Richard Choi, DO Profile picture
Sep 25 โ€ข 20 tweets โ€ข 13 min read
Get ready for a wild ride! We will be going down a ๐Ÿฐ๐Ÿ•ณ and ๐Ÿ”Ž multiple issues along the way. Buckle up! As always, all cases deidentified and never published while admitted. #tweetorial #neurotwitter #medtwitter #FOAMed #MedEd #Neurology
1/
Middle aged person with opioid abuse, bipolar, hip abscess, who p/w dysarthria, ๐Ÿคข๐Ÿคฎ. Patient is admitted and has sudden change in MS, undergoes stroke alert. CT with mild ventriculomegaly but no other acute process
2/
Blood๐Ÿฉธ cultures return with GPC in pairs and clusters ๐Ÿฆ  and vancomycin is started. They remain altered and repeat CT head 2 days later now shows worsening hydrocephalus (๐Ÿง ๐Ÿ’ง) with transependymal flow. Cultures finalize to MRSA.
3/
Remember that transependymal edema occurs when the intraventricular pressure is higher than surrounding tissue and CSF starts to push through the ependymal lining of the ventricles.


4/
They undergo MRI L spine, T1 post gad representative images shown. Patient has diffuse enhancement of cauda ๐Ÿด and subdural empyemas
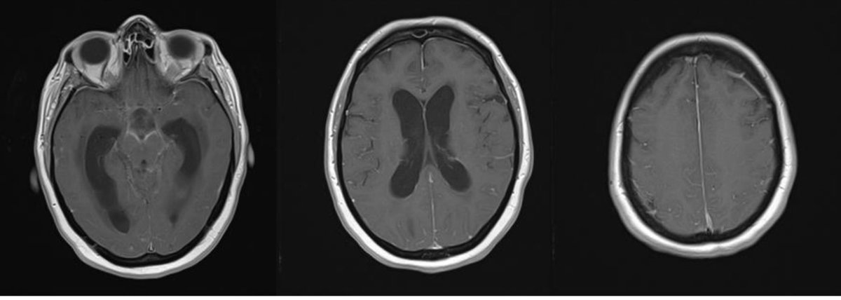
5/
They undergo MRI brain, T1 post gad representative images shown. Patient with meningitis, ependymitis and ventriculitis & known communicating ๐Ÿง ๐Ÿ’ง (for the difference between communicating and non-communicating (aka obstructive) hydro, see: )
6/
So it seems they have a florid MRSA infection of the ๐Ÿง  leading to the ๐Ÿง ๐Ÿ’ง. But MRI of the ๐Ÿง  also shows small ischemic strokes in multiple territories (DWI shown)
7/
They undergo ventriculostomy placement. CSF analysis supports this with 64 WBC, 46 RBC, protein 58, Glucose 42, 51% neutrophilic. What is going on???
8/
Patient undergoes CT/A/V given these strokes are of unclear etiology and this shows severe vasospasm in all arteries, and no venous sinus thrombosis and a developing right parietal area of suspected ischemia! ๐Ÿ˜ตโ€๐Ÿ’ซ๐Ÿ˜ต๐Ÿฅด
9/
Patient undergoes angiogram which confirms severe diffuse vasospasm. They receive intraarterial verapamil and balloon angioplasty to MCA/ACA/BA. Daily TransCranial Dopplers (TCDs) and nimodipine are started.
10/
The vasospasm pathophysiology in meningitis is even less well understood than in SAH, but is related to NO, endothelin-1, IL1, IFN g and TNF (see pubmed.ncbi.nlm.nih.gov/25610703/).
11/
Management is largely driven by SAH protocols, with BP augmentation and CCB form the core of this management (see oatext.com/treatment-of-vโ€ฆ) as well as endovascular management, though in some cases, revascularization has been used (see: ncbi.nlm.nih.gov/pmc/articles/Pโ€ฆ )
12/
What do you do now?
13/
We throw the kitchen sink. She receives IT vancomycin and nicardipine. We start vasopressors to augment her BP. Her TCDs trend up over the next several days. She is requiring multiple pressers, and her BP drops every time she receives nimodipine. What do you do?
14/
Remember from Physics that flow is proportional to radius to the 4th power, so any changes in radius will have significant implications in velocity to maintain flow, and this is the principle applied when we monitor velocities with TCDs.
15/
There is a retrospective review demonstrating that when patients get > of their nimodipine as scheduled, their outcomes are better, but this is retrospective: pubmed.ncbi.nlm.nih.gov/26690937/. Meanwhile 2D echo and TEE negative for vegetations.
16/
They self d/cโ€™d the ventric after about 15 days but fortunately did not develop further ๐Ÿง ๐Ÿ’ง. They gradually improved but had a challenging dispo due to the IVDA history. They went to rehab after 2 months with residual aphasia (receptive>expressive) and generalized weakness.
17/
Take ๐Ÿ  points:
๐Ÿ‘‰ meningitis can cause vasospasm
๐Ÿ‘‰suspect with low GCS score
๐Ÿ‘‰โœ… vascular imaging if suspected
๐Ÿ‘‰mgmt is similar to SAH
End/

