Katie Wiskar Profile picture
General Internist @UBCMedicine @VCHHealthcare | super #POCUS nerd | @westernsono alumna | #POCUS, #GIM, #criticalcare | Mom of boys | Outdoor enthusiast
Nov 13, 2025 β€’ 10 tweets β€’ 4 min read
Cirrhosis tips and tricks part 3: the hypotensive cirrhotic 😱

This is SUPER common and can get spicy 🌢️- these patients can get sick quick!

Here are some useful principles to remember 🧡Image 1. First, take a step back: is this blood pressure actually pathologic in this patient? 🧐

(Obviously if BP is like 50/30 you can skip right through this step πŸš‘)

Many patients live with low baseline blood pressure due to the hemodynamic effects of cirrhosis (NO overproduction, splanchnic vasodilation, etc).

Look for signs of organ dysfunction, and compare to their baseline numbers, before you panic.
Feb 25, 2025 β€’ 6 tweets β€’ 2 min read
A quick #VEXUS thread 🧡-

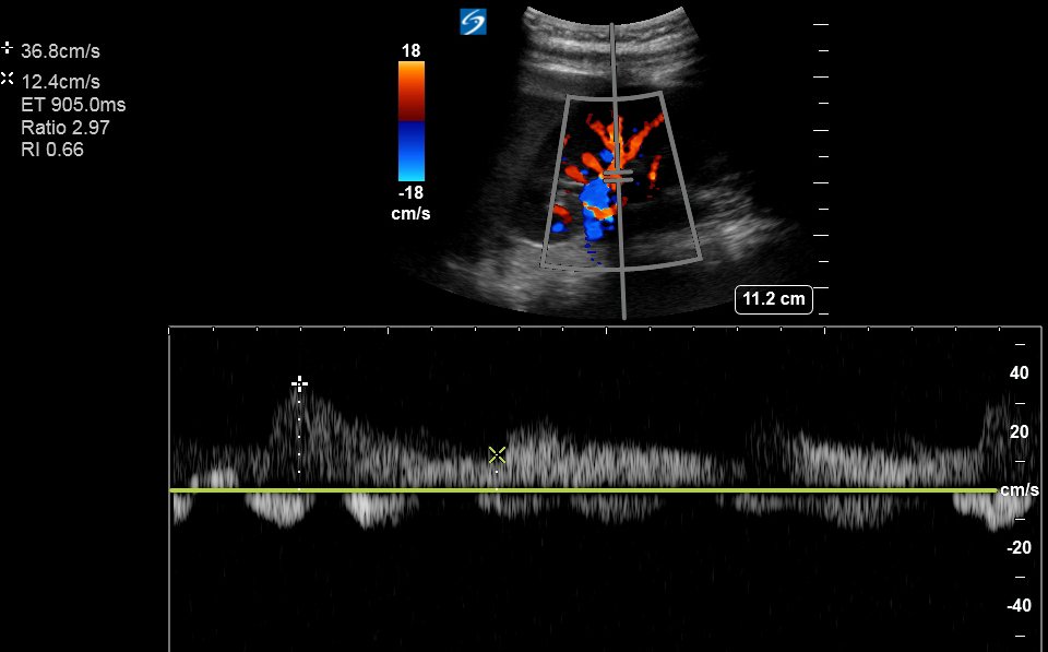
3 reasons why the portal vein is the most useful single venous doppler waveform πŸ₯‡

(if you're only going to do ONE site to look for venous congestion, this is probably the most useful one!) 1. It's easy to obtain

Unlike the intra-renal veins, which can be elusive even to the most experienced scanners, the portal vein is usually easily identifiable.

From a right-sided coronal plane in the mid-axillary line, with your liver and kidney in view, the move is typically to fan or slide your probe in the anterior-posterior plane.

You should see a nice vertically-aligned segment of the portal vein pop into view; easily recognized by its bright hyperechoic borders and hepatopetal blood flow (which will look RED on colour doppler).
Feb 3, 2025 β€’ 9 tweets β€’ 4 min read
Doppler ultrasound for venous congestion - #VEXUS - has truly been game-changing in my clinical #POCUS practice.

Here's the TL;DR on the concept of #VEXUS - 🧡

For a long time, physicians were focused solely on forward flow; we lacked an appreciation of the harms of right-sided venous congestion, as well as a means to assess it at the bedside.

