Dr. Carlos Chaccour πŸ¦ŸπŸ”šπŸ’Š Profile picture
Apr 4, 2020 β€’ 16 tweets β€’ 6 min read β€’ Read on X
I have been working with #ivermectin for more than 10 years.

We need to talk about ivermectin and #COVID19

Thread πŸ‘‡
#SARS_COV_2 is a positive single-stranded RNA virus

Ivermectin inhibits in vitro the replication of several positive single-stranded RNA viruses such as:
- Dengue
- Zika
- Chikungunya
- Yellow Fever
The new in vitro data from Caly et al. Show 50% inhibition of #SARS_COV_2 replication after incubating VERO cells with 2.8 uM for 2 days.

How much is 2.8 uM Carlos?

That is a good question.

sciencedirect.com/science/articl…
2.8 uM is the equivalent of a plasma concentration of 2100 ng/ml.

Lets put that into perspective.

The ivermectin dose used for river blindness is 200 mcg/kg. That is one tablet of 3 mg for every 15 kg of weight.

malariajournal.biomedcentral.com/articles/10.11…
The maximum plasma concentration reached with that dose is around 40 ng/ml.

That is 50-fold less that the concentration proven to cut viral replication in half.

There is however hope. Prove antiviral activity opens the door to carefully conducted and controlled trials.
Now, if you are considering using ivermectin on a compassionate basis you must know this:

Ivermectin can cross react with GABA-gated chlorine channels in the CNS and cause neurotoxicity. This is normally prevented by the blood bran barrier (BBB), particularly by the P-gp.
If you do not have a fully functional BBB ivermectin may not be the safe drug it usually is.

Now, hyperimflammatory states, such as the one caused by #COVID19 make the BBB leaky.

I would be careful to use ivermectin in severely ill patients with proven efficacy.
Additionally, please be careful with drug-drug interactions.

Many #COVID19 patients are receiving Lopinavir/Ritonavir.
Rito is a very good CYP3A4 inhibitor with some effect on the P-gp as well.

It can boost ivermectin increasing Cmax and potentially penetration on the CNS.

nature.com/articles/s4159…
The new direct effects on the virus reported by Caly and colleagues are very god news!

I understand the urgency. There is reason for hope!

But this required careful planning.

Some trials have already been proposed in the last few weeks.

Watch this space.
*Without* proven efficacy...
*very goOd
*this requireS
For those asking conversion
a) The molecular weight of ivermectin is 875.1 g
b) 2.8 uM = 0.0000028 Molar/L

The g/L concentration is then a x b = 0.00245 g/L which equals 2450 ng/ml

The concentrations used in the paper are then:
2.5 uM = 2187 ng/ml
and
2.8 uM = 2450 ng/ml
Addendum

Please listen to the @US_FDA

"People should never take animal drugs, as the FDA has only evaluated their safety and effectiveness in the particular animal species for which they are labeled. These animal drugs can cause serious harm in people"

fda.gov/safety/medical…
Q&A on #Ivermectin and #COVIDー19 available from @US_FDA here:

Q: Should I take ivermectin to prevent or treat COVID-19?
A: No

Q: Is there an emergency use authorization for ivermectin in the U.S. to prevent or treat coronavirus or COVID-19?
A: No

fda.gov/animal-veterin…

β€’ β€’ β€’

Missing some Tweet in this thread? You can try to force a refresh
γ€€

Keep Current with Dr. Carlos Chaccour πŸ¦ŸπŸ”šπŸ’Š

Dr. Carlos Chaccour πŸ¦ŸπŸ”šπŸ’Š Profile picture

Stay in touch and get notified when new unrolls are available from this author!

Read all threads

This Thread may be Removed Anytime!

PDF

Twitter may remove this content at anytime! Save it as PDF for later use!

Try unrolling a thread yourself!

how to unroll video
  1. Follow @ThreadReaderApp to mention us!

  2. From a Twitter thread mention us with a keyword "unroll"
@threadreaderapp unroll

Practice here first or read more on our help page!

