Flame Cells: These are plasma cells with vermillion-staining glycogen-rich overstuffed fibrils. Although these cytoplasmic features are suggestive of neoplastic plasma cells, can also be found in reactive cells. imagebank.hematology.org/image/3230/fla… #mmsm #myeloma #MedTwitter #USMIRC #MedEd ImageImage
Mott cell is a plasma cell characterized by an accumulation of multiple Russell bodies, globular cytoplasmic inclusions composed of immunoglobulin imagebank.hematology.org/image/61837/mo… #mmsm #myeloma #MedTwitter #MedEd #USMIRC ImageImage
Russell bodies are cytoplasmic inclusions filled with immunoglobulins imagebank.hematology.org/image/4192/rus… #mmsm #myeloma #MedTwitter #MedEd #USMIRC ImageImage
Dutcher bodies (arrow) are intranuclear inclusions found in plasma cells. imagebank.hematology.org/image/1073/dut… #mmsm #myeloma #MedTwitter #MedEd #USMIRC ImageImage
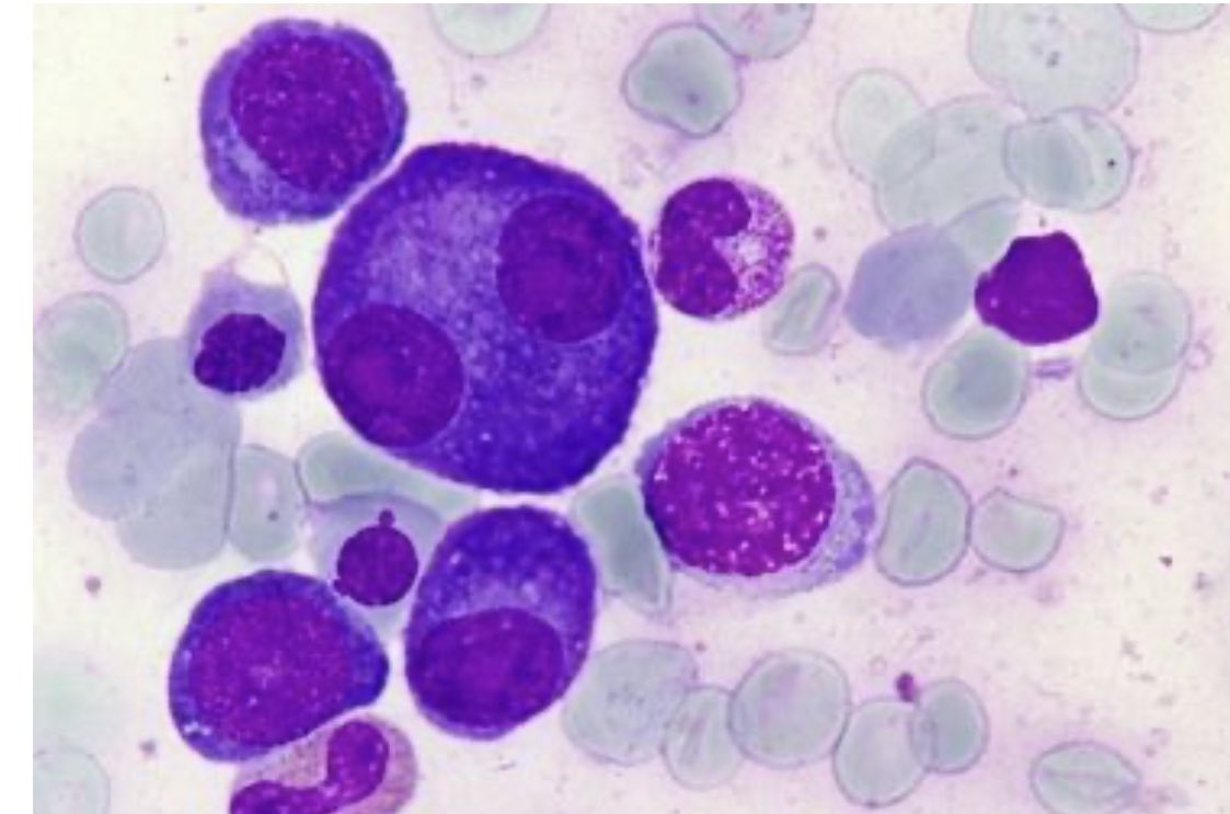
inclusion bodies in plasma cells have been repeatedly reported, mainly concentrated in the Auer rod-like inclusions link.springer.com/article/10.100… #mmsm #myeloma #MedTwitter #MedEd #USMIRC ImageImage
Image

• • •

Missing some Tweet in this thread? You can try to force a refresh
 

Keep Current with Al-Ola A Abdallah MD (USMIRC)

Al-Ola A Abdallah MD (USMIRC) Profile picture

Stay in touch and get notified when new unrolls are available from this author!

Read all threads

This Thread may be Removed Anytime!

PDF

Twitter may remove this content at anytime! Save it as PDF for later use!

Try unrolling a thread yourself!

how to unroll video
  1. Follow @ThreadReaderApp to mention us!

  2. From a Twitter thread mention us with a keyword "unroll"
@threadreaderapp unroll

Practice here first or read more on our help page!

Did Thread Reader help you today?

Support us! We are indie developers!


This site is made by just two indie developers on a laptop doing marketing, support and development! Read more about the story.

Become a Premium Member ($3/month or $30/year) and get exclusive features!

Become Premium

Don't want to be a Premium member but still want to support us?

Make a small donation by buying us coffee ($5) or help with server cost ($10)

Donate via Paypal

Or Donate anonymously using crypto!

Ethereum

0xfe58350B80634f60Fa6Dc149a72b4DFbc17D341E copy

Bitcoin

3ATGMxNzCUFzxpMCHL5sWSt4DVtS8UqXpi copy

Thank you for your support!

Follow Us on Twitter!

:(