Mario Vargas Galgani Profile picture
Medico cardiologo, mater ETE y cardio RM. ecolover, mi blog (https://t.co/d3ZaEESVAr) y la fotografia , mi blog foto https://t.co/beAGCntYbY
Jul 10, 2021 18 tweets 24 min read
This is a thread about adult CHD, a 42 yo lady refered echo because she feels progressive dyspnea (FC II), without PND and palpitations, she refers a child murmur without more data, At physical exam: P2 increased, LV impulse increased, normal yug, no visceromegaly grade II ... ...parasternal systolic murmur, check the EKG: synus rythm, lef axis desv, frequent PVCs with negative polarity in V1, not nrmal R wave progression, neative T waves I and aVl
Jun 27, 2021 10 tweets 21 min read
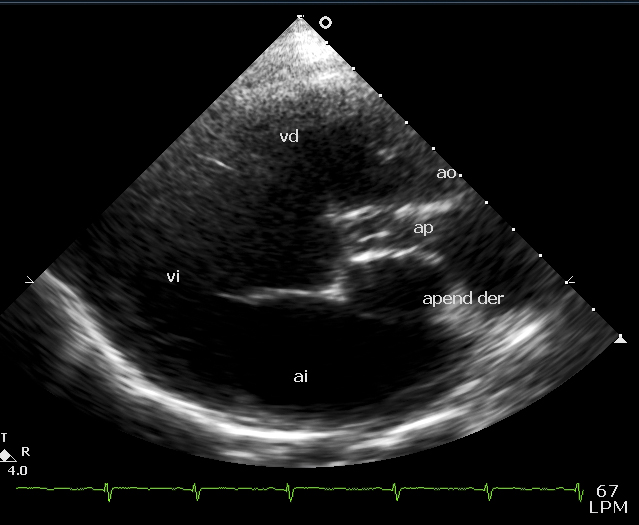
Found this beautie from my archives, for all who love congenital heart disease (@cardiopedhnn ) in adult, we must be ready to treat this patients
Ladie 16 yo with TGV, VSD and severe pulmonary stenosis, a vascular structure was find in palax between the posterior PA and LA In long axis with movement
Jun 2, 2020 20 tweets 16 min read
A tweetorial about apical sparing and some perosnal thoughs
Apical sparing is refered as the preservation in apical función in the polar map of longitudinal. strain typically seen in cardiac amyloidosis But happens in other heart diseases, look this dilated CMP , apex maintain better contraction than base or mid ventricle
Sep 9, 2018 13 tweets 9 min read