iRandi 🫁 🎮 Profile picture
Jul 12 6 tweets 3 min read Twitter logo Read on Twitter
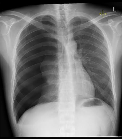
Daya rusak rokok elektronik, yang baru beken belum ada dua dekade, cukup berat ternyata ya. Sa menangani beberapa pasien paru kolaps, sebagai atelektasis atau pneumotoraks, yang usia muda dan merupakan user selama ± tiga bulan pemakaian.
Blom slesai. Kek mana itu atelektasis dan pneumotoraks? Atelektasis artinya paru nguncup krn udara gk bs keluar masuk, sementara paru cenderung kisut. Rokok-el bikin radang saluran napas & ada produksi dahak. Klo berlangsung terus menerus, saluran napas jd rusak & nyumbet.





Lalu apa pulak pneumotoraks? Karena akumulasi partikel kecil yg dihiRup dari rokok-el merusak struktur paru, terjadi cedera tingkat mikro. Bila berlanjut terus, pinggiRan paru bisa robek & udara kejebak di rongga dada, gk bisa keluar. Musti ditoblos chest tube.





Gejala deduanya hampiR sama sih. Ada sesak dan batuk. Sesak pneumotoraks diRasa secara cepat makin berat, kalau atelektasis bervariasi tergantung derajat ketertutupan saluran napas. Batuk sebagai kompensasi proses yg terjadi di dalam dada.
Lalu kenapa belum dibikin case report/series/makalah ilmiahnya. Ada dua sebab:
1. Lagi banyak kerjaan
2. Kasus yg sa tangani msh blom cukup. Bentuk publikasi ilmiah dampak rokok-el lebih cocok sebagai agregat atau studi epidemiologi, dibanding sbage laporan ketengan.
Take home message: rokok-el gak lebih aman dibanding rokok biasa. Penyakit terkait rokok-el tidak perlu menunggu waktu lama utk muncul. Silakan konsumsi, and I'll be seeing you in the emergency ward.

• • •

Missing some Tweet in this thread? You can try to force a refresh
 

Keep Current with iRandi 🫁 🎮

iRandi 🫁 🎮 Profile picture

Stay in touch and get notified when new unrolls are available from this author!

Read all threads

This Thread may be Removed Anytime!

PDF

Twitter may remove this content at anytime! Save it as PDF for later use!

Try unrolling a thread yourself!

how to unroll video
  1. Follow @ThreadReaderApp to mention us!

  2. From a Twitter thread mention us with a keyword "unroll"
@threadreaderapp unroll

Practice here first or read more on our help page!

More from @dokterparu

Jun 18
Kembangkan obat, vaksin, kit pemeriksaan utk bantu diagnosis penyakit; kesemua itu diambil dari data genom masyarakat Indonesia lalu workflow, bahan baku, lokasi, pelaku, juridiksi hukum, pengawasan, produksi, dan keuntungan oleh siapa dan buat siapa, kaka?
Alat genome sequencing sih udah ada dan cukup di Indonesia dgn TKDN hampiR 0%. Artinya impor. Reagen & bahan baku juga sudah ada, kemungkinan besar TKDN 0%. Artinya impor. Tinggal dikerjakan dengan baik. Apa added value RUU Kesehatan dgn membahas genome sequencing ini?
KekuatiRannya maka: bagaimana data handling utk fenotip (hal² kasat mata) & genom masyarakat Indonesia; apa gak lebih baik penguatan tim genom, industri & medikolegal Indonesia lebih dulu diutamakan, daripada akselerasi yg melibatkan pihak asing lebih jauh?
Read 4 tweets
Apr 13
Daripada misuh bincangin negara atau ghibah ngomongin orang, mending pahala puasa sa berkurang karna ngiRim foto beginian. ImageImageImageImage
Hanya foto ImageImageImageImage
Beberapa foto inspiRatif ImageImageImageImage
Read 7 tweets
Apr 10
Sekitaran 10 taun lalu, medsos dokter khususnya di FB rame karena dunia kedokteran kena dikriminalisasi. Menjelang pemilu.

