How to get URL link on X (Twitter) App
Let's count down from Zone 4. The superficial terminal branch, for practical purposes, is purely sensory, supplying the palmar aspect of the digits 4-5.
First order of business. Neuronopathy is not the same as neuropathy. There’s a NO right in the middle of it.
In this🧵, we're talking about examining a patient who does NOT have a sensory deficit as their chief complaint.
Now let's just look at the arm fibers. For all three tracts, they are right up against the grey matter.
Is THIS Bulbar Weakness?
So do you say Guillain-Barre syndrome or AIDP?
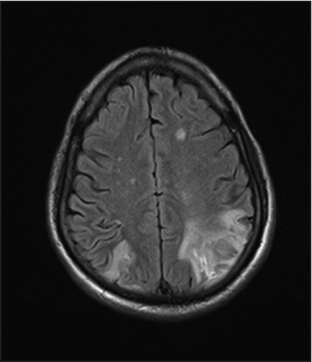
She was admitted on Saturday morning, and she was upset when she realized she would miss church. She only lived two blocks from the church, and walked there every Sunday. She hadn't missed a Sunday sermon in decades. 2/🧵
2/

It’s a 2-3 player game that takes about 20 minutes🕓 to play. And here's the kicker: It's actually fun, and you don’t need to be be a master of brachial plexus anatomy to enjoy it. (In fact, my middle school-age son beat me the first time he played.😯)
He was unable to focus on the whole picture at once.
2/6 Common things are common, and most of the time, a foot drop is caused by either: