Gaesss .

Di sekitar kita banyak kan ya beredar berbagai macam mitos terkait kesehatan tulang dan sendi .dipercaya dari mulut ke mulut turun temurun entah bener entah enggak .
Ayo kita liat satu2, bener apa rngga seeehh??

#mythbuster !!

- A THREAD - Image
SENDI KESELEO OBATNYA DIURUT!

...

...

MITOS !
lebih parah lagi
MITOS yang menyesatkan dan bikin tambah parah 😭 Image
Yang bener kalo sendi CEDERA tu ini pengobatannya! Image
SENDI ADA BUNYI KRETEK2 ITU BIKIN PENYAKIT/BAHAYA

..

..

..

..

MITOS jugaa .. Image
KALO SENDI SAKIT ATAU LEHER KENCENG ITU BERARTI ASAM URAT ATAU KOLESTEROL TINGGI .

..

..

...

MITOS BANGET

Asam urat emg bikin sakit sendi,tapi jumlahnya jauh lebih sedikit dibanding penyakit sendi yg lain
Jd kasi tau bapak ibu kakek nenek ga smua sendi sakit tu asam urat Image
NI BUAT YANG SERING MASTURBASI..

Uda pada kopong belom dengkulmu???

...

...

MITOS Image
BAWA TAS BERAT BIKIN PUNGGUNG BENGKOK

..

..

..

..

MITOS Image
PATAH TULANG BAWA AJA KE ALTERNATIF GA USA KE DOKTER ..

..

..

..

Uda sering dibahas si sama gw .. Image
Ni dampaknya cuy Image
Meluncuuurrr gaesss follow IG

instagram.com/asaibrahim_

Cek story, live, dan post edukasi tulang laennya 🔥 ImageImageImageImage

• • •

Missing some Tweet in this thread? You can try to force a refresh
 

Keep Current with asa ibrahim

asa ibrahim Profile picture

Stay in touch and get notified when new unrolls are available from this author!

Read all threads

This Thread may be Removed Anytime!

PDF

Twitter may remove this content at anytime! Save it as PDF for later use!

Try unrolling a thread yourself!

how to unroll video
  1. Follow @ThreadReaderApp to mention us!

  2. From a Twitter thread mention us with a keyword "unroll"
@threadreaderapp unroll

Practice here first or read more on our help page!

More from @asaibrahim

29 Mar
Dr a : pak, ini lutut bpk pengapuran/OA ny sdh parah pak,harus turunkan BB.byk bgt lebihny

P : Duh,saya skrg lagi senang2ny makan enak dok, dulu belum byk uang blm bisa beli.skrg ud 😭

Pesan moral :
Nikmatilah makan enak sebelum dilarang dokter karena berbagai macam penyakit 😇
Pesan moral lain,
Jaga kesehatan semaksimal mungkin biar bisa makan enak sampe tua 😆😆

Buat yg lupa penyakit pengapuran atau OA, bisa cek di sini yaa

Jaga kesehatan apa si?
- olahraga teratur tingkatkan bertahap sesuai kemampuan(jgn lgsg berat/sampe cedera)
- TIDAK MEROKOK
- jaga berat badan ideal
- evaluasi gula darah dan kolesterol secara berkala
- periksa ke dokter kalo ada masalah /keluhan .
- dsb dsb dsb
Read 4 tweets
10 Mar
Ada2 lagi ni kelakuan tukang urut pengobatan alternatip patah tulang.
Kasian bgt adeknya, masi umur 9 tahun,bs cacat seumur hidup gara2 penanganan yg sesat!

Pdhl ni patah tulang yg sederhana,tnpa operasi pun bisa,malah dibebat kenceng bgt sama ORANG PINTER sampe hampir membusuk
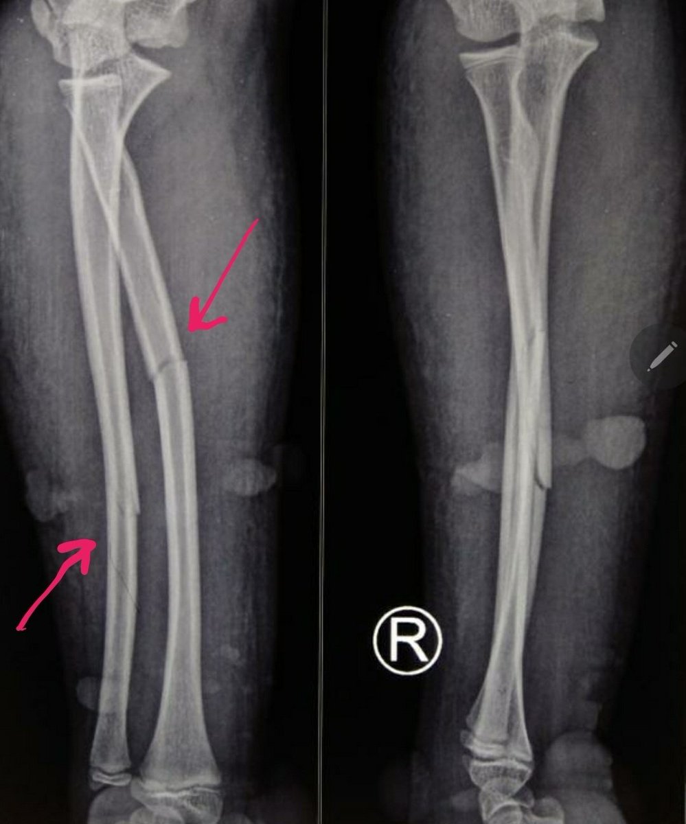
Jadi ada adek laki2 umur 9 tahun,jatuh saat bermain, trus mengalami patah tulang lengan bawah ..
Kedua tulangnya patah, tapi posisi tulangnya cukup baik, dan tidak banyak bergeser ..
Temen2 bisa liat ya patahannya ga byk geser, bengkok minimal bgt ..
Adeknya kondisinya baik
Sedihnya sama orgtuanya (😡) si adek yg polos tdk tahu apa2(dan cuma nurut aja) ini dibawa ke pengobatan alternatif patah tulang

Kemudian dipasang kayu dan tangannya dibebat kencang bgt

dampak bebat kencang gak pake otak itu apa?aliran darahnya ga jalan!

(Gambar cm ilustrasi)
Read 19 tweets
10 Mar
Dont argue with ignorant person, i have tried it and never won -
Imam Ghazali

Ga usa berdebat sama orang2 "ignorant" ,yang uda ga bisa menerima argumen dan yg fanatik buta tanpa akal sehat
Waktu,effort,ilmu mu insyaAllah akan lebih bermanfaat utk org yg memang mau menerima ilmu
Setiap berdebat dengan orang baik di dunia nyata/social media juga ingat kata2 dari imam syafii ini :

Bahkan imam syafii tidak pernah menang berdepat dengan orang yang "ignorant" .
Orang yang memang tdk mencari kebenaran dan tidak berusaha berpikir dengan akal sehat ..
Prakteknya :

Ga usa baper kalo di socmed byk yg berpendapat ngawur atau njelek2in kamu,apalagi sampe maki2,dsb ..
Ga usa dilayanin dia ngomong apa, ga usa ditanggepin ,

Klik BLOCK .

Selesai ..
Read 4 tweets
12 Feb
Semua org pasti ga ad yg pgn ngalami kecelakaan lalu lintas(KLL) kan ya.
tapi yg namanya hidup kan ga ada yg tau,uda ati2 bgt aja masi bisa bgt tiba2 ditabrak kendaraan lain.

saya mau share dikit tentang :
Panduan lengkap saat mengalami kecelakaan lalu lintas.

- A THREAD -
jadii, intinya di thread ini saya mau bahas beberapa hal terkait "APA YANG HARUS DILAKUKAN SAAT MENGALAMI KECELAKAAN LALU LINTAS"
meliputi :
- penanganan medis yg baik(apa harus berobat?ke RS?penanganan awal?)
- pembiayaan biaya berobat(jasa raharja?BPJS?asuransi lain?)
- dll
kenapa hal ini penting untuk diketahui?karena ga sedikit masyarakat yg bingung saat mengalami kecelakaan lalu lintas, byk yg bingung dan bertanya2?

Oh ya, utk pembahasan saya ini lebih dari sisi medisnya ya, bukan dari sisi hukum,klo dari segi hukum bisa cek disini -->
Read 33 tweets
12 Feb
Buat yg belum tau

BPJS ketenagakerjaan sama BPJS kesehatan itu perusahaan yang berbeda .
Manajemennya beda, penggunanya juga berbeda ..
BPJS TK itu transformasi dari PT jamsostek

BPJS Kesehatan itu transformasi dari PT Askes

Bedanya yang lain,

BPJS TK itu DUITNYA BANYAK BANGET ! dana investasinya sampe 472.9 T

sementara BPJS K selalu defisit,gada duit,sampe akhirnya rilis terakir kmrn surplus utk pertama kali
Hebat dong BPJS kesehatan akhirnya bisa ga defisit?

Tidak semudah itu ferguso ..

Dibalik tidak defisitnya BPJS kesehatan itu banyak bgt dispute dari klaim RS yang akhirnya tidak terbayar..dan segala macam usaha BPJS K utk efisiensi pemeriksaan pasien dari hulu hingga hilir ..
Read 4 tweets
9 Feb
Engga semua penyakit itu bisa sembuh ..

Dan kadang, dibanding terus kebingungan dan struggle untuk mencari bagaimana cara menyembuhkannya, akan lebih baik dan mudah untuk menerima dan belajar hidup bersama penyakit itu ..
Ga usa jauh2 ya, misalnya saya, saya punya beberapa kondisi yg uda ga bisa sembuh:
1. Right ankle instability
2. Bilateral chronic achilles tendinitis,nyeri tumit kambuhan
3. Right rotator cuff injury
4. TMJ sublux, rahang goyang dan bunyi2
Dsb ..
Saya tau kondisi saya tersebut akan kambuh2an, saya belajar dan mengenal, kapan dia kambuh, gimana cara biar ga kambuh, gimana caranya supaya enak,dsb ..

Saya berusaha untuk mengenal dan mengendalikan kondisi saya tersebut supaya tdk mengganggu aktivitas saya sehari2
Read 7 tweets

Did Thread Reader help you today?

Support us! We are indie developers!


This site is made by just two indie developers on a laptop doing marketing, support and development! Read more about the story.

Become a Premium Member ($3/month or $30/year) and get exclusive features!

Become Premium

Too expensive? Make a small donation by buying us coffee ($5) or help with server cost ($10)

Donate via Paypal Become our Patreon

Thank you for your support!

Follow Us on Twitter!