Dawn Kuruvilla Profile picture
Dec 26, 2022 31 tweets 10 min read Read on X
Second story of today is of a middle aged poor man who was in a nearby big district hospital for 3 days and referred to a big city for treatment.
He came to us hearing we have a good set up and having no money to even travel to Varanasi BHU.
He was emaciated and breathing hard 😮‍💨.
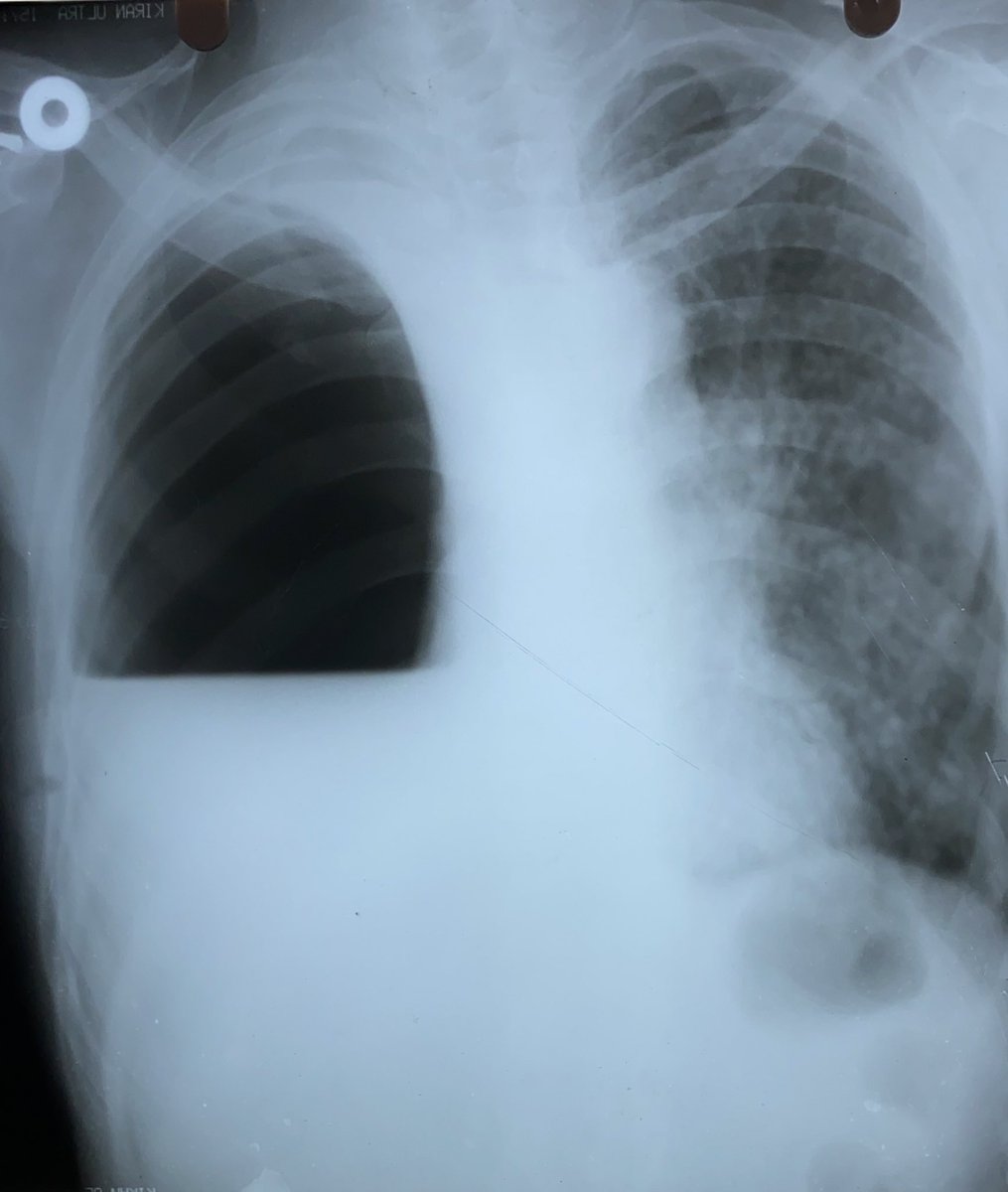
My 🩺 told me has a big pleural effusion and on asking history I was convinced he probably has TB with effusion.
His CXR showed this 👇 Image
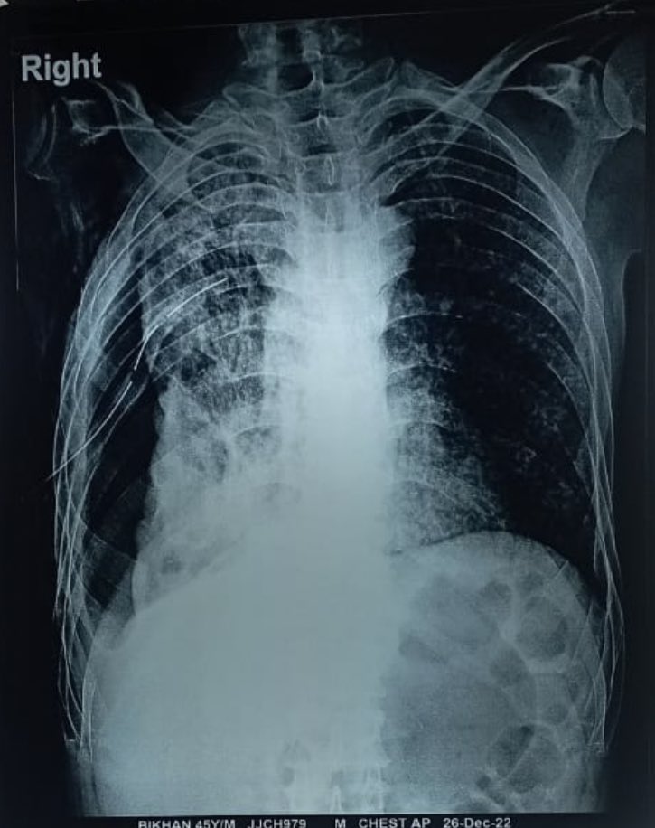
On probing and asking many times is when the poor relatives told me that they were driven away from the govt hospital without any treatment or diagnosis, after doing a 🩻 showing this Image
My smart surgeon friend was involved and he promptly put an ICD seeing the hydropneumothorax.

