Satyendra Dhar, MD SFHM Profile picture
Mar 27, 2022 7 tweets 9 min read Read on X
Angioedema:

Edema of the deep dermis & subcutaneous tissues.

Etiology, types and treatments👇👇👇👇⬇️⬇️⬇️⬇️👇👇👇👇

/1


#MedTwitter #MedEd #USMLE #FOAMed #hospitalist #mbbs #medicine #doctor
👇⬇️⬇️⬇️⬇️👇👇👇👇
Mast cell–derived mediators tend to affect layers superficial to subcutaneous tissue, including the dermal-epidermal junction. These mediators cause urticaria & pruritus.

In bradykinin-mediated angioedema, the dermis is usually spared, so urticaria & pruritus are absent.
 
/2
Angioedema:

Acute vs Chronic

👇👇👇⬇️⬇️⬇️⬇️👇👇👇👇

/4


#MedTwitter #MedEd #USMLE #FOAMed #hospitalist #mbbs #medicine #doctor
Angioedema treatments:

Eliminating or avoiding the offending agent is the key. Look for severity and secure airways.

👇👇👇👇⬇️⬇️⬇️⬇️👇👇👇👇

/5


#MedTwitter #MedEd #USMLE #FOAMed #hospitalist #mbbs #medicine #doctor
Angioedema:

References⬇️⬇️⬇️⬇️
Happy reading….

@threadreaderapp please “unroll”.

• • •

Missing some Tweet in this thread? You can try to force a refresh
 

Keep Current with Satyendra Dhar, MD SFHM

Satyendra Dhar, MD SFHM Profile picture

Stay in touch and get notified when new unrolls are available from this author!

Read all threads

This Thread may be Removed Anytime!

PDF

Twitter may remove this content at anytime! Save it as PDF for later use!

Try unrolling a thread yourself!

how to unroll video
  1. Follow @ThreadReaderApp to mention us!

  2. From a Twitter thread mention us with a keyword "unroll"
@threadreaderapp unroll

Practice here first or read more on our help page!

More from @DharSaty

Oct 28, 2024
BOWEL OBSTRUCTION:

👉A bowel obstruction can either be a mechanical or functional obstruction of the intestines.
👉Obstruction frequently causes abdominal pain, nausea, vomiting, constipation, obstipation, and distention.
👉LBOs are less common and compromise only 10% to 15% of all intestinal obstructions.
👉Most common cause of all LBOs is adenocarcinoma, followed by diverticulitis and volvulus.
👉Colonic obstruction is most commonly seen in the sigmoid colon.