We are now increasingly recognizing the harms of venous congestion, and realizing the importance of the fluid tolerance and #ThePeoplesVentricleImage When assessing for clinically significant organ congestion with ultrasound, basic 2D ultrasound has its limits.

A plethoric IVC is a great start - it is highly sensitive, but not specific, for organ-level congestion. A high CVP is a prerequisite to organ congestion; but by itself is not enough!

Enter: #VEXUSImage
Jan 24, 2025 β€’ 12 tweets β€’ 4 min read
Confession: I LOVE hyponatremia πŸ€“

(I know, I know. What can I say, I'm a true internist!)

HypoNa is often feared, maligned, and misunderstood - but I promise it doesn't have to be scary!

Here are my top 10 hyponatremia tips and tricks - a 🧡 Image 1. Use a lab-based, physiologic approach

HypoNa is traditionally taught using a volume-based approach.

Having spent a huge part of my career delving into the intricacies of volume status, I can say with confidence: this is not the best way to do it!! ❌

Volume status is highly complex and we often get it wrong.

A lab-based approach relying on urine studies - as outlined in the very simple infographic above - is MUCH more accessible.

This approach has the added benefit of encouraging you to understand the physiology and renal handling of sodium at play.
Jan 17, 2025 β€’ 10 tweets β€’ 4 min read
Next to fluids, IV diuretics are some of the most commonly mis-prescribed medications in acute medicine πŸ’‰πŸ©Έ

Let's unpack 5 common diuretic prescribing mistakes, and how to correct these 🧡 Image 1. Failure to understand the pharmacokinetics and pharmacodynamics of common diuretics.

I know, I know - I'm dragging you back to med school pharmacology 😩

BUT in order to properly prescribe diuretics, we need to understand how they work! πŸ“ˆ

Furosemide (lasix) is a loop diuretic. It works via a threshold effect: in order to achieve diuresis, the concentration of furosemide at the site of action must EXCEED the diuretic threshold, which can vary based on a number of factors (we'll come back to this).

This is fundamental to understand.

More on pharmacology on this excellent IBCC post: emcrit.org/ibcc/diurese/
Jan 9, 2025 β€’ 12 tweets β€’ 3 min read
Suggested New Year's Resolution: more mindful prescribing of IV fluids 🫧

Far too often I see IV fluids thrown around with minimal consideration; meanwhile, we'll deliberate for hours about a dose of lasix πŸ€¦β€β™€οΈ

Here are the 10 most common fluid prescription mistakes I see 🧡 Image 1. Confusing maintenance fluids with resuscitation fluids

These are two very distinct indications for IV fluids and should be in separate mental buckets; each with their own considerations.

Be very clear about the reason for which you are prescribing IV fluids πŸ’‰
Dec 16, 2024 β€’ 13 tweets β€’ 4 min read
1/
Time for another #POCUS pitfalls thread 🧡: the infamous IVC 🀩

I have MANY thoughts on the IVC πŸ’­

When I first started teaching POCUS, I actually disliked the IVC because it was often poorly done or incorrectly interpreted ❌

I have now come to love the IVC, BUT you have to do it right!

#tweetorial 2/
Firstly: it sounds obvious, but make sure what you're seeing is actually the IVC! ❗

We've all been fooled by an aorta at least once πŸ™ˆ

The two vessels can be quite close together; but the aorta will be more medial; it will appear to be straighter, more vertical, and will have thicker walls
Nov 7, 2024 β€’ 13 tweets β€’ 5 min read
1/
#POCUS exam of both the internal jugular vein (the POCUS JVP 🀩) and the IVC can be used to estimate central venous pressure βœ…

⁉️ BUT - what happens when these two scans are discordant?? 🫒

A quick #tweetorial 🧡on interpreting contradictory IVC and JVP results Image 2/
SO - if both scans are concordant, then things are straightforward πŸ‘

If the IVC is plethoric and the JVP appears elevated, then CVP is UP ⬆️
Jul 24, 2020 β€’ 9 tweets β€’ 8 min read
Journal Club in the time of COVID πŸ€“πŸ©ΊπŸ˜·

@ubcimpocus had our inaugural #POCUS journal club with our fellow @teres_sono (welcome to #MedTwitter Terry!!).

The topic was all things #VEXUS and some really great questions came up (1/) Note COVID modifications:

- small group, all seated 6ft apart
- masks, wipes, hand sanitizer easily accessible
- no shares food; individual drinks (yes, gasp, alcohol - #professionalism)
- Zoom mtg on individual devices to enable distanced screen sharing