What came out was air, which bubbled under water but after a while when we connected the drain, it was 😲 Image
1 L of pus came and he felt better after ICD. Image
We can’t eliminate TB if we don’t take responsibility and do the needful.
It was quite 😔 to witness big govt hospitals shooing away patients with treatable illnesses like TB. ICD was life saving for this poor man and we were able to do the needful thanks to our training & team.
The lung has expanded now post ICD 🤗.
Waiting for sputum AFB tmrw morning to start ATT.
This is quite bad disease and right lung look half fibrosed 🫠 Image
* Final diagnosis: Chronic suppurative lung disease-Right lung Pyo-pneumothorax.

* Probable etiology: Mycobacterium Tuberculosis/Aneeobic bacteria.

* Ix: Sputum and Pus AFB/CBNNAT: negative
HIV: neg

* Rx: Emperical ATT+ Amoxycillin/Clavulonic acid
Image
Some of u remember this patient story, who had R sided empyema in whom we had started empirical ATT+Amoxycillin-clavulonic acid for MTB and anaerobic cover along with putting an ICD.

He was dischargd after a while for continuation of antibiotics waiting for clinical improvement
This poor man came back all 🤮 and not able to eat with a DILI prob due to the ATT/AmoxyClav we started 😥

His ALT/AST were in 200s and I stopped the meds due to the hepatitis.

On repeating 🩻 it was even 😞 with poor 🫁 expansion and the drain still showing dark pus🫢 Image
We decided to explore the Dx aggressively 👊(as cultures from the pus couldn’t be sent last time due to resource constraints) this time and my surgeon friend came to the rescue to aspirate pus.

We got good amount of pus and sent to a local pvt lab for bacterial/TB cultures. Image
You can do all the gimmicks u want 🕺with the best intentions by making fantastic efforts 🦾, but without a confirming microbiological dx 🫵🏽 you’re never sure if you’re hitting the right target 🎯

I learned it the hard way 🥴 Image
We gave him symptomatic Rx for his nausea and dyspepsia + gave an antibiotic break.
He slowly recovered and we waited patiently for the culture 🤞

In the meantime, we learned a lot abt how to improve ICD working to optimise lung expansion and reduce the alveolo-pleural fistula. Courtesy: Dr Barney Issac, ...
He had developed alveolopleural fistula probably iatrogenically-can occur after thoracentesis or chest tube insertion (ie, pleural drainage procedure) or due to the necrotising lung infection.

He had bubbling of the fluid in the drain bottle during forced expiration (grade 1)😮‍💨 ImageImage
We also did a crossectional imaging to rule out malignancy or endobronchial lesions and other parenchyma path.

CT ruled out cancer looking lesions but showed miliary pattern in the left 🫁 along with a thick walled R middle lobe cavity with a communication to the pleural space. Image
Military TB can be notoriously sputum negative, as in this case.

