Nico Gagelmann Profile picture
Apr 22 16 tweets 7 min read Twitter logo Read on Twitter
Veno-occlusive disease (VOD) is one of the worst and a potentially life-threatening complication that can occur after blood or marrow transplantation (BMT).

What is it and how do we manage this?

A 🧵for #MedTwitter trainees in preparation for #EBMT23 ♥️
1/15 Image
VOD:
-clinical syndrome which can occur after BMTand, less commonly, after chemo, toxic alkaloids, high doses of radiotherapy, or liver transplant
-incidence varies from 2-60% because of different setting, application of different diagnostic criteria and BMT procedures
2/15 Image
Clinic:
-rapid weight gain, often unresponsive to diuretics, hyperbilirubinemia, painful hepatomegaly, & ascites
-within 21 days after BMT
-late-onset VOD a distinct feature, occurring in 39.3% and 16.7%, respectively, in the adult and pediatric setting
-@TheEBMT criteria👇
3/15 Image
A challenge called VOD!
-high mortality
-multiorgan disease, involving 🫁 + 🫘 function👉dismal outcome
-constrictive pericarditis, different ascites, drug-induced cholestasis and liver injury , sepsis etc make real-life differential diagnosis a true challenge or pitfall
4/15 Image
Pathophysiology:
-liver sinusoidal endothelium injury👉loss of cell cohesions👉gaps in endothelial barrier👉RBC pass through👉accumulate in Disse space👉embolization👉postsinusoidal obstruction
-cell detachment~nitric oxide deficiency👉matrix metalloproteinase 9
5/15 Image
Outcome:
-mortality rates can reach up to 80% in the severe forms
Risk factors:
-liver and lung disease
-preparative regimen for BMT
-graft source
-GVHD prophylaxis (sirolimus, cyclophosphamide, MTX with busulfan)
-monoclonal antibodies conjugated with calicheamicin (GO)
6/15 Image
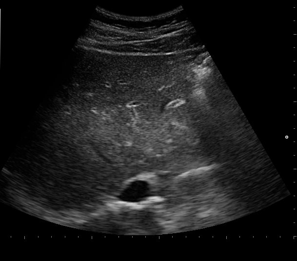
Evaluation:
-clinic and lab work up including hemostasis parameters
-ultrasound!!!👉abnormal portal vein waveform, marked thickening of the gallbladder wall, and a hepatic artery resistance index >0.75
-liver biopsy (transjugular)
7/15 Image
Pathology:
-dilated sinusoids, congested by erythrocytes and nonthrombotic fibrous occlusion of the central veins and small venules
-severe cases: widespread zonal liver disruption and centrilobular hemorrhagic necrosis
-collagen, sclerosis, fibrosis of venular lumens
8/15 Image
Treatment:
-by severity
-mild/moderate👉supportive care measures alone but MUST be monitored (maintain euvolumina, avoid hepatotoxic agents, paracentesis)
-severe👉defibrotide
9/15 Image
Defibrotide:
-sodium salt of single-stranded oligodeoxyribonucleotides derived from DNA of porcine intestinal mucosa
-mechanism unclear
-inhibit the activation of endothelial cells, reduce inflammation and oxidative stress, and enhance the production of nitric oxide
10/15 Image
Defibrotide administration:
-6.25 mg/kg every 6 hours IV for ≥21 days, until resolution or hospital discharge, maximum of 60 days
-discontinue ≥2 hours prior to invasive procedures and can be resumed
-check Hb/platelets frequently during treatment (PLT target best >30k)
11/15 Image
Defibrotide outcome:
-multicenter study of children and adults compared with 32 historical control patients👉defibrotide with superior day +100 survival (38 versus 25%) and day +100
-fatal hemorrhagic events were reported in 15% of defibrotide versus 6% of controls
12/15 Image
Prophylaxis:
-for adults, ursodeoxycholic acid can be considered from conditioning rather than no prophylaxis👉naturally-occurring hydrophilic bile acid👉reducing hydrophobicity of other naturally-occurring bile acids
-NOT defibrotide, as shown again recently @TheLancetHaem
13/15 Image
Refractory VOD:
No pharmacologic agent has proven benefit for patients with severe hepatic SOS who do not respond adequately to ≥3 weeks of defibrotide treatment.
Consider:
-TIPS (also in acute disease)
-methylprednisolone
-liver transplant
14/15 Image
Summary of VOD:
❗️life-threatening, high mortality
❗️~15% of adults after BMT
❗️careful monitoring required to make diagnosis
❗️prompt treatment needed
❗️supportive care for mild/moderate
❗️defibrotide for severe
❗️TIPS for acute or refractory disease
❗️UDCA only prophylaxis
Fin.

• • •

Missing some Tweet in this thread? You can try to force a refresh
 

Keep Current with Nico Gagelmann

Nico Gagelmann Profile picture

Stay in touch and get notified when new unrolls are available from this author!

Read all threads

This Thread may be Removed Anytime!

PDF

Twitter may remove this content at anytime! Save it as PDF for later use!

Try unrolling a thread yourself!

how to unroll video
  1. Follow @ThreadReaderApp to mention us!

  2. From a Twitter thread mention us with a keyword "unroll"
@threadreaderapp unroll

Practice here first or read more on our help page!

