Thromboembolic disease has defined the last year for our practice. #COVID has given us the time and unfortunately the patients to refine our interventional strategies. I get asked from time to time to describe the steps involved in a basic #PE case. So here goes....(thread)
(I'll cover concepts in patient selection another time). This illustrative case is a mid 50-s male with acute onset dyspnea 3 weeks after testing positive for #COVID19. No syncope, no pertinent medical history. OSa in the low 80s on RA. HR 115. RV:LV Ratio ~1.5 #iRad (1/ )
CTA shows bilateral, predominantly lobar distribution PE. Probably a small evolving infarct in the left lower lobe. (2/ )
As for catheter selection, T24Flex is my go-to choice, with only a few uncommon exceptions. I've found T24 cases are quicker, with larger vol clot extraction, Flex tracks super well, and still allows coaxial T20 Curve access for stubborn LLL disease #iRad #cardiotwitter (3/ )
I start the case with US-guided right CFV access, place a micro puncture and take an liliocavagram. Why? Habit I guess... also think that it's probably wise to check a vessel every time before you advance something 20-24Fr. Next I start small with a 6Fr 10cm sheath. (4/ )
From there I advance the angled pigtail into the main PA and measure pressure. In this case was 64/33 mmHg. I do a PA-gram but its a hand injection and only to confirm where I am before measuring. I use CTA info and try to approach the thrombectomy similarly for all cases (5/ )
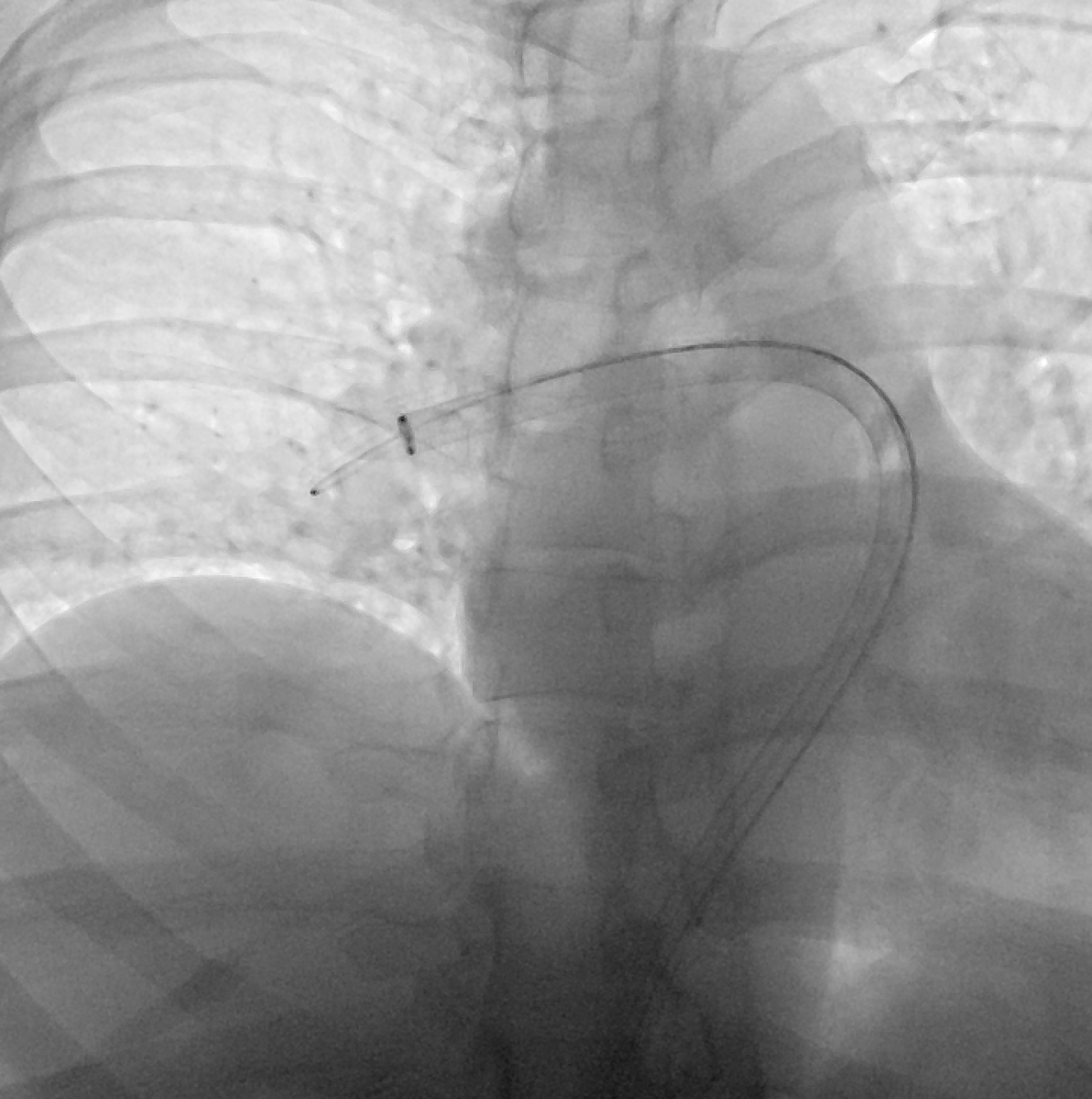
Next, I take the angled pig into the RLL PA (Cordis 6Fr 110cm). I take another hand injection to confirm location of my catheter. I then *important* remove the catheter over the 1cm floppy, exchange-length amplatz taking care to maintain the distal wire knuckle (6/ )
The wire knuckle is key, as it allows you to place a little forward tension on your thrombectomy catheter as you advance it from main PA to the RLL PA. Now, I remove the 6Fr sheath, place the 24 Fr Dryseal and advance my T24 flex into the RLL pulmonary artery. (7/ )
I make at least two aspirations in the RLL, more if needed to remove the expected volume of clot I see on CTA. Then slowly retract under fluoro until you see/feel engagement of the truncus anterior (8/ )
From there, I take a right PA-gram through the T24 by loading ~15cc of contrast into the catheter and flushing it under DSA (6frames/sec) with a 20cc syringe of saline. This lets me check my work in the RLL and visualize clot in the RUL (9/ )
Angiogram show a large volume of RUL clot. Here ill often retract the wire from the RLL and CAREFULLY advance into the truncus. The angles help from from RLL to RUL. Then put a little forward tension on the T24 to engage the truncus and aspirate 1-2 times (10/ )
I should stress that this is a move that requires a little finesse, and should be done carefully and only after the operator has done enough cases to have a feel for how the catheter reacts, so as to avoid an inadvertent wire or catheter injury (11/ )
Once the clot has been removed from the RUL, I like to confirm with a hand injection through the T24, using ~10cc contrast (again flushed by 20cc saline). This confirms restoration of flow without signiificant residual thrombus (12/ )
Next, I return the white obturator to the T24, which nearly always straightens the catheter out and causes it to retract into the main PA. I've found that 60-70% of the time the wire will advance directly from there to the LLL. I watch it by putting a little LAO on the II (13/ )
I carefully advance the T24 into the LLL, paying attention to the way the catheter feels, stopping with any resistance. Here I use the bronchial tree as a rough landmark. I remove the obturator and aspirate. Pull back a little and aspirate. Pull back into LUL and aspirate (14/ )
Next, retract into the main left PA and take an angiogram (15cc contrast, flushed with 20cc saline). This is a big decision fork: If it looks great, then I measure pressure and finish. If it looks bad I repeat and make another pass or 2. If I'm not sure I measure pressure (15/ )
LPA-gram much improved from CTA. Still a little clot distally in the LLL, but large vol clot removed and on the table. Here I measured pressure to help decide whether to take the curve or T16 into the distal LLL. Mean Pa pressure dropped 16mmHg. Hemodynamics normalized (16/ )
>10mmHg drop in mean PAP, normalization of hemodynamics, large vol clot out --> I ended the procedure. Thrombectomy is about being careful, not fast - BUT some patients will decline w prolonged catheter dwell time, so getting comfortable w a resonable end point is key (17/ )
After measuring pressure, I removed the sheath and used a FlowStasis device to seal. Total procedure time here was 26 mins. Catheter dwell time was 18 mins and fluoro time <10mins. Not the fastest time, nor is that ever the goal. Patient did well & discharged 36hrs later (18/ )
I hope this overview is maybe kinda helpful - Its the synthesis of our experience over the past couple years (when these cases all lasted >1hr😬). Not every case goes perfect, and there are roles for the other devices that I'd be happy to discuss separately! (end)
Main things I’ve found helpful: 1) Relying on CTA rather than a lot of angiograms to minimize contrast load 2) Approach in a standardized way - RLL-> RUL -> LLL -> LUL. 3) know when to finish