Saya melihatnya apa yg terjadi di saat² ini, di dalam berbagai grup medsos & WA dokter, juga sama aja dgn 10 th lalu. Makanya, kini sa milih nonton saja.
Saya harap diskusi panjang kali lebar ini masuk ke tahap rekonsiliasi nasional & saling memahami peran, yg juga melibatkan semua pihak khususnya masyarakat. Karena ini berkenaan dgn pelayanan kesehatan. Urusan nyawa.
Sudahi show or act of power. Turunkan ego. Sudahi unjuk gigi sekadar menunjukkan siapa saya, ada siapa bersama saya, saya bisa foto sama siapa saja. Herd mentality itu merusak. Yg konkret aja yg dibutuin saat ini dibutuhkan, utk kualitas pelayanan kesehatan masyarakat lbh baik.
Read 4 tweets
Jan 25, 2021
Dan alasan nomor 1 ini pun sa termasuk yg cuek dgn hasil cycle threshold (CT) value utk menentukan viRus masi infeksius atau tidak, klinis baik atau tidak. Sa melihat gejala klinis & selesai masa isolasi. CT value itu parameter spesifik mesin, cukup dibaca positif atau negatif.
CT value kecil, artinya waktu yg dibutuhkan suatu segmen genom utk replikasi di mesin sangat pendek; artinya ditemukan banyak di spesimen. Bila CT value besar, sebaliknya, ditemukan sedikit di spesimen. Ibarat kerok pasiR bangunan, nemu kerikilnya seberapa banyak.
Kata kuncinya adalah menemukan. Dalam ilmu mikrobiologi klinis, temuan kuman di spesimen itu selalu by chance, tergantung seberapa banyak & apa yg keambil dalam sekali ambil itu. Klo memang kumannya banyak pun, yg representatif di lab & mesin itu hanya satu kuman atau koloni.
Read 9 tweets
Jun 14, 2020
Mengenai paru basah, sampe sekarang saya gak ngerti ini merujuk ke penyakit paru yg mana.

Paling mungkin ada 3 kondisi, dgn gejala & penyakit penyebabnya secara umum beda:

(1) efusi pleura: sesak, nyeri. Bisa krn #TB, #tumorparu, atau gagal ginjal
(2) pneumonia: radang paru akibat infeksi selain #TB. Sesak, demam, batuk.
(3) gangguan napas berat akut #ARDS: bisa krn infeksi berat mis. #COVID19, paru orang tenggelam, keracunan gas, dsb.
Read 5 tweets
Jun 14, 2020
Berikutnya sa ingin bahas #tuberkulosis #TBC yg masih aja disebut sebagai flek paru.

Istilah flek paru itu istilah lawas jaman kolonial karena ditemukan bercak di foto ronsen dada (CXR). Padalan #covid19 pun gambarannya bisa seperti itu.

Tinggalkan istilah flek paru!
#Tuberkulosis #TBC termasuk penyakit menular, karena infeksi bakteri 𝘔𝘺𝘤𝘰𝘣𝘢𝘤𝘵𝘦𝘳𝘪𝘶𝘮 𝘵𝘶𝘣𝘦𝘳𝘤𝘶𝘭𝘰𝘴𝘪𝘴. Menular lewat cipratan dahak di udara.

Jadi pencegahan utama #TB adalah etika batuk yang benar, jangan asal tembak. Tutupi dgn lengan atau sapu tangan.
Gejala #TB: batuk (bisa kering, bisa berdahak, bisa berdarah) kronik (>2 pekan), keringat malam walau gk aktivitas atau gk lagi sumuk/panas, berat badan turun, mudah letih. Bahkan jaman dulu nama penyakit ini "consumption" atau "wasting" krn korbannya kurus kering.
Read 8 tweets

Did Thread Reader help you today?

Support us! We are indie developers!


This site is made by just two indie developers on a laptop doing marketing, support and development! Read more about the story.

Become a Premium Member ($3/month or $30/year) and get exclusive features!

Become Premium

Don't want to be a Premium member but still want to support us?

Make a small donation by buying us coffee ($5) or help with server cost ($10)

Donate via Paypal

Or Donate anonymously using crypto!

Ethereum

0xfe58350B80634f60Fa6Dc149a72b4DFbc17D341E copy

Bitcoin

3ATGMxNzCUFzxpMCHL5sWSt4DVtS8UqXpi copy

Thank you for your support!

Follow Us on Twitter!

:(