Eduardo R Argaiz Profile picture
Aug 20 13 tweets 8 min read
Young pt ➡️ 🏥 worsening shortness of breath

PMH: ESRD. Only 1 HD session/week. However, residual urine volume has now decreased substantially

On exam: BP 134/94, 2L O2,🧠✅, elevated JVP, decreased 🫁 sounds at bases, No murmurs, very mild edema. Functional left BC AVF

1/13
Careful examination of neck veins reveals no pulsations, even with pt sitting up 🤔

What could explain the absence of venous pulse? 2/13
Answer is all of the above. JVP examination can be complicated in pts with ESRD.

In the absence of pulsations, I find #POCUS much helpful. Let's enhance our physical examination of congestion:

3/13
#POCUS

#VExUS: Plethoric IVC, Hepatic Vein with significant flow reversal and Portal Vein with 100% pulsatility. (Intra-renal Doppler not done because of ESRD)

Also, PLAPS shows "spine sign" = Pleural Effusion

This is severe venous congestion!

(#VExUS refresher👇)

4/13
Laboratory Data📊: BUN 104 mg/dl, K 6.2 meq/L, HCO3 16 meq/L, T Bili 0.5 mg/dl, ALT 1166 U/L, AST 697 U/L

What is the next step in management?

5/13
🚨🚨🚨 This patient NEEDS further evaluation!

Venous congestion ≠ Hypervolemia

Venous congestion needs a differential diagnosis!!

DDx of severe congestion:

Left Heart Failure
PAH
High Output Heart Failure (AV Fistula)
Obstructive physiology

#Echofirst is a MUST

6/13
⬆️⬆️⬆️ LFTs suggest ischemic hepatitis.

Low cardiac output has to be ruled out!

A quick look at the heart from a subxifoid window reveals a large pericardial effusion with RA collapse

Is this tamponade?
Pt has normal BP, CRT is 3 seconds, lactate is 2.9

7/13
💡This degree of venous congestion is usually seen in severe PAH: I would expect RV failure and a very dilated RA

The combination of SEVERE venous congestion + Collapsed RA is highly suggestive of Tamponade Physiology

Advanced #POCUS skills are needed here!

#PLAx 👇

8/13
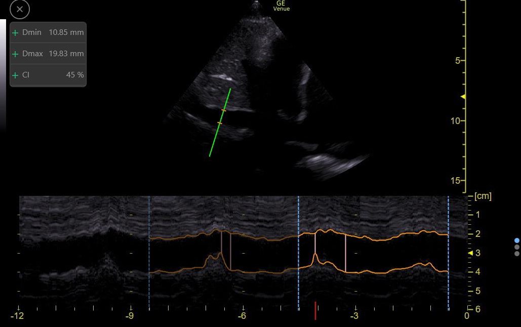
PLAx shows intermittent RV collapse,

It is sometimes hard to tell it this is happening in diastole (a sign of tamponade). So M-Mode through the Mitral Valve can help.

Here it shows clear diastolic collapse!

9/13
Another sign of tamponade is the equivalent of "pulsus paradoxus":

During inspiration, ⬆️ ventricular interdependence cases ⬇️ flow. So changes in flow with respiration are expected in tamponade

Trans-Mitral, Trans-Tricuspid and LVOT VTI: Significant variation!

10/13
Tamponade Physiology is present!

Even with normal BP, the liver is suffering from significant ischemia (ALT 1166 U/L).

One could have been tempted to start ultrafiltration to decongest the liver. This has a high likelihood of precipitating cardiac arrest! 🚨

11/13
Ultrafiltration was canceled and instead pericardiocentesis was performed!

After this procedure, no more signs of increased ventricular interdependence were present 👇

12/13
Venous congestion resolved (#VExUS = 0) and LFTs normalized!

🔑Venous Congestion ≠ Hypervoemia
🔑Venous Congestion needs a DDx
🔑Tamponade causes congestion and increased ventricular interdependence
🔑Decreasing intravascular volume in pts with tamponade should be avoided

/End

• • •

Missing some Tweet in this thread? You can try to force a refresh
 

Keep Current with Eduardo R Argaiz

Eduardo R Argaiz Profile picture

Stay in touch and get notified when new unrolls are available from this author!

Read all threads

This Thread may be Removed Anytime!

PDF

Twitter may remove this content at anytime! Save it as PDF for later use!

Try unrolling a thread yourself!

how to unroll video
  1. Follow @ThreadReaderApp to mention us!

  2. From a Twitter thread mention us with a keyword "unroll"
@threadreaderapp unroll

Practice here first or read more on our help page!

More from @ArgaizR

Jul 10
#AKIConsultSeries Middle-aged male ➡️🏥 for painful knee and fever. Now in shock 🚨

📂Chart review: PMH EtOH Cirrhosis, right knee arthroplasty.

