A 48 year old male presented with submandibular swelling for 3 weeks.On examination the swelling was painless, solid, firm and immobile. Excision was performed. Hand E stained section of the tumour is shown below. What is your diagnosis? #pathtweetorial #pathboards #pathresidents Image
Options:
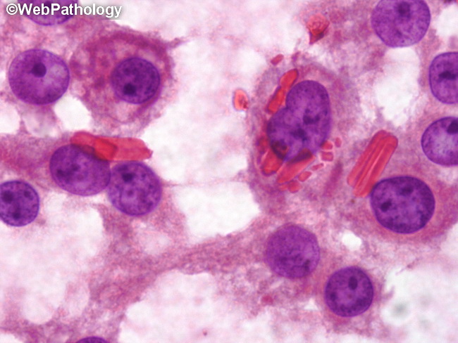
Answer is Acinic cell carcinoma -"acinic cells" (abundant finely vacuolated cytoplasm with basophilic granules, small nuclei with stippled chromatin), scattered "intercalcated duct type cells" (eosinophilic cytoplasm with moderate amount of cytoplasm and bland nuclei). Note the vacuolated acinic ...
Basophilic granules found in acinic cell carcinoma are PAS positive and Diastase resistant. Same pattern of staining can be observed in the granules of which other tumor?
Answer is Granular cell tumor
The granules are eosinophilic in granular cell tumor, PAS-positive and diastase resistant.
Ewings sarcoma has PAS-poitive material which is sensitive to diastase. Image
Last question on tumors with cytoplasmic granules and crystals.
Which tumor is likely to show cytoplasmic eosinophilic crystals (image) Image
Options:
Answer is Leydig cell tumor . Reinke's crystalloids (cytoplasmic eosinophilic crystals) are seen in about 30-40% of cases and appear as dense needle-like or rhomboid structures in the cytoplasm.
Mention some tumors with cytoplasmic granules.
Thanks .

• • •

Missing some Tweet in this thread? You can try to force a refresh
 

Keep Current with Pathology mcqs

Pathology mcqs Profile picture

Stay in touch and get notified when new unrolls are available from this author!

Read all threads

This Thread may be Removed Anytime!

PDF

Twitter may remove this content at anytime! Save it as PDF for later use!

Try unrolling a thread yourself!

how to unroll video
  1. Follow @ThreadReaderApp to mention us!

  2. From a Twitter thread mention us with a keyword "unroll"
@threadreaderapp unroll

Practice here first or read more on our help page!

More from @Pathology_mcqs

Nov 15
A 65 year old male presented with low urine output and bone pain. On further investigation serum creatinine was high and the patient had low hemoglobin. Bone marrow biopsy showed finding in the image. What is your diagnosis? #pathtwitter #pathtweetorial #pathresidents #pathboards Image
Options
Answer is multiple myeloma.
The image shows "INTRA-NUCLEAR INCLUSIONS" called "DUTCHER BODIES".
They are deposits of immunoglobulins. Intracytoplasmic immunoglobulin inclusions are called RUSSEL BODIES.
Seen in multiple myeloma, plasmacytoma, lymphoplasmacytic lymphoma (LPL). Image
Read 9 tweets
Nov 8
A 68-year old male presented with arthralgias and skin rashes. A complete blood count performed shows MCV of 80 fl and low platelet count. Peripheral smear and bone marrow images are shown. Which mutation is likely to be identified in this condition? #pathoboards #pathtweetorial
Options
VEXAS Syndrome- mutations identified in UBA1 gene.
Some key features (images)
Read 7 tweets
Nov 6
A 17-year old male presented with a breast lump . Gross and Microscopic images from the excised lump ( shown in the images). Identify the true statement? (Options in the comments) #pathology #PathTwitter #PathTwitterFamily #pathtweetorial #tweetorial #MedTwitter #pathboards ImageImageImage
Options:
Diagnosis is juvenile papilomatosis.
Observe "swiss-cheese appearance" in gross and microscopy.
Other conditions with Swiss cheese appearance Image
Read 7 tweets

Did Thread Reader help you today?

Support us! We are indie developers!


This site is made by just two indie developers on a laptop doing marketing, support and development! Read more about the story.

Become a Premium Member ($3/month or $30/year) and get exclusive features!

Become Premium

Don't want to be a Premium member but still want to support us?

Make a small donation by buying us coffee ($5) or help with server cost ($10)

Donate via Paypal

Or Donate anonymously using crypto!

Ethereum

0xfe58350B80634f60Fa6Dc149a72b4DFbc17D341E copy

Bitcoin

3ATGMxNzCUFzxpMCHL5sWSt4DVtS8UqXpi copy

Thank you for your support!

Follow Us on Twitter!

:(