1/nImage
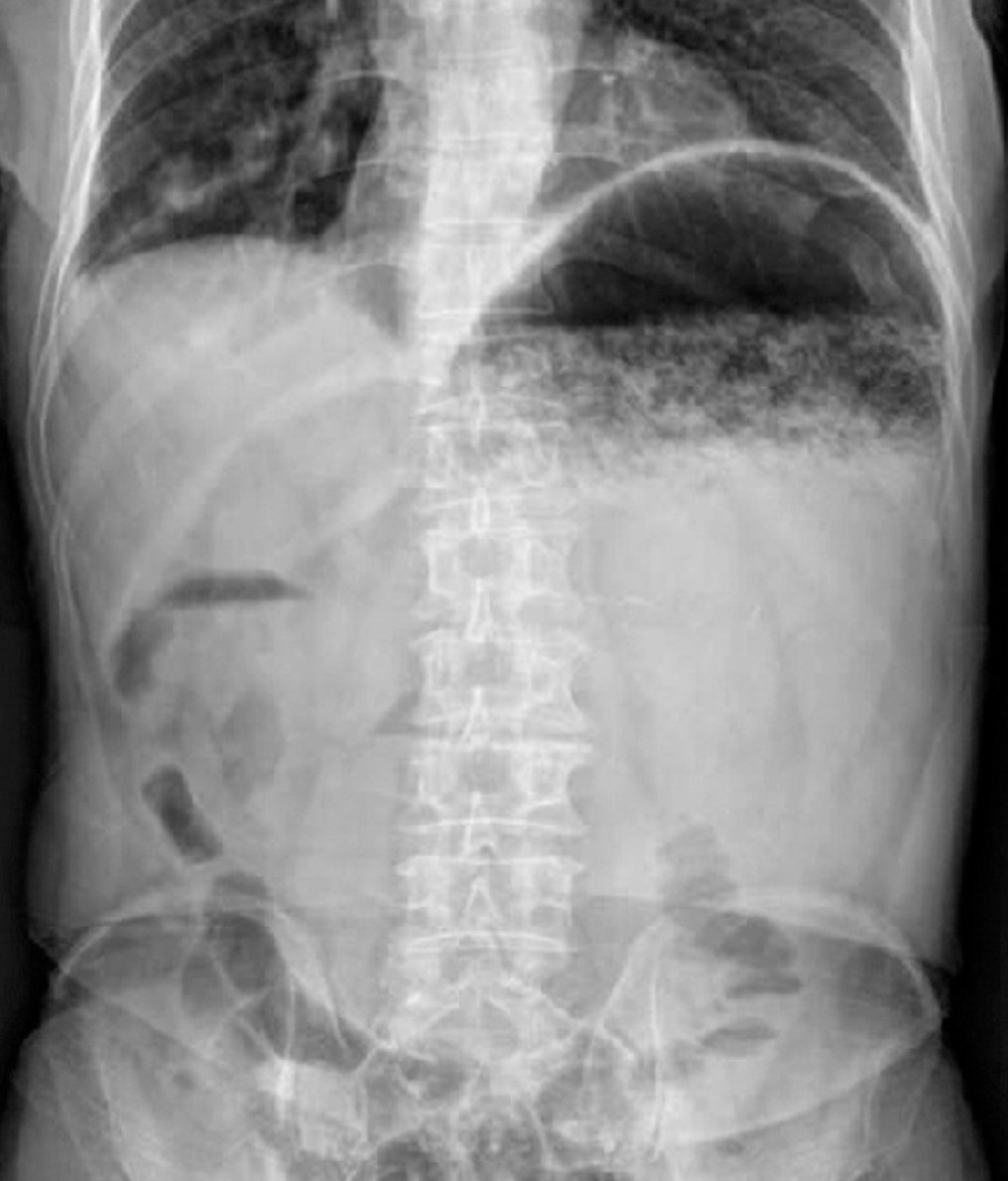
Gastric outlet obstruction (GOO).

Anatomically, mechanical obstruction can be at distal stomach, pyloric channel, or duodenum and can be intrinsic or extrinsic to the stomach.

👉Benign: Early satiety (53%) and bloating (50%).
Example: Peptic ulcer disease (resulting in a stricture of stomach/duodenum),
👉Malignant: Pain, vomiting, weight loss, and malnutrition.
Distal gastric cancer, common, 35 %.
👉20% of patients with pancreatic cancer develop GOO.

Labs:
Electrolyte abnormalities, and dehydration, including hypochloremic metabolic alkalosis & hypokalemia.

Credit:
National Center for Biotechnology Information
Radiopaedia
RSNA.org/Journals.

2/nImage
Image
Gastric outlet obstruction (Contd:-)

👉Diagnosis:
Plain radiography
CT or Magnetic Resonance Imaging
Upper GI endoscopy
Laparoscopy.
Endoscopic biopsy
Endoscopic ultrasonography fine-needle aspiration and locoregional staging.

👉Management
IV fluids.
NG tube should be placed to decompress the stomach.
IV proton pump therapy (PPI).
Medical (conservative) vs Surgery (if medical therapy fails).
Endoscopy to dilate benign stricture (balloon dilatation or endoscopic stenting) or remove any luminal obstruction (bezoars).

👉Surgical intervention:
Malignant obstruction or endoscopic intervention has failed.
Primary resection, or bypass (gastrojejunostomy).

3/nImage
Read 25 tweets
Feb 12, 2023
Sensitivity and Specificity:

The question is:👇

In a study, 200 of the 300 people with the disease had a positive test & 500 of the 700 people without the disease had a negative test

HOW TO DO CALCULATIONS: 👇

The first & important step is to prepare:

🙋‍♂️2 x 2 TABLE

1/n
From the 👇table we gather that:

True Positive (TP) = 200
False Positive (FP) = 200
False Negative (FN) = 100
True Negative (TN) = 500

2/n
Sensitivity =
TP/TP+FN x 100
= 200/200+100 x100
= 66.7%

Specificity =
TN/FP+TN X 100
= 500/200+500 X 100
= 71.4%

Positive Predictive Value (PPV)=
TP/TP+FP X 100
=200/200+200 X 100
= 50%

Negative Predictive Value (NPV)=
TN/FN+TN X 100
= 500/500+100 X 100
= 83.3%

3/n
Read 5 tweets
Feb 10, 2023
Sensitivity and Specificity ??

what is sensitivity?
what is specificity?

