Thread Reader
Share this page!
×
Post
Share
Email
Enter URL or ID to Unroll
×
Unroll Thread
You can paste full URL like: https://x.com/threadreaderapp/status/1644127596119195649
or just the ID like: 1644127596119195649
How to get URL link on X (Twitter) App
On the Twitter thread, click on
or
icon on the bottom
Click again on
or
Share Via icon
Click on
Copy Link to Tweet
Paste it above and click "Unroll Thread"!
More info at
Twitter Help
Professor M Z Khalil
@mzkhalil
Professor of Medicine / Cardiology ⛔ Learning is a talent Teaching is a gift
Subscribe
Save as PDF
Jun 7, 2019
•
5 tweets
•
3 min read
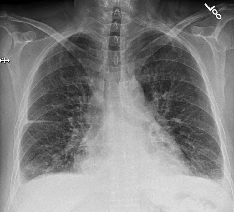
A 68 y o male with type-2 DM, CAD, CCF (EF~35%), PAD, and history of gouty arthritis presented with dyspnea and LL edema.
Which of the following drugs is appropriate therapy for his edema?
A) Furosemide
B) Indapamide
C) Empagliflozin
D) Bumetanide
E) Metolazone
#cardiotwitter
Correct answer is (C)
Hyperuricemia is a common adverse effect of loop or thiazide diuretics and may precipitate acute gouty arthritis.
Treating type-2 DM with an SGLT2 inhibitor promotes osmotic diuresis, natriuresis, and reduces uric acid by increasing its excretion.