How to get URL link on X (Twitter) App
Type I AAE (seizure/myoclonus)
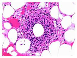
2. Virulence factors and host immune response
1. Flucloxacillin

2. Cheese pizza
1. Vibrio vulnificus
⭐Secretes coagulase (remember it's coagulase +ve) and Staph aureus superantigen-like 10 (SSL-10)