How to get URL link on X (Twitter) App
Journaling about your goals and getting an instant dopamine hit.
Working 50+ hours damages more than productivity.
From 161 to 180 AD, Marcus Aurelius led the Roman Empire at its peak.
Meet Epictetus—born a slave in 55 AD.
Malcolm Gladwell's book "Outliers," suggests you need 10,000 hours of practice to master a skill.

Habit #1: The Growth Mindset Shift
When I heard about Barcelona's aging revolution, I was skeptical.
Born in Assos around 330 BCE, Cleanthes arrived in Athens with just 4 drachmas.
The layoffs target 5% of Meta's workforce, specifically "low performers."
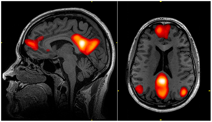
The modern world wages a constant battle for your attention.
2012: A small gaming studio called Tiny Speck was struggling.
Born into Rome's elite, Marcus faced an unusual challenge:
Your brain responds to constant dopamine triggers in our modern world.
Einstein's genius wasn't just about his theories.
Most productivity advice follows the same tired formula.
Born in Cordoba, Spain, Seneca wasn't just a philosopher.
Most people think of the liver as just a filter.
Dr. Chatterjee is a GP who's spent decades helping patients reverse chronic illnesses.
The average American morning routine:
We've all been there:
Tesla wasn't just any inventor.