👇👇

Well, both are measures of a test’s 👉validity.

👉Remember:

🙋‍♂️SNOUT
SeNsitive test with a Negative result rules OUTthe disease

🙋‍♂️SPIN
Specific test with a Positive result rules INthe disease.

1/n
👉Sensitivity

✔️Ability to detect people who do have the disease.
✔️Used for screening or ruling out disease.
✔️TP/TP+FN (%)

👉Specificity

✔️Ability to detect people who do not have the disease.
✔️Used to confirm or Rule in the existence of a disease.
✔️TN/FP+TN (%)
2/n
Clinical use:

👉HIGHLY SENSITIVE test should be used first, which guarantees the detection of all cases of the disease.

Followed by👇

👉HIGHLY SPECIFIC test to eliminate the false-positive results.

Question time:👇👇

3/n
Read 4 tweets
Apr 2, 2022
Nail Findings &Associated Conditions

Change in color, texture, or shape can be harmless, but may suggest an underlying systemic disease. /1

#MedTwitter #MedEd #USMLE #FOAMed #hospitalist #mbbs #medicine #doctor
#medschool #MedStudentTwitter #medstudent #TwitterRx
👇
See 👇👇
Common Nail pathologies 👇👇👇👇 part -I
/2 Image
Common nail pathology Part-II
⬇️⬇️👇👇⬇️⬇️⬇️

/3 Image
Read 6 tweets
Apr 1, 2022
Duration of Antibiotic Therapy
Deciding on the duration of antimicrobial therapy for an infection is neither straightforward nor simple. 👇
#MedTwitter #MedEd #USMLE #FOAMed #hospitalist #mbbs #medicine #doctor
#medschool #MedStudentTwitter #medstudent #TwitterRx
🔽👇🔽🔽👇

/1
Most ID guidelines are based- either expert opinions or evidence-based medicine. Historically, duration of ABX Rx were based on arbitrary extension of days(magic numbers like 7, 10 & 14 days) rather than on reliable evidence with the main aim to ⬇️ failures & avoid underRx.

/2
There is growing evidence to support for shorter courses. It is important for prescribers to be up to date with best practices. Duration of therapy plays a pivotal role in antimicrobial stewardship programme within the global effort to optimize antibiotic use &⬇️resistance.

/3
Read 26 tweets
Mar 31, 2022
LASIX and HF
👇👇👇👇
#MedTwitter #MedEd #USMLE #FOAMed #hospitalist #mbbs #medicine #doctor

👇👇👇

/1
4-chloro-N-(2-furyl-methyl)-5-sulfamoyl-anthranilic acid, member of the sulfa’s. Potent natriuretic drug, inhibits Na+-K+-2Cl− cotransporter in the ascending limb of the loop of Henle.
Direct Vd effects results in its therapeutic effectiveness in the Rx of acute pulm edema.

/2
Vasodilation leads to reduced responsiveness to vasoconstrictors, such as angiotensin II and noradrenaline, and decreased production of endogenous natriuretic hormones with vasoconstricting properties.

/3
Read 15 tweets

Did Thread Reader help you today?

Support us! We are indie developers!


This site is made by just two indie developers on a laptop doing marketing, support and development! Read more about the story.

Become a Premium Member ($3/month or $30/year) and get exclusive features!

Become Premium

Don't want to be a Premium member but still want to support us?

Make a small donation by buying us coffee ($5) or help with server cost ($10)

Donate via Paypal

Or Donate anonymously using crypto!

Ethereum

0xfe58350B80634f60Fa6Dc149a72b4DFbc17D341E copy

Bitcoin

3ATGMxNzCUFzxpMCHL5sWSt4DVtS8UqXpi copy

Thank you for your support!

Follow Us!

:(