Excited for our upcoming Case of the Year Presentation by Drs. Hilary Zetlen and @tpeck_86, "Under Pressure: Trading One Problem for Another". Will be live-tweeting the case (to the best of my ability) below so you can follow along!
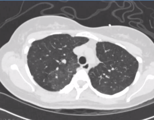
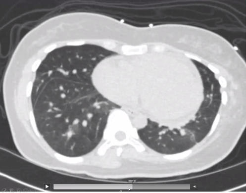
Lots of mosaic attenuation!
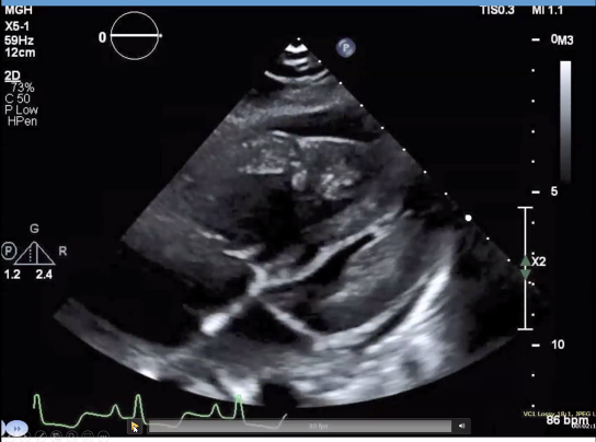
Undergoes a TTE at OSH, here's a still:
Both ventricles but RV in particular is hypertrophied and dilated, RVSP 91, + pericardial effusion.
Gets a VQ scan, suspicious for emboli!
Extensive serologic workup:
Von Willebrand's disease with CTEPH?
Undergoes a RHC as below and bilateral PAgram which shows normal vasculature - does NOT look like CTEPH! The plot thickens.
Thoughts? Differential diagnosis?
In summary: 36W with subacute worsening dyspnea on exertion, CT with mosaic attenuation, significant RV hypertrophy and dilation, VQ scan suspicious for CTEPH but PAgram negative, RHC with severe pre-capillary PH - mPA 90, PCWP 9, serology notable for slightly low vWF, weak + Scl
Differential diagnosis:
She's started on IV epo, sildenafil, ambrisentan. O2 requirement improves to 1-2L and is discharged on this triple therapy....but later returns.
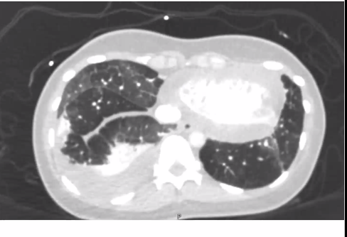
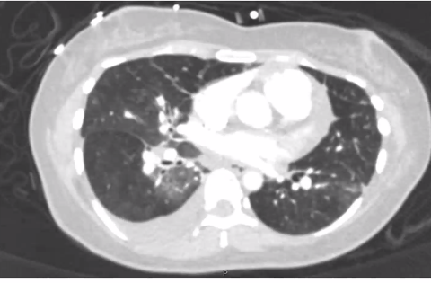
She goes to the ED and gets another CT... mosaicism is still there but now she has a new bilateral pleural effusions and interlobular septal thickening and atelectasis.
So both the plot, and the interlobular septa, have thickened.
Case is not over - but time to talk about PVOD!
Pathologically, PVOD may be on a spectrum with pulmonary capillary hemangiomatosis
Dr. Zetlen reviewing all things PVOD! Notes that the wedge pressure can be variable in PVOD.
Red arrows indicate the PVOD clinical predictors that were present in this patient!
PVOD prognosis is poor... Median survival was 3.5 years from diagnosis, compared to > 25 years in other pulmonary hypertension.
What can we do? Diurese, provide oxygen... and some evidence for immunosuppression and TKIs for some patients, refer for transplant.
Pulmonary vasodilators? This patient had the classis pulmonary edema response to vasodilators. Can they ever be tried? Dr. Zetlen says, yes - sometimes can be considered and helps for some patients, but pulmonary edema is extremely likely. Not all patients are the same!
So when do you send for transplant? @tpeck_86 is taking us through this. Our patient's Lung Allocation Score was 63. the 90th percentile is 51.9.
So a PA line is placed....
... and she is cannulated to VA ECMO
Wait... VA ECMO in PH? Yes, says Dr. Peck - with improved ECMO technology, pre-transplant has begun to improve mortality in the right patients.
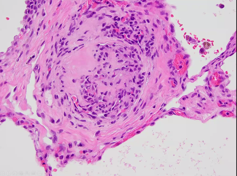
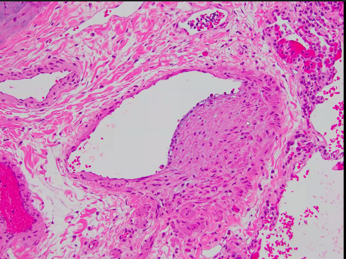
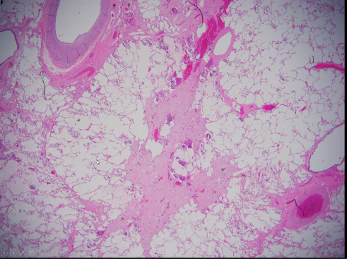
This of course means we now have pathology...Dr. Zetlen (with appreciation to our pathologist extraordinaire Dr. Lida Hariri) shows smooth muscle hypertrophy of pulmonary veins/venules, some completely occluded.
The arteries did not get away either.
Unfortunately post-transplant, the patient had hemorrhagic conversion of a known ischemic stroke, so was decannulated from VA ECMO on POD#4.
Post-decannulation, she went into high-grade shock. @RazYuval, both our ECMO and Lung Transplant expert, taking us through his approach to this emergency situation.
@RazYuval: Differential includes hemorrhage, sepsis, reperfusion injury, RV dysfunction or outflow obstruction given her severe RV disease, perioperative vasoplegia (out of window)
Back to the case: PA pressures as below, and TEE performed with concern for RV outflow tract obstruction
It's the fateful "suicide RV"
Some review of normal RV
But in this patient, given her R heart disease, ended up with post transplant RVOT obstruction from relative reduction in PA pressures!
What to do??
She actually got better with *less* pressors!
Should she have gotten a heart-lung transplant? May benefit some patients, but has its own host of issues to consider.
And... some good news: the RV can recover post transplant.
That's a wrap. Such an incredible case, thank you Dr. Zetlen and Dr. Peck (@tpeck_86)! They also wish to credit PH & ECMO doc extraordinaire @AWitkin, aforementioned pathologist extraordinaire Dr. Lida Hariri, and @harvardpulm Program Director extraordinaire Dr. Asha Anandaiah
Shout-out here to Dr. @ebrosenzweig and @ColumbiaMed @ColumbiaPS for their work on this
Whoops - seem to have accidentally started a new thread for the rest of the case. Case continues with the remainder of the HPI in image below, followed by CT scan here:

• • •

Missing some Tweet in this thread? You can try to force a refresh
 

Keep Current with Jonah Rubin, MD

Jonah Rubin, MD Profile picture

Stay in touch and get notified when new unrolls are available from this author!

Read all threads

This Thread may be Removed Anytime!

PDF

Twitter may remove this content at anytime! Save it as PDF for later use!

Try unrolling a thread yourself!

how to unroll video
  1. Follow @ThreadReaderApp to mention us!

  2. From a Twitter thread mention us with a keyword "unroll"
@threadreaderapp unroll

Practice here first or read more on our help page!

More from @JonahRubinMD

23 Oct 20
Can blood transfusions increase an O2 sat from 80 to 87%?

YES! When the patient is on ECMO😆! (Or has a shunt…)

Buckle up for a hopefully understandable deep dive into some ECMO (/shunt) physiology with (⚠️warning) math and bad pictures.

🧵

#MedTwitter #MedStudentTwitter
First, to address the elephant and 44% who correctly say this is generally impossible: Normally, you *cannot* increase O2 sats by adding Hg, bc sats refer to the saturation of Hg. Adding Hg doesn’t enable the lungs to saturate the new Hg any more than all the Hg it had before.
But unlike "real"/"native" lungs (let’s assume they are completely non-functional here), which all the blood must pass thru, when a pt is on ECMO (an artificial or “membrane” lung), some blood goes through the ECMO circuit, but some blood doesn’t, and that’s where the fun begins.
Read 26 tweets

Did Thread Reader help you today?

Support us! We are indie developers!


This site is made by just two indie developers on a laptop doing marketing, support and development! Read more about the story.

Become a Premium Member ($3/month or $30/year) and get exclusive features!

Become Premium

Too expensive? Make a small donation by buying us coffee ($5) or help with server cost ($10)

Donate via Paypal Become our Patreon

Thank you for your support!

Follow Us on Twitter!