drshukla14 Profile picture
Mar 14 7 tweets 4 min read
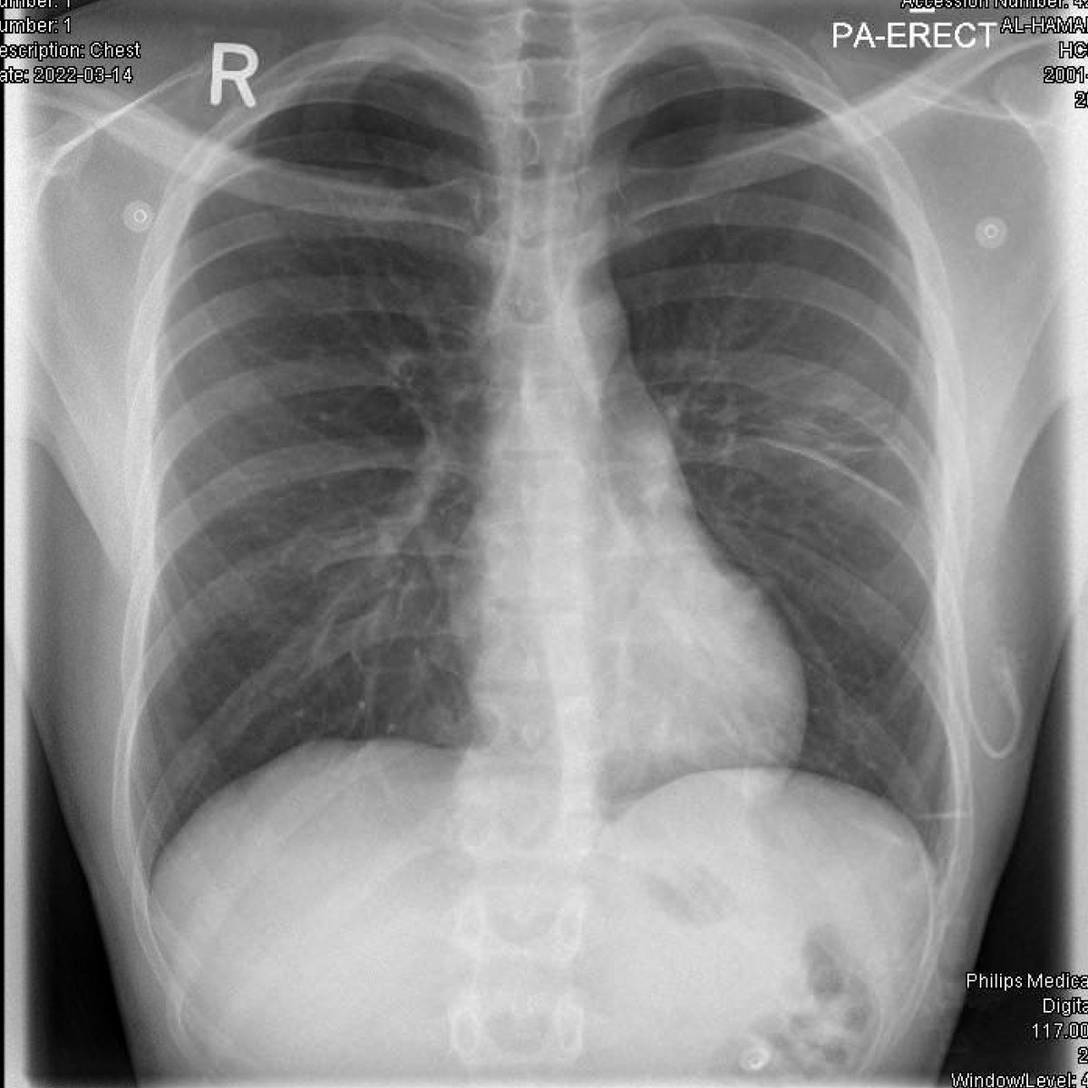
1/n #POCUS case - Pneumothorax. M/20, abrupt left pleuritic chest pain. Absent breath sound left side, hyper-resonant percussion. Absent Pleural sliding on #POCUS . No lung point found, consistent with clinical impression of large pneumothorax.
2/n Normal pleural sliding on #POCUS right anterior thorax
3/n therefore CXR was not a surprise -
4/n Pneumothorax aspirated with 7 Fr CVC catheter, until resistance to aspiration was felt. #POCUS shows return of pleural sliding and #lungpoint
5/n Appearance of lung point on M-mode - Alternating sea-shore and barcode signs
6/6 Observed for 4 hours, repeat #POCUS showed similar findings, CXR repeated, acceptable lung expansion, patient discharged home. ED LOS 5 h.
@threadreaderapp unroll please

• • •

Missing some Tweet in this thread? You can try to force a refresh
 

Keep Current with drshukla14

drshukla14 Profile picture

Stay in touch and get notified when new unrolls are available from this author!