More from @Carlos_Chaccour

May 9, 2024
A thread on brain parasites that CANNOT be treated with ivermectin
🧡 https://link.springer.com/referenceworkentry/10.1007/978-1-4614-9610-6_405-1
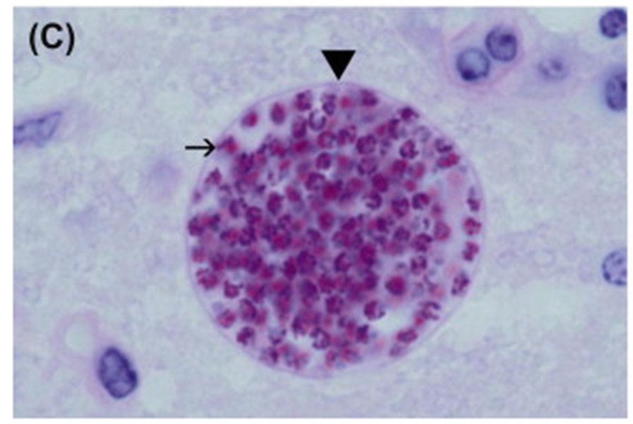
Here is an interesting one: Toxoplasma gondii
- Not a worm, a protozoan
- Transmitted among carnovorous
- Final host: cats
- Transmission: contact with cats faeces, eating raw meat, congenital
Image
https://www.sciencedirect.com/book/9780123964816/toxoplasma-gondii
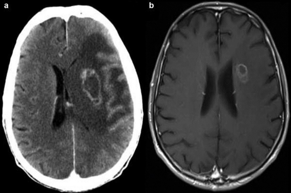
Inerestingly Toxoplasma is primarily a brain parasite that has been associated with numerous neuropsychiatric diseases including addiction schizophrenia and bipolar disorder
Images from @TrendsParasitol doi.org/10.1016/j.pt.2…

Image
Image
Read 10 tweets
Aug 18, 2020
From early on into the pandemic, I have received unsolicited advise about ivermectin and #COVID.

e.g. "I would like to add to your thinking before you start your trial"

Others ask why am I "opposed" to ivermectin? (spoiler alert 🚨I am NOT)

🧡THREADπŸ‘‡
isglobal.org/en/healthisglo…
2/16
I have been working with ivermectin since 2008. This includes animal models, insectary work and clinical trials.
Here is one of my earliest experiences with it. A girl with disseminate strongyloides in rural Venezuela.

Ivermectin saved her live.
nejm.org/doi/full/10.10… Image
3/16
My main interest in #ivermectin has been its capacity to kill malaria vectors. This could reduce transmission. A new way to fight malaria.

πŸ¦ŸπŸ”šπŸ’Š

In 2008, with help from @CMO_England, I conducted the first clinical trial to prove the concept:
academic.oup.com/jid/article/20… Image
Read 17 tweets
Apr 19, 2020
#Ivermectin and #COVID19

A thread of threads

Clinical trials registered πŸ‘©β€πŸ”¬πŸ‘¨β€βš•οΈπŸ’ŠπŸ’‰
Published papers πŸ“š
Pre-prints πŸ“ŠπŸ”¬πŸ”–πŸ§¬
News πŸ“°πŸ—žοΈπŸ†•
Grants πŸ’΅πŸ’΄πŸ“š

#IvermectinForCovid19

I will be posting all that I can find hereπŸ‘‡
Here is my original thread saying there is hope but rigor is needed.
I also warned about indiscriminate compassionate use and potential EA and DDIs

Read 6 tweets

Did Thread Reader help you today?

Support us! We are indie developers!


This site is made by just two indie developers on a laptop doing marketing, support and development! Read more about the story.

Become a Premium Member ($3/month or $30/year) and get exclusive features!

Become Premium

Don't want to be a Premium member but still want to support us?

Make a small donation by buying us coffee ($5) or help with server cost ($10)

Donate via Paypal

Or Donate anonymously using crypto!

Ethereum

0xfe58350B80634f60Fa6Dc149a72b4DFbc17D341E copy

Bitcoin

3ATGMxNzCUFzxpMCHL5sWSt4DVtS8UqXpi copy

Thank you for your support!

Follow Us!

:(