It is always a good practice review previous PACS images🩻: Nodular liver, colateral vessels and prosthetic right knee

1/11
On exam: BP 72/48, HR 82, O2Sat 95%.
CRT 7 sec, 🧠somnolent, confused. No edema, no obvious ascites.

Warm, swollen and erythematous knee: Tap with obvious purulent fluid🧫

Cr 2.8 mg/dl (baseline 0.5), K 6.7, Urine 🔬: hyaline casts, some urothelial cells

2/11
Loos like hemodynamic AKI (AKA Pre-renal)

Usual causes in Cirrhosis:

🔷Distributive: Septic, "Hepatorenal physiology" 🔷Hypovolemic: Laxatives, vomiting, large volume paracentesis
🔷Congestive: Porto-pulmonary HTN, Co-existing cardiomyopathy

3/11
Read 11 tweets
Dec 23, 2021
Patient with flank pain, hematuria and significant leg edema

#POCUS 🧵

1/10
Lung Ultrasound #LUS 2/10
#IVC long axis 3/10
Read 10 tweets
Dec 8, 2021
A tale of two hearts: Physiological observations on AV shunts and congestion 🧵

These are 2 patients on IHD I saw in the outpatient clinic

🔷 Both with severe venous congestion (#VExUS = 3)
🔷 Both with tortuous brachiocephalic AV fístula

1/11
What I found remarkable was the diametrically opposed effects of manual AVF compression on JVP! 🤯

🔴 Patient A: AVF Compression improves venous congestion
🔵 Patient B: AVF Compression worsens venous congestion

2/11
🔴 Patient A: SLE + Lupus Nefritis ➡️ ESRD in HD

#echofirst: Plethoric IVC, good LVEF, paradoxical septal motion, ventricular interdependence, severe RV/RA dilation, torrential TR

3/11
Read 13 tweets
Nov 28, 2021
Pt with advanced Cirrhosis

AKI, Oliguria + Encephalopathy

Initial treatment = Albumin + Lactulose enemas

🧂Na is now 158 (From Lactulose induced free water loss)

#POCUS ninja @tumleal noticed something was wrong! He got his probe and texted me

📱 #WhatsAppAKIConsult 1/5
#POCUS: Plethoric non collapsible IVC

Based on the clinical scenario, IVC, heart rate and Pulse Pressure...

What is the likely underlying pathophysiology? 2/5
@tumleal went ahead and confirmed his suspicion:

He 📲texted me this:

LVOT VTI = 38!

Some 🔢:

VTI of 38, assuming a LVOT diameter of 20 mm: Stroke Volume = 119 ml

119 ml x HR (93 bpm) = 11.1 L/min of CO!

This is High Output Heart Failure (Very common in Cirrhosis) 3/5
Read 5 tweets
Oct 21, 2021
Pt w right HF and high probability pulmonary hypertension

TAPSE 15 mm, TRVmax 4.1 m/s, paradoxical septal motion

Renal Venous Doppler 👇

According to doi.org/10.1161/JAHA.1…, Which curve color would best describe this patient's PH-related morbidity?

Poll and 🧵👇

1/6 ImageImage
Which curve in the Kaplan Meier Curve above best fits this particular patient?

2/6
The Renal Doppler shown 👆 looks like a biphasic pattern. This would mean the green curve 🟢

However there is a catch.....

3/6 Image
Read 6 tweets
Aug 28, 2021
One of my favorite and most intriguing causes of severe venous congestion (#VExUS = 3)

A 🧵on High Output Heart Failure (HOHF) 1/18
First, the index case:

Clip above shows hyperdynamic flow from the vena cava

#echofirst 👇: Very dilated and plethoric IVC, LV OK, Dilated RV, D sign

Overall: Increased Right heart filling pressures

2/18
IVC = 3.4 cm
Portal Vein = > 100% pulsatility
LVOT VTI = 26
TRVmax = 3.04 m/s

So we have:

Venous Congestion (IVC, Portal Vein)
High Cardiac Output (LVOT-VTI)
Pulmonary Hypertension (TRVmax)

3/18
Read 18 tweets

Did Thread Reader help you today?

Support us! We are indie developers!


This site is made by just two indie developers on a laptop doing marketing, support and development! Read more about the story.

Become a Premium Member ($3/month or $30/year) and get exclusive features!

Become Premium

Don't want to be a Premium member but still want to support us?

Make a small donation by buying us coffee ($5) or help with server cost ($10)

Donate via Paypal

Or Donate anonymously using crypto!

Ethereum

0xfe58350B80634f60Fa6Dc149a72b4DFbc17D341E copy

Bitcoin

3ATGMxNzCUFzxpMCHL5sWSt4DVtS8UqXpi copy

Thank you for your support!

Follow Us on Twitter!

:(