โ€ข โ€ข โ€ข

Missing some Tweet in this thread? You can try to force a refresh
ใ€€

Keep Current with Richard Choi, DO

Richard Choi, DO Profile picture

Stay in touch and get notified when new unrolls are available from this author!

Read all threads

This Thread may be Removed Anytime!

PDF

Twitter may remove this content at anytime! Save it as PDF for later use!

Try unrolling a thread yourself!

how to unroll video
  1. Follow @ThreadReaderApp to mention us!

  2. From a Twitter thread mention us with a keyword "unroll"
@threadreaderapp unroll

Practice here first or read more on our help page!

More from @rkchoi

Sep 9
There is so much confusion on what #braindeath is and what it is not (see or dailymemphian.com/subscriber/secโ€ฆ) that I wanted to provide some education on this critically important matter. A ๐Ÿงต on its history and more #neurotwitter #medtwitter
1/
Before mechanical ventilation, death was defined as the cessation of circulation and breathing, and even though it seemed straight forward, a true phobia in the 18th and 19th C was that of being buried alive. Hence #safetycoffins from where the term #savedbythebell is derived:
2/
In 1959, Mollaret and Goulon describe #comadepasee or "overcoma" where 23 people had no movement, no EEG activity, polyuria and required pressors, and would quickly die if pressors were stopped: pubmed.ncbi.nlm.nih.gov/14423403/ and was also described by Wertheimer/Jouvet the same year
3/
Read 25 tweets
Jun 29
1/ Time for another illustrative learning case in the form of a ๐Ÿงต#tweetorial #medtwitter #neurotwitter #neurocriticalcare #neurology. Case deidentified as always
2/ Young human with no medical history but IVDA (heroin, cocaine, PCP) with multiple prior overdoses and recent discharge from drug rehab 2 days prior who presents to #ED after acting funny
3/They were noted to be lethargic, GCS 13, not able to provide history. CT demonstrates cerebellar edema with #hydrocephalus (๐Ÿ’ง) and some โฌ†๏ธ transtentorial ๐Ÿง  herniation
Read 21 tweets

Did Thread Reader help you today?

Support us! We are indie developers!


This site is made by just two indie developers on a laptop doing marketing, support and development! Read more about the story.

Become a Premium Member ($3/month or $30/year) and get exclusive features!

Become Premium

Don't want to be a Premium member but still want to support us?

Make a small donation by buying us coffee ($5) or help with server cost ($10)

Donate via Paypal

Or Donate anonymously using crypto!

Ethereum

0xfe58350B80634f60Fa6Dc149a72b4DFbc17D341E copy

Bitcoin

3ATGMxNzCUFzxpMCHL5sWSt4DVtS8UqXpi copy

Thank you for your support!

Follow Us on Twitter!

:(