How to get URL link on X (Twitter) App
Para demonstrar didaticamente o problema, vamos usar uma analogia:
Em 1° lugar essa confusão existe porque temos diversas definições. Aqui vamos usar a do livro "screening" da Angela Raffle:
Antes, o disclaimer:
E sabe o que aconteceu com esses pacientes que não tiveram aumento na expectativa de vida?
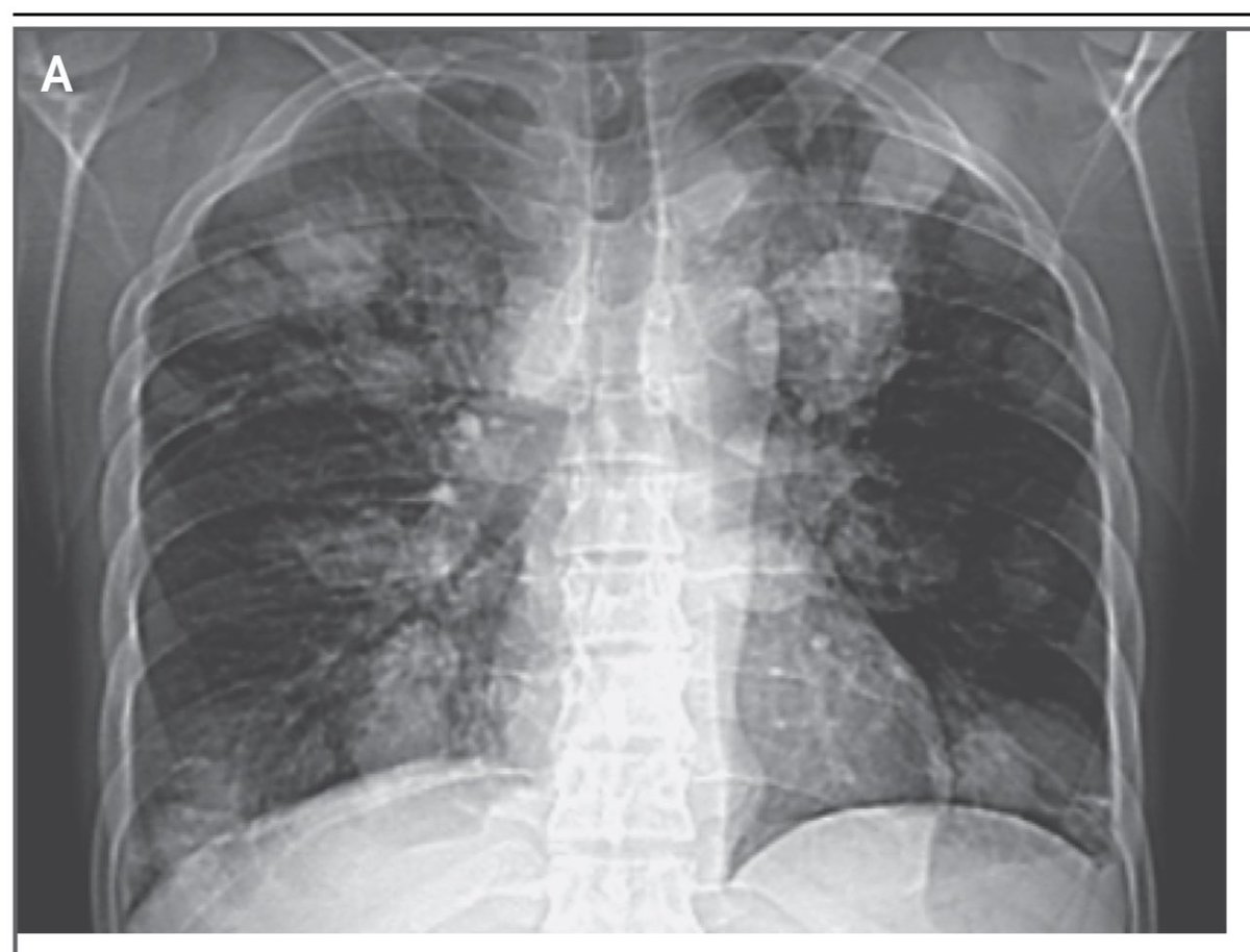
Na coorte acima, obtivemos alguns dados:
A vit. D é adquirida majoritariamente através da pele e em alguns (poucos) alimentos.
1. Verifique as credenciais
No fio anterior vimos todo o substrato teórico pra estimativa de prob. de osteopose. Agora vamos as condutas:
Em 1° lugar, precisamos entender a relevância desse diagnóstico:
1. História natural da doença

Em 1° lugar, temos que entender que modelos preditores, como o escore de Wells tem um único objetivo:
A Sociedade Brasileira de Urologia recomenda rastrear câncer de próstata a partir dos 50 anos (ou 45 com fatores de risco) com PSA e toque retal.https://twitter.com/vitorborin_/status/1671962727034527754