• • •

Missing some Tweet in this thread? You can try to force a refresh
 

Keep Current with Austin Bourgeois

Austin Bourgeois Profile picture

Stay in touch and get notified when new unrolls are available from this author!

Read all threads

This Thread may be Removed Anytime!

PDF

Twitter may remove this content at anytime! Save it as PDF for later use!

Try unrolling a thread yourself!

how to unroll video
  1. Follow @ThreadReaderApp to mention us!

  2. From a Twitter thread mention us with a keyword "unroll"
@threadreaderapp unroll

Practice here first or read more on our help page!

More from @AustinBourgeois

1 Jul 20
I’ve never done the #tipsfornewdocs thing…So here goes

If you’re like me, the transitions to residency and fellowship were much easier than into practice. I, like most #iRad s learned much more in the first few years in practice than all of training. Heres my summary: (thread)
(1/) It’s often difficult, but absolutely critical to solicit input from your colleagues, show them your cases, ask questions. Accept when your way isn’t the best. They've found success in the environment that you now work. Let their experience help your patients too #iRad
(2/) Focus on your passion: For me, taking care of cancer patients is all I’ve ever really wanted to do... Its super personal and important to me. I have found that success (referrals and good outcomes) comes easier when doing what you're most passionate about #iRad
Read 11 tweets

Did Thread Reader help you today?

Support us! We are indie developers!


This site is made by just two indie developers on a laptop doing marketing, support and development! Read more about the story.

Become a Premium Member ($3/month or $30/year) and get exclusive features!

Become Premium

Too expensive? Make a small donation by buying us coffee ($5) or help with server cost ($10)

Donate via Paypal Become our Patreon

Thank you for your support!

Follow Us on Twitter!

:(