Read all threads

This Thread may be Removed Anytime!

PDF

Twitter may remove this content at anytime! Save it as PDF for later use!

Try unrolling a thread yourself!

how to unroll video
  1. Follow @ThreadReaderApp to mention us!

  2. From a Twitter thread mention us with a keyword "unroll"
@threadreaderapp unroll

Practice here first or read more on our help page!

More from @DrShukla14

Mar 13
Thread 1/n #POCUS as a mystery solving tool. M/50, SYNCOPE. Seemed benign orthostatic, and I was upset a Head CT was done. Was expecting it normal, but surprise - reported as left parietal WATERSHED territory infarct. MRI later shows infarct better -
2/n Re-examined carefully, and indeed patient had a homonymous right inferior quadrant-anopia. But WHY does he have watershed infarct unilaterally, from what is a global hypo-perfusion event? Left carotid looks ok...
3/n left carotid doppler -
Read 6 tweets
Mar 10
Thread 1/n #POCUS case - (?) COVID - cured by metoprolol. Acute dyspnea with cough, referral as ? COVID-19 with CXR. Sinus rhythm 120/min, RR 40/min, Sats 68% RA, 93% with O2 15 lpm by NRBM.
2/n #POCUS all lung zones show B-lines as expected, but minimal left pleural effusion which is NOT common with COVID-19.
3/n Scanning the heart -
Read 6 tweets
Feb 20
Thread: 1/3 Clinically anterior glenohumeral dislocation, confirmed by #POCUS within 5 min of arrival
2/3 Pain 10/10 to 0/10 within 5 min of interscalene block
3/3 X-ray was required for followup purposes. Patient walked to x-ray comfortably, and reduced in x-ray suite painlessly and effortlessly. ED LoS 40 min.
Read 4 tweets
Nov 25, 2021
Thread, 1/n - Male 75. Acute dyspnea since 1 hour, can't talk, wheezy. SPO2 75%. No previous record. "All that wheezes is not asthma". #POCUS leaves no doubt about pulmonary edema, Dx while patient is being attached to monitor.BP 180/110 mmHg.
2/n CPAP 10 mmHg, IV infusion of nitrate being prepared. Pectus excavatum, parasternal long axis impossible from usual 3/4 ICS. But Apical 4 chamber suggests mild LV systolic dysfunction
3/n As I was about to bolus nitrate 500 mcg - BP drops from 180/110 to 120/70 mmHg. Patient improving with CPAP. So I hold the bolus and try to get more cardiac views. Patient upright plus pectus excavatum, thus not the best quality, but aortic valve appears calcific.
Read 6 tweets
Dec 11, 2020
1/n #POCUS is more sensitive than CXR for subtle consolidation detection. M/40, fever, right sided chest pain. Had cough 3 d ago, now resolved.WCC 13k, CRP 230. Normal physical exam.
2/n #POCUS showed bilateral small basal consolidations, B-lines at right base with sub pleural consolidations. Right posterior basal region sub pleural consolidation -
3/n B-lines right base
Read 6 tweets
Nov 8, 2020
1/n #POCUS findings of effusive constrictive pericarditis. Patient presented with 2 months progressive pedal edema and ascites. Pericardial effusion, funny bounce of IVS
2/n A4C septal bounce
3/n Plethoric IVC
Read 9 tweets

Did Thread Reader help you today?

Support us! We are indie developers!


This site is made by just two indie developers on a laptop doing marketing, support and development! Read more about the story.

Become a Premium Member ($3/month or $30/year) and get exclusive features!

Become Premium

Don't want to be a Premium member but still want to support us?

Make a small donation by buying us coffee ($5) or help with server cost ($10)

Donate via Paypal

Or Donate anonymously using crypto!

Ethereum

0xfe58350B80634f60Fa6Dc149a72b4DFbc17D341E copy

Bitcoin

3ATGMxNzCUFzxpMCHL5sWSt4DVtS8UqXpi copy

Thank you for your support!

Follow Us on Twitter!

:(