Menyerupai Pokok.

Epidermodysplasia verruciformis (EV) yang turut dikenali sebagai sindrom treeman, merupakan sejenis penyakit kulit keturunan autosom resesif yang sangat jarang berlaku. Penyakit tersebut turut dikaitkan dengan risiko kanser kulit yang tinggi.

A thread…
Sebelum dihuraikan topik ini dengan lebih mendalam, kena tahu serba sedikit tentang genetik, DNA dan kromosom.
Genetik secara umumnya berkait rapat dengan gen atau “maklumat” berkenaan sesuatu ciri atau sifat yang diwarisi daripada ibu bapa atau dipindahkan dari satu generasi, ke satu generasi yang seterusnya.
Gen tersebut terkandung di dalam DNA. Pernah dengar tak ungkapan “DNA is the blueprint of life”?

Jadi, dalam erti kata lain, DNA merupakan senarai arahan “how to” bagi tubuh badan untuk menghasilkan sel, protein dan sebagainya.
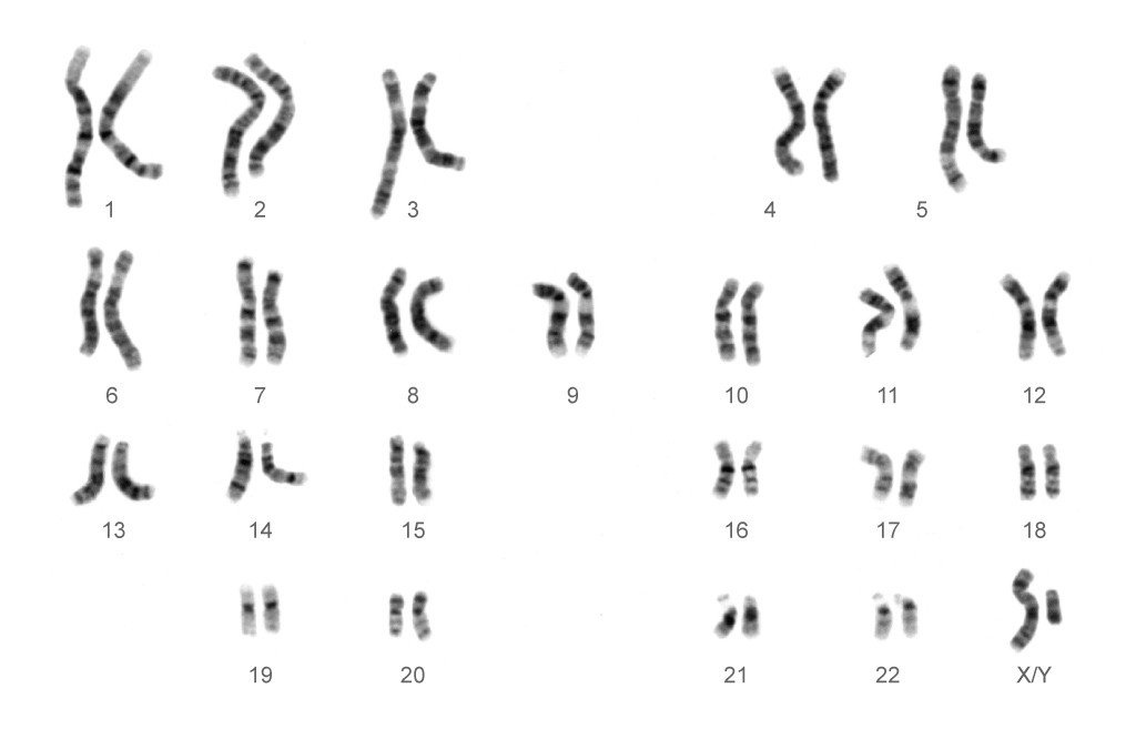
Seterusnya, adalah kromosom. Kromosom merupakan struktur di dalam nukleus setiap sel yang diperbuat daripada DNA yang dimampatkan.

Manusia mempunyai 46 kromosom yang diwarisi daripada ibu dan bapa, yakni 23 daripada ibu dan 23 daripada bapa.
Kromosom pula ada dua jenis, iaitu autosom dan alosom. Dalam jumlah 23 pasang kromosom tersebut, 22 pasang daripadanya adalah kromosom yang dikenali sebagai autosom, manakala 1 pasang adalah kromosom seks.
Apa itu autsosom? Ia merupakan jenis kromosom yang terdapat di dalam nukleus setiap satu sel tubuh, kecuali kromosom yang menentukan jantina sesuatu organisma yakni kromosom seks.
Kromosom seks pula adalah kromosom yang menentukan seks atau jantina sesuatu organisma. Terdapat dua jenis kromosom seks, iaitu kromosom X dan Y. Jika lelaki atau jantan, kromosom seksnya adalah XY, manakala perempuan atau betina XX.
Daripada huraian di atas, dapat difahami bahawa sekiranya terdapat mutasi, kehilangan, atau penambahan pada mana-mana kromosom (*baca maklumat gen) tersebut, tubuh badan tidak dapat berfungsi dengan baik (*baca berpenyakit). Nampak apa-apa yang aneh dekat sini?
Analogi mudah macam ni... sesebuah kilang mempunyai 25 langkah bagi menghasilkan sebuah kereta dengan tertib.

