Hoy en el congreso de la SEIMC asistimos a una interesante ponencia:
- "Tratamiento oral vs IV en infecciones graves; pro vs con".
@SEIMC_ @GesitraIC @GemaraSeimc @GEIRAS_SEIMC @gemicomed @GeioSeimc @jhorcajada
Para realizar tratamientos orales se tienen que tener en cuenta varios aspectos:
- Principales diferencias Pk entre IV y VO
- Biodisponibilidad de los diferentes antibióticos por vía oral
Tener en cuenta las correlaciones de dosis de antibióticos por vía oral y por vía intravenosa.
Como se ve, a veces con las dosis intravenosas se alcanzan concentraciones por encima de CMI que en determinadas ocasiones puede no ser necesario abriendo el tratamiento oral
Infecciones de foco complicado con tto oral:
- Estudio POEMS
--- Recordar que con los análisis de Pk ningún paciente presentó niveles inadecuados.
--- Se demostró el objetivo de no inferioridad.
--- En análisis posterior a 3 años la tendencia en tto VO era mejor respecto de IV
Infección osteorticular con tratamiento oral
- Gran diversidad de antibióticos usados
- Se demostró no inferioridad de VO feente a IV
Infección intrabdominal complicada
-Abscesos hepáticos por K. pneumoniae con un 50% de no drenados.
--- Se demuestra no inferioridad de tto oral
Con respecto de estudios sobre microorganismos de difícil tratamiento:
- Se usaron antibióticos con biodisponibilidad similar a los IV, demostrándose la no inferioridad de la terapia oral en bactariemia no complicada por Staph aureus
Se ha evaluado también pautas de erradicación de Pseudomonas aeruginosa, con tasas superiores con el tratamiento con colistina nebulizada.
Respecto a microorganismos de difícil tratamiento como bacterias MDR tenemos expectativas con nuevos fármacos
Estudios de implementación de tto oral con redución de hospitalización.
Por qué la vía oral es mejor?
- Alta precoz, movilidad, menos vías intravenosas...
- Cada vez mayor evidencia a través de ensayos clínicos (incluso con resultados de superioridad de vía oral).
En qué pacientes deberíamos plantear la vía intravenosa?
- inestabilidad deles paciente
- no control de foco
- mala biodisponibilidad/absorción
Con respecto a la vía intravenosa:
- Tener en cuenta que muchas veces la vía oral es la secuenciación de una primera vía intravenosa
- Cmax siempre superior en IV
- Qué fármacos orales cubren qué microorganismos y en qué porcentaje?
Y qué problemas tenemos en la vía oral?
- Ojo porque la vía oral está un factor de riesgo de desarrollo de resistencia por pautas al alta a domicilio orales de duración excesiva.
Recordemos las concentraciones de cefalosporinas en LCR:
- Muchas veces < 5 mg/L
En bacteriemia por cocos gram positivos: pocos datos, y únicamente linezolid y levofloxacino como opciones de vía oral.
Los diferentes autores concluyen que no hay evidencia en contra del empleo de beta-lactámicos IV.
Respecto de vía oral en endocarditis por cocos gram positivos
- Preocupan la adherencia
- Combianciones de antibióticos muy heterogéneas
Bacteriemia por bacilos gram negativos:
- Fundamentalmente estudiadas quinolonas, y pocos estudios.
- Más fracasos en tto con antibióticos de menor biodisponibilidad (y ojo con interasciones alimentarias)
Críticas al OVIVA trial
- Infecciones muy heterogéneas
- Falta de potencia para evaluar subtipos de infección
- Pocas infecciones por gram negativos
Críticas al POET trial
- Heterogeneidad de patógenos y falta de multirresistentes.
- Mismos efectos adversos en VO como en IV.
- Pocos dispositivos IV.
- Pautas de antibióticos muy diversas y que requieren elevada cantidad de comprimidos con posible mala adherencia.
Al pasar a vía oral deben considerarse muchos factores:
- Control de foco
- Alta biodisponibilidad
- Adherencia
- Interacciones y tolerancia
- Uso a largo plazo, toxicidades (incluso toxicidad grave como citopenias por toxicidad en médula ósea)
Como conclusiones del uso de la vía intravenosa:

• • •

Missing some Tweet in this thread? You can try to force a refresh
 

Keep Current with Medicina Interna Hospital 12 de Octubre

Medicina Interna Hospital 12 de Octubre Profile picture

Stay in touch and get notified when new unrolls are available from this author!

