Gorka Orive Profile picture
Sep 10, 2020 6 tweets 3 min read Read on X
Es sabido que el #SARSCoV2 afecta a un gran número de tejidos y órganos, entre ellos el cerebro. Un porcentaje de los enfermos #COVID19 sufren síntomas neurológicos: dolores de cabeza, confusión, delirios, lo que sugiere que el virus pudiera penetrar/atacar el cerebro.
Abro hilo. Image
Hay un preprint (no revisado por pares) interesante que estudia la posible entrada del coronavirus a nivel del tejido cerebral y lo hace empleando diferentes modelos experimentales y estrategias. Las explico una a una. biorxiv.org/content/10.110…
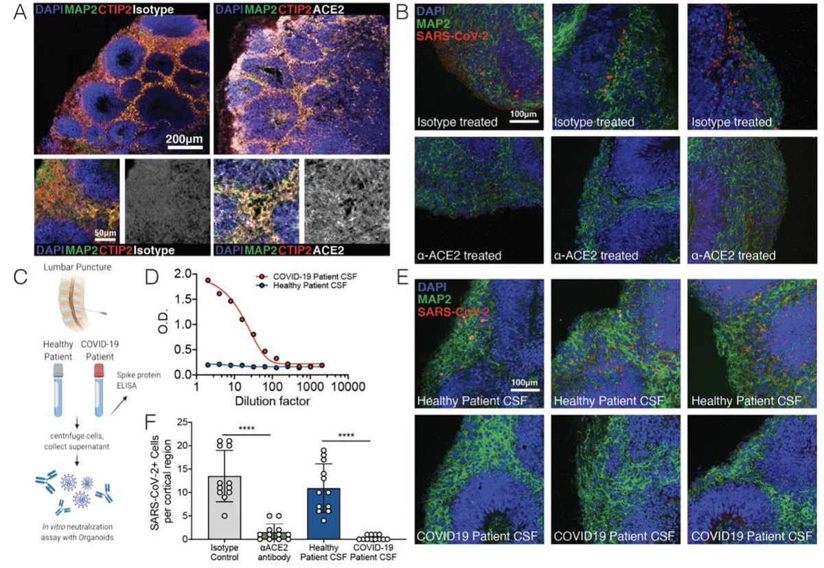
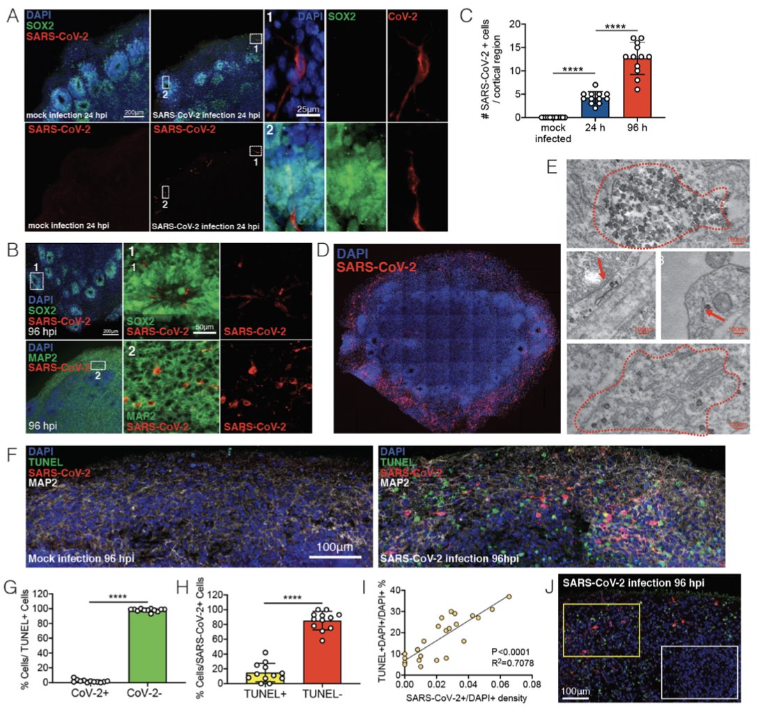
El primer método es por medio de organoides (estructuras celulares tridimensionales de laboratorio), viendo que el coronavirus produce cambios metabólicos importantes en las neuronas afectadas. Image
El segundo método es mediante ratones que sobre-expresan la proteína ACE2 y viendo que la invasión del cerebro por parte del coronavirus provoca un aumento en la mortalidad de los animales. Image
El tercero es a través de una biopsia a una paciente fallecido con #COVID19, y en la que pudo detectarse el coronavirus en neuronas corticales. Todo ello sugeriría, la capacidad de invasión cerebral del virus y explicaría algunos de sus efectos neurológicos. Image
Estamos ante un estudio que debe ser evaluado por pares y donde otras hipótesis de patogenia son posibles. Aporto más evidencias en relación a este tema. La realidad clínica, no obstante, es tozuda. La COVID19 genera efectos y secuelas cerebrales. nytimes.com/2020/09/09/hea…

• • •

Missing some Tweet in this thread? You can try to force a refresh
 

Keep Current with Gorka Orive

Gorka Orive Profile picture

Stay in touch and get notified when new unrolls are available from this author!

Read all threads

This Thread may be Removed Anytime!

PDF

Twitter may remove this content at anytime! Save it as PDF for later use!

Try unrolling a thread yourself!

how to unroll video
  1. Follow @ThreadReaderApp to mention us!

  2. From a Twitter thread mention us with a keyword "unroll"
@threadreaderapp unroll

Practice here first or read more on our help page!

