Katie Profile picture
May 19, 2021 10 tweets 4 min read Read on X
The real reason they discourage MRIs during pregnancy is because then people would realise they’re incubating nightmare demons and would be rightfully terrified ImageImageImageImage
I like how this one has its hand up like HELLO MOTHER DEAR I AM COMING FOR YOU Image
LET ME OUT

I THIRST FOR THE TUMULT Image
TOO LONG HAVE I BEEN THWARTED BY THIS ENDOMETRIAL PRISON Image
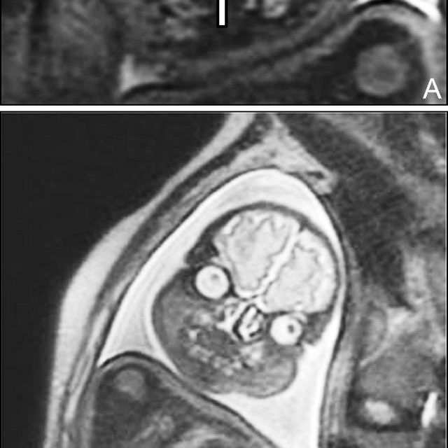
The four horsemen of the apocalypse ImageImageImageImage
Adult face MRIs, before anyone “well actually”s me, are still kinda grim but approximately 200% less cursed than foetal ones
THIS ONE IS NEONATAL

IT HAS ESCAPED CONTAINMENT

RUN WHILE YOU STILL CAN Image
That thing that looks like a fancy moustache? That’s unerupted teeth, baby
I’ve muted this because my brain cannot handle this much noise, but I’m currently putting out feelers about new job opportunities, so fuck it: if you have a role for someone smart, funny, enthusiastic, and capable of unveiling the worst curses on the internet, slide into my DMs
Also fuck it, here’s my ko-fi, I demand payment for being cute & great: ko-fi.com/zizifothsi

• • •

Missing some Tweet in this thread? You can try to force a refresh
 

Keep Current with Katie

Katie Profile picture

Stay in touch and get notified when new unrolls are available from this author!

Read all threads

This Thread may be Removed Anytime!

PDF

Twitter may remove this content at anytime! Save it as PDF for later use!

Try unrolling a thread yourself!

how to unroll video
  1. Follow @ThreadReaderApp to mention us!

  2. From a Twitter thread mention us with a keyword "unroll"
@threadreaderapp unroll

Practice here first or read more on our help page!

More from @ZiziFothSi

Sep 22, 2022
I've had enough of human superheroes also being mega-geniuses who are coincidentally trained in every known martial art. I want to see a superhero who's dumb as a box of rocks & has developed absolutely zero useful skills
It's called representation
Thor doesn't count because he's an alien
Read 7 tweets
May 28, 2022
Daily reminder that, objectively speaking, everyone you've ever known or loved is a freaky lil ape made of sentient meat
If you ever find someone else intimidating just remind yourself that they too are a freaky meat-ape who used to shit themselves constantly
We are all disgusting and that's beautiful
Read 4 tweets
May 1, 2022
I'm trying not to post about my new job much, on account of how I actually like it, but yesterday I did receive the phone call "why is my cat meowing"
Like. Buddy
If you want a peek into my work though, the first questions are "has the cat always been this noisy or is this new/unusual behaviour", "is the cat neutered", "have there been any changes in the environment lately" and "how are the cat's eating, drinking and toileting habits"
Read 4 tweets
Aug 3, 2021
I think it’s very important for the people to know that both Mads Mikkelsen and his wife Hanne, are hot,
It’s always nice to have something in common with your partner
They’re both dancers
Read 4 tweets
Aug 3, 2021
Oh my god so

I highly recommend checking out the Yellow Card Scheme reports that show what side-effects people have self-reported from different covid vaccs:
Menarche is the technical word for the very first time someone menstruates in their life.

So I’m not entirely sure how two people reported that the vaccine delayed its onset and one reported that it brought it on too early

Do they know the future Image
Huge if true Image
Read 32 tweets
Aug 2, 2021
Walking home from a catsit where I couldn’t find the bin, so I’m jauntily dangling a poo-bag filled with dessicated cat turd as a little accessory, and thinking how hilarious it could be if someone decided to mug me at this very moment
Surprise, bitch! Cat turds in your eyes! Enjoy that toxoplasmosis, sucker!
I do not lie on Twitter dot com Image
Read 4 tweets

Did Thread Reader help you today?

Support us! We are indie developers!


This site is made by just two indie developers on a laptop doing marketing, support and development! Read more about the story.

Become a Premium Member ($3/month or $30/year) and get exclusive features!

Become Premium

Don't want to be a Premium member but still want to support us?

Make a small donation by buying us coffee ($5) or help with server cost ($10)

Donate via Paypal

Or Donate anonymously using crypto!

Ethereum

0xfe58350B80634f60Fa6Dc149a72b4DFbc17D341E copy

Bitcoin

3ATGMxNzCUFzxpMCHL5sWSt4DVtS8UqXpi copy

Thank you for your support!

Follow Us!

:(