But he showed no improvement with ATT and even the pus which is supposed to teem with AFB was negative 3 times on CBNAAT.

If the empyema is due to TB, both sputum and pleural fluid should be CBNAAT ➕
Tuberculous effusions r different from tuberculous empyema

TB empyema is due to a caseous focus in the 🫁 rupturing into the pleural space-via a broncho-pleural fistula

Effusions r due to a hypersensitivity reaction of the pleura

This explains the diff in bacterological yield
Air along with pus indicates rupture of subpleural tuberculous caseous focus.

Not only CBNAAT positivity, it will also be AFB positive as the empyema will be teeming with TB bacilli.

pubmed.ncbi.nlm.nih.gov/10197400/#:~:t….
Another 🙇 point:
Whenever you place/manage an ICD, always ensure that it has a vent open (in chest tube bottle system or bag like romodrain) to the atmosphere or connected to suction.

This is particularly important while dealing with a pneumothorax or hydro/pyopneumothorax. This shud be open ↪️
While all this was happening, the bacterial culture on the pus came and gave us all a ⚡️🧐

He had grown CRO Klebsiella pneumoniae, yes, the notorious one 🔴

Now I didn’t know how to proceed with such an antibiogram 🤯

I heard of hypervirulent KP in hepatic abscess, but this ⚠️ Image
On reading up on Empyema after the bacteriological dx, Mr KP showed me it’s real face. This fellow is bad, like killer bad 🚷

Klebsiella Empyema is described as old as 1960s Image
In 👆 case series, all presented with diff probs of management, and their convalescence was unduly protracted, due in two instances to an accompanying BPF.

Though Klebsiella causes a small % of pneumonias, 50% had abscesses and of these 1/3rd developed empyema 🔥
There are also 2 large case series from Taiwan on thoracic empyema from 2 decades and both showed similar findings.

K pneumoniae was the most frequently isolated sole pathogen in this study.
About 44% of the patients with Klebsiella empyema had diabetes mellitus. ImageImage
But our pt had no DM/HIV
On 🙇 further, we got the prob reason why he got this tough 🦠

It’s been reported-K.pneumonia and empyema may occur in alcoholic 💁‍♂️ with multiple host-defense defects that impair the containment of or the perception of disease until it is well-advanced. Lin, Y.-T., Chen, T.-L., Si...
Our patient was a daily consumer of alcohol🍾
He worked hard and drank local toddy 🍶

Here’s ⬇️ another sad story of a local toddy abuser.
There’s no time to dwell in the past or feel hopeless at the bad situation 😩, it’s time for action and work 🏋️ towards healing.

The story may not have a great ending but the battles need to be fought 🤺as the enemy lines have been now delineated. Image
Now to the plan on management and the road ahead for planning treatment.

When I consulted my professor in CMC Vellore with this patient and the 🦠 causing such a bad empyema, his straight answer was-“He needs a thoracotomy”
Now that’s a big 🔪
Antibiotics alone unlikely to benefit.

⏫️ Resistance + inadequate source control ⏸️

As we are planning antibiotic therapy and surgery, I welcome comments and inputs from #IDtwitter #MedTwitter Image
@threadreaderapp unroll pls

• • •

Missing some Tweet in this thread? You can try to force a refresh
 

Keep Current with Dawn Kuruvilla

Dawn Kuruvilla Profile picture

Stay in touch and get notified when new unrolls are available from this author!

Read all threads

This Thread may be Removed Anytime!

PDF

Twitter may remove this content at anytime! Save it as PDF for later use!

Try unrolling a thread yourself!

how to unroll video
  1. Follow @ThreadReaderApp to mention us!

  2. From a Twitter thread mention us with a keyword "unroll"
@threadreaderapp unroll

Practice here first or read more on our help page!

More from @dawnkuruvilla04

Feb 23, 2025
Struck by the stark reality of the death of 42 boys 😣in the aftermath of their taunting Elisha-the newly anointed prophet of God in 2Kings 2
Add this to the fact that I was reading this to my 6yr old son before taking him to Sunday School where his tutor told this tale last week Image
How will I soften this narrative to help him understand that ours is a God of love & His prophets are messengers of mercy? Or is it ??!

Isn’t these gruesome details of violence & murder smtg i shud protect my tender son from? Or shud I ??!

Should I shield him from the Bible ?
Is all Scripture breathed out by God and profitable — or only some (2 Timothy 3:16–17)?