More from @NicoGagelmann

Apr 13
The history of methotrexate began 75 years ago.

A short 🧵 on its history and pivotal moments, covering key trials to show realignment of #hematology #rheumatology, disciplines that belong to each other♥️

#MedTwitter Image
In the early 1940s, folic acid was isolated and found to cure some patients with megaloblastic anemia, not responding to vitamin B 12.
Also, patients with acute leukemia were treated with folic acid or folate conjugates (polyglutamated forms of folic acid)
👉proved ineffective:( Image
The subsequent demonstration by Heinle and Welch that a diet-induced deficiency of folic acid caused a decrease in the leukemia cell count, stimulated efforts, primarily by the Lederle group, to synthesize analogs of folic acid.
Overview of isolation and synthesis of folates👇 Image
Read 15 tweets
Mar 17
10 rules for life of a medical resident.

#1: Be truthful.
Become the doctor you yourself want to be treated by. Act the way you want to be treated yourself.

1/10
#MedTwitter Image
#2: Stay organized.
With a busy schedule and multiple responsibilities, it's important to have a system in place to keep track of everything. Use a planner or calendar to help you stay on top of deadlines, meetings, and patient care.
#3: Learn from mistakes.
You'll make mistakes as a resident, but it's important to view them as opportunities to learn and grow. Reflect on what went wrong and what you could do differently in the future.
Read 10 tweets
Mar 14
Death is an inevitable part of life, I knew that since childhood. As a young doctor, I have seen it up close already more often than I could have imagined. However, only the recent death in my closest family made me realize some things in life and medicine. 1/11
In medical school, we learn about the importance of preserving life and prolonging it as much as possible. But what does that mean: "quantity" of life? "Quality" of life? What is that, really? We wanna measure everything, but this degrades what's way too multidimensional. 2/11
It's not easy to talk about death and dying with patients and their families, but it's a conversation that needs to happen. We need to be honest and compassionate in our approach and work with our patients to make sure that they and we know what's coming. 3/11
Read 11 tweets
Jan 3
Chemotherapy-induced nausea & vomiting (CINV)
👉very distressing side effect among patients
👉antiemetics as top advances in modern oncology
👉different reality & perception of patients and physicians

Where are we?

A short🧵 & happy to receive your experience

#MedTwitter
1/
History:
-chemo treatment began post WWII👉emetogenic nitrogen mustard used for lymphoma
-development of alkylating agents, eg chlorambucil & cyclophosphamide
-glucocorticoids, methotrexate, thiopurines
-1957, 5-fluorouracil: 1st showing remarkable activity in solid tumors
2/
Cause:
-wide range of targeted and cytotoxic agents
👉divided into 4 categories for emetic risk (seen in % of patients):
4-high (≥90%)
3-moderate (30-90%)
2-low (10-30%)
1-minimal (≤10%)
👉categories have limitations, underestimates combinations & acute vs delayed emesis
Read 15 tweets
Dec 28, 2022
Chimeric antigen receptor (CAR) T-cells have changed treatment avenues in #hematology, providing new hope for patients.

Its road started quite recently, with highs and lows; and it remains a very complex and expensive treatment.

A short 🧵about its history.

#MedTwitter
1/
CAR-background I:
-designer proteins that redirect T-cells👉antigen on tumor cells
-4 essential components: extracellular antigen recognition domain, hinge or spacer moiety, transmembrane domain, and intracellular signaling domains
-4 generations so far and still evolving
2/
CAR-background II:
-extracellular target-binding site is most important factor👉 lock and key for target antigen
specificity
-against a well-documented target on tumor cell surface
-appropriate antigen most crucial component for CAR T-cell activity👉across cancers (selected👇)
Read 22 tweets
Dec 27, 2022
Whatever we do in medicine has a history.

Hematologists take a sample from the bone marrow (BM) every day. But where do we come from?

A short history 🧵 about BM biopsy.

#MedTwitter #hematology #pathology
1/
Trepanning:
-oldest known procedure carried out on mankind
-8-10k years old skulls with evidence of medical intervention (found in 🇪🇺, Africa, Asia, New Guinea, Tahiti, New Zealand)
-for headaches, mentalities
-many "patients" survived (evidence of healing of their bones)
2/
Celsus (c. 25 BC - c. 50 AD):
-described "trephination"
-recommended it for removal of damaged cranial bones and as a therapeutic measure for relieving headaches
-with a specialized instrument, a surgical modiolus or crown trephine
-encyclopedia "De medicina" before 47 CE
Read 19 tweets

Did Thread Reader help you today?

Support us! We are indie developers!


This site is made by just two indie developers on a laptop doing marketing, support and development! Read more about the story.

Become a Premium Member ($3/month or $30/year) and get exclusive features!

Become Premium

Don't want to be a Premium member but still want to support us?

Make a small donation by buying us coffee ($5) or help with server cost ($10)

Donate via Paypal

Or Donate anonymously using crypto!

Ethereum

0xfe58350B80634f60Fa6Dc149a72b4DFbc17D341E copy

Bitcoin

3ATGMxNzCUFzxpMCHL5sWSt4DVtS8UqXpi copy

Thank you for your support!

Follow Us on Twitter!

:(