologues. C’est quoi? Je vous explique. Je parlerai ici surtout de l’IA d’aide à la détection des fractures en radiographies, qui est un des premiers domaines où on a eu des algorithmes commercialisés et qui répond à une vraie demande notamment dans les filières d’urgence, pour aider au tri et à un diagnostic rapide. Image
Dec 19, 2024 7 tweets 3 min read
Alors, cette cheville, elle est normale ou pas ?
Regardons ce que nous répondent 4 modèles d’Intelligence Artificielle (puis le radiologue 😇) ⬇️ Image D’abord un outil de Deep Learning commercialisé et assez répandu en traumatologie: Image
May 10, 2023 18 tweets 4 min read
Récemment, on m’a demandé « pourquoi tu veux pas te faire racheter par un fond d’investissement alors que tu deviendrais millionnaire ? » (c’est pas faux)
Je vais essayer de vous expliquer pourquoi je pense que c’est quelque chose de dangereux, sur le plan médical et éthique : Le principe est le suivant: la majorité de l’activité de radiologie en France (radiographie, scanners, échographie, IRM…) se situe « en ville ». Sauf que ça veut pas dire grand chose. Globalement, ça veut dire que ce sont des médecins radiologues qui se regroupent à plusieurs
Dec 5, 2022 7 tweets 2 min read
Comment c’est possible à 48 ans de devenir tétraplégique ET d’avoir un AVC après une manipulation cervicale ? 😨
Je vous explique ⬇️ Cet article rapporte le cas d’une femme de 48 ans qui a présenté des symptômes brutaux après une manipulation cervicale. L’imagerie retrouve à la fois une fracture du rachis cervical, une compression de la moelle épinière et une dissection artérielle cervicale responsable d’AVC.
Apr 8, 2022 14 tweets 5 min read
Les candidats à l’élection présidentielle as: des parties du corps humain.
Évidemment.

A thread.
🧶 Philippe Poutou est: le bras droit

Outil le plus utilisé par les travailleurs. Toujours disponible pour essayer de renverser des trucs et taper sur tout ce qui bouge. Peu enclin à discuter, mais peut coller des baffes à tout moment.
Apr 1, 2022 24 tweets 5 min read
En 24h j'ai vu passer sur ce réseau deux tweets très relayés et commentés, sur des difficultés d'accès à un examen par IRM.
C'est une réalité. Un petit thread pour vous expliquer
1) comment on en est arrivés là ?
2) comment on fait quand on a besoin d'une IRM rapidement ?
🧶⬇️⬇️ Comment on en est arrivés là ? En fait c'est simple: vous voyez le numérus clausus, qui consistait à dire "si on forme moins de médecins, il y aura moins de dépenses" ?
Bah des gouvernements se sont dit pareil avec les scanners et les IRM: "moins il y en a, moins on dépensera" 🤡
Oct 27, 2021 32 tweets 6 min read
Ça y est, c’est fini. Je démissionne de mon poste de MCU-PH (Maître de Conférences des Universités – Praticien Hospitalier). Pourquoi cette décision après un tel parcours du combattant pour en arriver là ? Chroniques d’une fin annoncée de notre système hospitalo-universitaire ⬇️ Pourquoi cette décision, alors que j’ai tout juste 33 ans, investi là-dedans depuis ma 2e année de médecine, une voie tracée vers un poste de PU-PH, un parcours souvent jugé "sans faute" (certains me connaissent IRL) et une grosse motivation ? Les maux du système sont profonds.