More from @gorka_orive

Oct 25, 2024
Realizar diariamente ejercicio tiene beneficios físicos y psicológicos evidentes. Siempre adaptado a cada persona y circunstancia, el ejercicio aeróbico y de fuerza o resistencia aporta innumerables ventajas.
Os lo cuento. Agradezco RT.Image
Los efectos beneficiosos afectan al músculo, hígado, aparato cardiovascular, a la grasa corporal e incluso al cerebro y sistema nervioso central. Image
La liberación de diferentes moléculas por parte del músculo y el hígado activan vías moleculares que estimulan el sistema nervioso, reducen la neuroinflamación y aumentan la plasticidad sináptica del cerebro. Image
Read 4 tweets
Feb 20, 2024
Los micro y nanoplásticos nos rodean y algunos estudios apuntan a que su presencia llega a tejidos y órganos humanos. ¿Qué evidencia existe al respecto? ¿Qué efectos pueden provocar estos contaminantes en nuestro organismo?
Os cuento algunas evidencias recientes.
Agradezco RT. Image
La masa global de plástico que hay en el planeta supera ya a la de todos los animales juntos. En 1950, se fabricaban 2 millones de toneladas de plástico en el mundo, en 2021 se alcanzaron 461 millones y se estima que lleguen a 590 millones de toneladas en 2050.
Image
Image
Recientemente, se ha descubierto que las botellas de plástico pueden contener miles de nanopartículas capaces de infiltrarse en las células. Uno de los nanoplásticos más frecuentemente detectado fue el tereftalato de polietileno. pnas.org/doi/epdf/10.10…
Image
Read 5 tweets
Feb 19, 2024
¿Cómo afecta el nivel socioeconómico al riesgo de sufrir demencia de aparición temprana?
¿Cómo impactan los hábitos de vida saludables en la salud cerebral o en su defecto en el riesgo de neurodegeneración?
Un nuevo trabajo pone luz en algunas de estas preguntas.
Os lo cuento. Image
Las personas (de 37 a 60 años) que vivan en los entornos socioeconómicos más bajos tienen hasta 3 veces más probabilidades de desarrollar demencia de aparición temprana (diagnosticada en pacientes menores de 65 años). Image
Y si esas mismas personas llevan un estilo de vida poco saludable, el riesgo es un 440% mayor en comparación con las de un nivel socioeconómico más alto que llevan un estilo saludable. Estilo de vida y nivel socioeconómico se asocian significativamente con la demencia.
Read 6 tweets
Feb 17, 2024
¿Sabías que el ejercicio puede ayudar a retrasar el deterioro cognitivo?
¿Sabes que es posible generar un efecto protector en áreas claves del pensamiento y la memoria?
¿Cómo lograrlo?
Te lo cuento y agradezco que si te gusta hagas RT. Image
Las personas mayores físicamente activas tienen muchas menos probabilidades que las sedentarias de desarrollar la enfermedad de Alzheimer u otros tipos de pérdida de memoria y deterioro cognitivo, según un estudio reciente. Image
Un estudio, que implicó escanear los cerebros de más de 10.000 hombres y mujeres sanos de entre 18 y 97 años, encontró que los que hacían ejercicio moderado durante 25 minutos a la semana tenían cerebros más grandes que aquellos que no lo hacían. Image
Read 6 tweets
Jan 27, 2024
¿Qué relación tiene la diabetes tipo 2 con el sedentarismo?
¿Qué implicaciones tiene la grasa abdominal, el sobrepeso y la obesidad en la enfermedad?
¿Puede ser el ejercicio físico potencialmente beneficioso?
Os lo cuento. Agradezco vuestro RT. Image
La diabetes es una enfermedad que se caracteriza por una mala gestión en el metabolismo de la glucosa, por presencia escasa o nula de insulina. Como resultado los niveles de glucosa en sangre aumentan. En la diabetes tipo 2 el problema es la resistencia titular a la hormona. Image
La diabetes tipo 2 aumenta el riesgo cardiovascular junto a otros riesgos. La enfermedad cardiovascular es la primera causa de muerte en nuestra sociedad, y con mucho, la causa más frecuente de muerte en la población que padece diabetes tipo 2.
Read 7 tweets
Jan 24, 2024
¿Son curables las enfermedades autoinmunes?
Por ahora es imposible curar diabetes, lupus o esclerosis múltiple.
¿Pero y si tras décadas de frustración, los científicos estuvieran en el camino de poder desarrollar terapias potencialmente eficaces?
Os lo cuento. Agradezco RT. Image
El sistema inmunitario es responsable de protegernos frente al ataque de patógenos externos. Pero tiene otra función igualmente importante: saber cuándo retirarse. Si las células inmunitarias ven a nuestros tejidos como una amenaza, pueden dañarlos y provocar enfermedades. Image
El cuerpo tiene un sistema de respaldo, un mecanismo conocido como tolerancia periférica. Este sistema elimina o desactiva las células rebeldes, o las convierte en lo que se conoce como células T reguladoras, que suprimen la respuesta inmune impidiendo que otras células ataquen. Image
Read 7 tweets

Did Thread Reader help you today?

Support us! We are indie developers!


This site is made by just two indie developers on a laptop doing marketing, support and development! Read more about the story.

Become a Premium Member ($3/month or $30/year) and get exclusive features!

Become Premium

Don't want to be a Premium member but still want to support us?

Make a small donation by buying us coffee ($5) or help with server cost ($10)

Donate via Paypal

Or Donate anonymously using crypto!

Ethereum

0xfe58350B80634f60Fa6Dc149a72b4DFbc17D341E copy

Bitcoin

3ATGMxNzCUFzxpMCHL5sWSt4DVtS8UqXpi copy

Thank you for your support!

Follow Us!

:(