Read all threads

This Thread may be Removed Anytime!

PDF

Twitter may remove this content at anytime! Save it as PDF for later use!

Try unrolling a thread yourself!

how to unroll video
  1. Follow @ThreadReaderApp to mention us!

  2. From a Twitter thread mention us with a keyword "unroll"
@threadreaderapp unroll

Practice here first or read more on our help page!

More from @interna_12

May 28
¿Qué ocurre con los antibióticos💊 en el paciente con ECMO? 🧐🧐

💧Aumento volumen distribución
📉 Atrapamiento: membrana y tubuladuras.
⬇️ Aclaramiento (renal y hepático)
¿Afecta a todos los antibióticos por igual?

💧Hidrofilicos: aumento VD, disminución pico concentración plasmática.
🛢️Lipofilicos: sin cambios VD, secuestro en el circuito.
Os damos recomendaciones para ejemplos concretos:
☑️Vancomicina: dosis de carga 25-30mg/kg seguido de 15-20mg/kg
☑️Meropenem: carga 1g seguido de 1-2g/8h (6g/d).
☑️Cefazolina, teicoplanina: 84% secuestrado. No se recomienda su uso.
☑️P/T: carga 4.5g seguida 4.5g/6h.
Read 4 tweets
May 10
A raíz de algunos casos recientes, revisemos el SÍNDROME DE LISIS TUMORAL (SLT).
EMERGENCIA ONCOLÓGICA-> lisis masiva de células tumorales y liberación:
🔶Potasio
🔶Fósforo
🔶Ác nucleicos
+ frecuente-> inicio terapia citotóxica en linfomas de alto grado (particularmente tipo Burkitt) y LLA. Espontaneo->⬆️ proliferación, ⬆️sensibilidad a QMT y ⬆️carga tumoral
PATOGÉNESIS (1/2)

Tumores con: ⬆️proliferación/⬆️sensibilidad/⬆️carga tumoral-> citotóxicos, anticuerpos citolíticos, radioterapia o corticoides-> SLT

* Con nuevos tratamientos o combinaciones de tratamientos se ha observado SLT en tumores raramente asociados
Read 22 tweets
Apr 15
¿Cómo reconocer el síndrome coronario agudo? ♥️😖

DIFICULTADES:
-Retraso en consulta: mujeres, edad avanzada, comorbilidades.
-Falta de conocimiento de síntomas atípicos (disnea, dolor en mandíbula, brazo o espalda, náuseas y vómitos...)
-1/3 error de traje ➡️ <1% tras estudio
¿Qué datos clínicos nos pueden ayudar? 🧐

Primero evaluar las características📈 del dolor, echad un ojo a la figura!
La sensibilidad y especificidad varía en función de los síntomas, los factores de riesgo y los hallazgos en la exploración física o el ECG ⬇️⬇️

Como podéis ver, el dolor torácico "típico" solo tiene una sensibilidad y especificidad del 66% 😟😟
Read 5 tweets
Feb 18
Es el turno del caso cerrado de la Dra. Salmerón! 👩‍⚕️

👨58a. Trasplante hepático hace dos años. Tto: Ciclosporina A.

Intervenido hace dos meses de hernia inguinal.

Acude por fiebre desde la cirugía de hasta 40ºC.

🩺 Hepatoesplenomegalia. Herida qx normal.

Otras puebas 👇👇
Se completa el estudio ampliando imagen

☢️Esplenomegalia 20cm. Colección septada en canal inguinal (hematoma). Derrame pericárdico sin taponamiento. Aumento densidad grasa mesentérica

💉PAAF colección inguinal dcha: en blanco.

Se inicia tto con P/T y vancomicina sin respuesta
Durante su estancia en el hospital comienza con hipotensión y fracaso renal, por lo que se repite el ecocardio, confirmándose el taponamiento cardíaco.

Se drena, con líquido sin mucha información...

Ante la sospecha de TBC, se inician tuberculostáticos y corticoides.
Read 10 tweets
Feb 15
Después de un parón, volvemos con una nueva pregunta para vosotros!

🧓 85a ingresada por insuficiencia cardíaca.

Desde hace 48h presenta febrícula con algún pico puntual de 38ºC. Analíticamente sin leucos ni PCR. Buen estado general.

¿Qué haríais?
Iniciaríais antibiótico?
La fiebre en el paciente hospitalizado es un problema muy prevalente (hasta el 36% de hospitalizados según las series).

🔸Alrededor de la mitad son infecciosas

Os dejamos una tabla con las posibles causas
Read 5 tweets
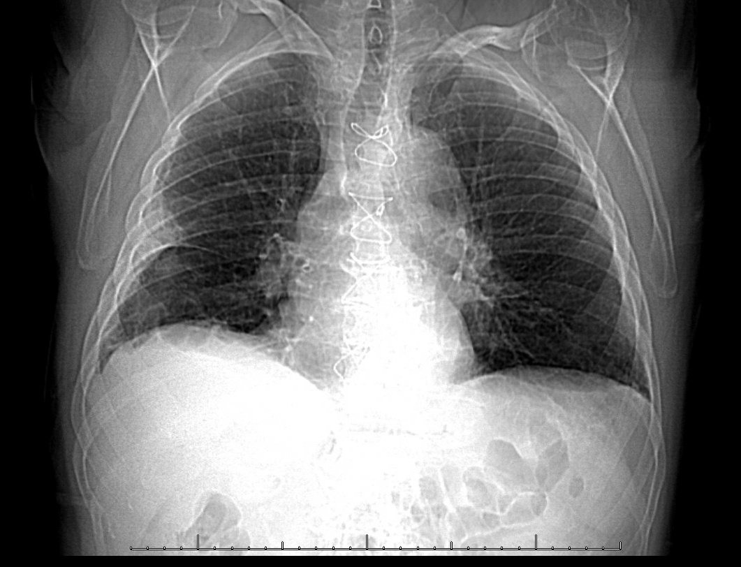
Nov 21, 2021
📸 ¡Nueva imagen!📸
Varón de 75 años con pinchazos en tórax desde hace 3 días que aumentan al inspirar, sin fiebre, taquicardia ni taquipnea. Recibió bypass en DA hace 8 años y tiene artrosis de cadera muy dolorosa por la que lleva 4 meses encamado, en espera para prótesis 🥴⏳ Image
El diagnóstico diferencial inicial fue amplio. No obstante, se realizó una Rx de tórax (en tweet previo) con un hallazgo característico que orientó rápidamente el diagnóstico ¿Sabrías decirnos cuál es? 🤔💭
Exacto! 🌟 La imagen es una joroba de Hampton 🐪 Es un hallazgo radiológico clásico en estos casos; una opacidad triangular con vértice hacia el hilio pulmonar y "joroba" curva. Es rara pero característica de un infarto pulmonar tras un TEP. Image
Read 4 tweets

Did Thread Reader help you today?

Support us! We are indie developers!


This site is made by just two indie developers on a laptop doing marketing, support and development! Read more about the story.

Become a Premium Member ($3/month or $30/year) and get exclusive features!

Become Premium

Don't want to be a Premium member but still want to support us?

Make a small donation by buying us coffee ($5) or help with server cost ($10)

Donate via Paypal

Or Donate anonymously using crypto!

Ethereum

0xfe58350B80634f60Fa6Dc149a72b4DFbc17D341E copy

Bitcoin

3ATGMxNzCUFzxpMCHL5sWSt4DVtS8UqXpi copy

Thank you for your support!

Follow Us on Twitter!

:(