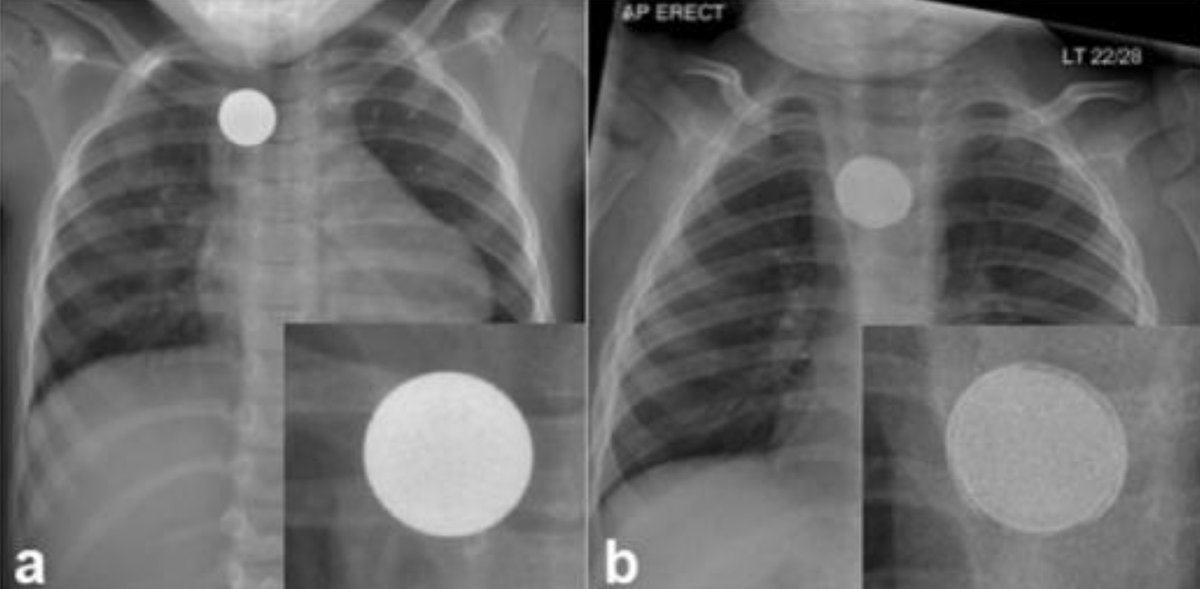
Jun 7, 2021 8 tweets 3 min read
Votre réflexe en voyant ça?
Une simple pièce de monnaie?
Ou bien une pile bouton qui peut brûler les parois de l'oesophage puis de l'aorte et entrainer des vomissements de sang et un décès brutal?
Les piles boutons, ce danger insoupçonné pour les enfants, partout chez vous: Comment ça arrive ? Les piles boutons sont partout: dans les télécommandes, les jouets pour enfant, les livres musicaux.. Généralement sécurisées par des trappes ou des vis, mais un instant d'inattention et un enfant peut tout à fait l'avaler même sous la surveillance des parents
May 28, 2021 32 tweets 9 min read
[THREAD] Bon alors c’est quoi cette histoire d’intelligence artificielle en médecine (et en radiologie) ?
Je vous l’avais promis pour le cap des 4000 followers (merci à tous de me faire cet honneur )!
Tenez, je vous offre un café ☕️ et maintenant vous pouvez dérouler ⬇️⬇️ Bon on va commencer par les disclaimers pour éviter des tacles appuyés prévisibles :
Je ne suis rémunéré par aucune société d’intelligence artificielle. Je travaille avec certaines d’entre elles dans le cadre de projets de recherche académiques. (2/32)
May 18, 2021 5 tweets 2 min read
Petit rappel: votre cou est fragile. Attention donc aux manipulations cervicales non indiquées. Comme cette patiente de 32 ans, sans antécédents, qui a reçu une manipulation cervicale pour des douleurs banales, dont l'issue a été une dissection artérielle, un AVC puis son décès. Image Comment c'est possible ?
La colonne vertébrale cervicale est entourée par les artères carotides et vertébrales qui vont aller irriguer le cerveau. Lors de phénomènes de cisaillement brutaux (comme des rotations un peu brutales), leurs parois peuvent se "déchirer" (dissection).
Feb 23, 2021 18 tweets 6 min read
Cette histoire d’usurpation d’identité dans le Twitter médical est incroyable. Depuis plusieurs mois je voulais faire un thread sur une histoire assez semblable, mais je n’ai pas eu le temps. Du coup ça m’a motivé ! Accrochez-vous c’est tout aussi édifiant (1/18) ⬇️ Laissez-moi vous raconter la folle histoire de Jay (le prénom est modifié), qui a lui aussi tenté un bluff incroyable en médecine. Tout commence en Juin 2007, dans une faculté de médecine parisienne. (2/18)
Feb 2, 2021 10 tweets 3 min read
Bon arrêtez tout: en fait avec cette pandémie nous vivons actuellement dans Dragon Ball, plus précisément dans l'arc Cyborgs/Cell, vous ne pouvez pas ne pas voir les ressemblances:
⬇️ Tout a commencé dans une ville un peu inconnue d'Asie avec l'arrivée de C-19 (oui oui, même le nom...), qui a surgi de nulle part
Feb 1, 2021 4 tweets 1 min read
Challenge - images apparemment good vibes mais en fait très bad vibes.
A votre tour !
Jan 31, 2021 8 tweets 3 min read
Il manque un truc dans ce crâne mais alors quoi... ? 🤔🤔🙂 Image Spoiler: voici la patiente 😄 Image