Did I really believe that the whole Bible(even the “inappropriate parts” and “uncomfortable” tales) is written for our instruction and encouragement ? Image
Read 14 tweets
Mar 22, 2024
Sharing with y'all an interestg experience I’d in my mission hosp🏥

It all startd with me getting a📞 from my opthal frnd, when I was abt to finish my clinic and head back home for Holi weekend 🎭

She wantd me to see a young man with cataract but with some systemic complaints
She told me it’s a young chap who has been complaining of fever 🤒 for a couple of months and has plenty of 🩸 reports in his hand from many hospitals

She said its unusual that the guy developed cataract 👁️ so early

She wanted me, the physician to have a look 🧐 and figure
The guy came with his sister👇

from the look of him i thought he’s def sick as he was puffy+bloated🫃

But as i spoke with him the story unfolded really strangely 😐

And I’m glad I listend to his complaints after refusing his sister’s attempts to show me the blood reports 📃 Images shared with patient permission
Read 20 tweets
Nov 17, 2023
In the eve of National epilepsy day🟣celebrated on Nov17, my heart goes out to the few precious young lives I’ve had the privilege to manage with seizure disorder 🥹

I think epilepsy is a great suffering in 🇮🇳 & as a parent I can’t imagine the pain of taking ur child thru this
Most of my epilepsy patients have been young & mostly girls in their teens 👧
It was Cassidy Megan-an 8yr old from Canada who started the purple wave of epilepsy awareness in 2008.
She chose purple to raise awareness and to let people with epilepsy know that they are not alone Image
As a father to a newborn daughter 👼 who’s presence in my 🏡 has given me a new resolve to protect and serve, I can feel the agony of the parents who in the same night 2 days back brought to our mission hospital 🏥 2 teenage girls with status epilepticus in unconscious state
Read 20 tweets
Apr 23, 2023
In the era of giving more voice to women 🔉and greater honour 🎖️to ladies, I bring you a sad tale of neglect and poor care 😰to this beautiful lady 🧕who allowed me to share her story of suffering and our mission 🏥 ‘s attempt at giving her some solace and relief ❤️‍🩹
She came to me holding her 👵 who works as a maid 🧹 in a nearby village

👀 bulged out,neck pulsating with a evident thyroid mass & head covered with her dupatta hiding her sparse hair 🧕she had a pounding 💓 beating at 140/min🥺

She told me reluctantly that she has…
.. not had her cycles for 4 months 😥
She wasn’t married

But that was only the beginning of many maladies this poor soul was suffering for the past 2 years or more 😢

She said her sisters will complain that her entire body is shaking while 😴 and hence refuse to share the 🛌
Read 19 tweets
Apr 15, 2023
How my half day work ✂️ on a Saturday is progressing…😄

1. Young lady with 🫀 disease referred by ENT doc with epistaxis 👃 ImageImageImage
Pounding heart 💓 with loud P2 & PSM at the lower left sternal area

I got the mother and she said since 6 months she is blue 🔵

Centralcyanosis➕Clubbing➕VSD➕PulmHTN
There was Hx of recurrent LRTIs in childhood. Image
I sent her 🏠 to get old records 🔖 and our suspicion of cyanotic CHD with incd 🫁 blood flow due to TOGV was right 🫵🏽 Image
Read 16 tweets
Mar 24, 2023
My experiences on the challenges and hopeful aspects of tackling TB in a rural secondary 🏥 on 🌎 TB day.

I see TB Rx not detached from overall well-being of a patient 🔄 and unless ground level realities of poverty, malnutrition & easy access to healthcare is made possible…
..the theme of this year’s campaign- 'Yes! We can end TB!' won’t bear fruit 🍎

Structural changes shud happen in the way people with TB live and survive in this hard world.
They need wholesome 🥘, ventilated 🏠 and easy access to 🏥facility
I recently had a 30 yr old mother of 2 come to me with an episode of hemoptysis, all 😟 and 😱

On digging more, she has been coughing for 1 month and had been told to have typhoid for her fever in Jan and Feb 😏

There wasn’t much on auscn & PhysicalEx
I ordered a 🩻,CBC,ESR
Read 24 tweets

Did Thread Reader help you today?

Support us! We are indie developers!


This site is made by just two indie developers on a laptop doing marketing, support and development! Read more about the story.

Become a Premium Member ($3/month or $30/year) and get exclusive features!

Become Premium

Don't want to be a Premium member but still want to support us?

Make a small donation by buying us coffee ($5) or help with server cost ($10)

Donate via Paypal

Or Donate anonymously using crypto!

Ethereum

0xfe58350B80634f60Fa6Dc149a72b4DFbc17D341E copy

Bitcoin

3ATGMxNzCUFzxpMCHL5sWSt4DVtS8UqXpi copy

Thank you for your support!

Follow Us!

:(