After my last post on the Penis being unable to touch the Cervix
Lot of men disputed it
saying they steadily touch the Cervix during sex
No one is an Island of knowledge

I took 24 hours to go through research papers, journal to understand better

Could they be right?
A thread
As earlier stated the cervix is the lower portion of the Uterus, usually it measures about 2-3 cm
The Vagina varies in length about roughly (7.6- 17.7 cm) (Intl Journal of O and G)

The length of vagina changes during Sex, childbirth, etc to receive or expel Penis or child, etc
During arousal the vagina elongates, lifting up the cervix adding a little distance
Average length during sex is 10cm to 20cm
According to a study by the Psychology of Men and Masculinity, 68 percent of Men have Penises of 11.7 to 15.2cm

16 percent have longer than 15.5 cm, and only 2.5 percent are over 17.5 cm

About 16% have it shorter than 11.43 inches with only 2.5% having it under 9.4cm
It is widely shown in pictures that the Erect penis makes a straight bulls eye for the vagina during sex, No

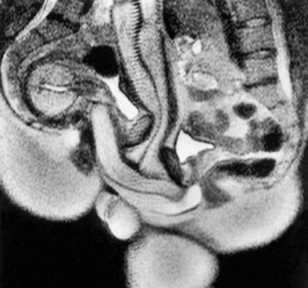
An MRI done in the earlier 20th century on couples having sex showed that the Penis actually curves likes a banana during sex when it is in the Vagina

Pic shown below
With all these facts. It will be safe to assume that Men can actually to get to the cervix giving the above stated ranges and facts

But this act of valour might only be able to be fulfilled by only 20 % of men

Note touch the cervix, not penetrate the Cervix
Note, every pain during sex called Dyspareunia doesn’t mean your cervix is being touched, other things can cause it

Other causes:

-Vaginal dryness
-Polyps
-Endometriosis
-Vaginismus(spasm)
-Infection
-Injury eg from childbirth, procedure

If you notice this please see a Doctor
Big thanks to Doctors Motoni @tonisunny35 Pelumi @tawosepj Andre @ChizzyAndre whose collegial discussions and explanations prompted the research and this thread

• • •

Missing some Tweet in this thread? You can try to force a refresh
 

Keep Current with The_bearded_Dr_Sina

The_bearded_Dr_Sina Profile picture

Stay in touch and get notified when new unrolls are available from this author!

Read all threads

This Thread may be Removed Anytime!

PDF

Twitter may remove this content at anytime! Save it as PDF for later use!

Try unrolling a thread yourself!

how to unroll video
  1. Follow @ThreadReaderApp to mention us!

  2. From a Twitter thread mention us with a keyword "unroll"
@threadreaderapp unroll

Practice here first or read more on our help page!

More from @the_beardedsina

22 Dec 20
Thanks for this

I won't support privatisation of healthcare,let's face it good Privatised systems in Nigeria are expensive &solely for the Elite

We have a dysfunctional govt, I'll push for functional govt where tertiary centers can be equipped, pay staff well & subsidize care
Another is to build and equip other health tiers

The primary health care system has collapsed.
What is uncomplicated malaria doing in a teaching hospital

Secondary system too is on verge of collapse

The referral system of healthcare isn't there again. It is all distorted
For example take the Lagos Island for example.

I can categorically beat my chest and tell you 98% of the private hospitals there that have state of the art equipments cannot be afforded by the masses only the elite

The remaining 2% are accessed when they do mission and outreach
Read 8 tweets

Did Thread Reader help you today?

Support us! We are indie developers!


This site is made by just two indie developers on a laptop doing marketing, support and development! Read more about the story.

Become a Premium Member ($3/month or $30/year) and get exclusive features!

Become Premium

Too expensive? Make a small donation by buying us coffee ($5) or help with server cost ($10)

Donate via Paypal Become our Patreon

Thank you for your support!

Follow Us on Twitter!