Tetapi, disebabkan kepincangan mesin (*baca mutasi dsb), langkah no.17 iaitu pemasangan enjin tidak dilaksanakan. Boleh ke kereta tu berfungsi? Sudah tentu la tak kan…
Berbalik kepada topik asal, Epidermodysplasia verruciformis (EV) merupakan penyakit kulit yang membuatkan seseorang individu atau penghidap penyakit ini sangat terdedah kepada jangkitan papilomavirus manusia atau human papillomavirus (HPV). Kredit: https://www.intechopen.com/books/the-transmission-el
Oleh sebab jangkitan daripada HPV tersebut, ketumbuhan dan ketuat keras menyerupai kulit kayu mula tumbuh secara tidak terkawal, terutamanya pada bahagian tangan dan kaki pesakit.
Walau bagaimanapun, perlu diketahui bahawa terdapat beberapa jenis lesi (lesion) atau ketuat yang boleh terbentuk pada kulit pesakit EV. Sebahagian daripada ketuat berbentuk leper, kebiasaannya disebabkan oleh jangkitan HPV3 dan HPV10.
Sebahagian ketuat turut berbentuk leper, tetapi ia bersisik dengan kelihatan seperti tompok merah-coklat. Ketuat jenis ini dikaitkan dengan pelbagai jenis jangkitan beta-HPV (12, 14, 15, 17), namun kebiasaannya oleh HPV5 dan HPV8. Kredit: https://commons.wikimedia.org/wiki/File:World%27s_4t
Daripada huraian di atas, dapat difahami bahawa adalah lazim untuk seseorang pesakit atau penghidap EV mempunyai jangkitan pelbagai jenis HPV.
Tetapi yang menariknya, lebih daripada 80% populasi manusia mempunyai virus tersebut pada tubuh badan, tetapi jangkitan tidak mempamerkan simptom atau gejala (ketuat, ketumbuhan dan dsb dengan ekstrem).

Jadi kenapa majoriti daripada populasi tidak menghidap EV?
Hal ini demikian kerana, penghidap EV mempunyai mutasi pada gen yang dikenali sebagai EVER1 atau EVER2 yang terletak di kromosom 17 atau lebih tepat lagi 17q25.3.

Gen itu merupakan arahan bagaimana cara tubuh badan menghasilkan protein EVER.
Protein EVER mempunyai peranan penting dalam tubuh badan, iaitu membentuk gabungan atau kompleks dengan protein pengangkut zink (ZnT-1) di dalam retikulum endoplasma sel keratinosit manusia.
Telah dihipotesiskan bahawa, kompleks protein EVER + protein pengangkut zink merupakan pertahanan tubuh badan terhadap jangkitan HPV.

Oleh sebab kompleks tersebut mengawal selia keseimbangan kofaktor Zn2+ di dalam sel keratinosit, justeru menghalang proses replikasi HPV.
Bagaimana replikasi HPV dihalang?

Umum diketahui bahawa virus hidupan yang simple. Virus boleh dibayangkan seperti seorang budak yang cuma bawak sebuah buku yang bagitahu mana nak pergi dan apa nak buat, tapi dia tak bawak duit. Jadi duit tu dapat dari mana? Dia curi.
Dalam kes EV, HPV perlukan akses kepada zink bagi membolehkan proses replikasi dan penyusunan semula gen virus itu berlaku dalam sel.

Tetapi kompleks protein EVER + protein pengangkut zink ibarat seorang pak guard yang mengawal jumlah pengunjung (zink) dalam mall (sel).
Oleh itu, mutasi sama ada pada gen EVER1 atau EVER2 akan menghalang pembentukan kompleks EVER+ZnT-1, menjurus kepada ketidakseimbangan zink yang membantu proses replikasi HPV.
Seterusnya, kajian turut mendapati bahawa HPV bersama-sama dengan pendedahan terhadap sinar ultralembayung (UV) mengakibatkan sel-sel kulit rosak menjurus kepada karsinoma keratinosit, kanser kulit.
Hasil daripada kajian turut menunjukkan HPV berinteraksi dengan protein tumor termasuklah p53.

Protein p53 berperanan memperbaiki sel dengan DNA yang rosak, dan sekiranya tidak dapat diperbaiki, sel itu diprogramkan untuk dibunuh (apoptosis).
Oleh itu, interaksi HPV dan p53 menyebabkan proses memperbaiki dan pembunuhan sel yang rosak dihalang.

Hal tersebut menyebabkan sel yang rosak akibat pendedahan terhadap sinar ultralembayung semakin bertambah dan akhirnya berubah menjadi malignan atau menjadi semakin teruk.
Setakat itu sahaja lah serba sedikit penerangan tentang Epidermodysplasia verruciformis..

Oh ya, tahu tak, pelbagai jenis haiwan juga boleh dijangkiti virus papiloma? Contohnya seperti zirafah dan anjing ini..

• • •

Missing some Tweet in this thread? You can try to force a refresh
 

Keep Current with Shahmil Hafiz

Shahmil Hafiz Profile picture

Stay in touch and get notified when new unrolls are available from this author!

Read all threads

This Thread may be Removed Anytime!

PDF

Twitter may remove this content at anytime! Save it as PDF for later use!

Try unrolling a thread yourself!

how to unroll video
  1. Follow @ThreadReaderApp to mention us!

  2. From a Twitter thread mention us with a keyword "unroll"
@threadreaderapp unroll

Practice here first or read more on our help page!

More from @shmlsanxion

6 May
Pengenalan Kepada 5 Zon Lautan.

Kira-kira 70% daripada permukaan bumi ini terdiri daripada lautan. Secara kasar, laut mengandungi 1.35 billion kubik kilometer air, atau 97% daripada jumlah kesuluruhan air di bumi, manakala selebihnya air tawar, yakni 3% sahaja.
Lautan adalah sebab mengapa hidupan itu boleh meneruskan hidupnya di bumi.

Selain itu, lautan juga sebab mengapa bumi ini dilihat berwarna biru, sekiranya diperhatikan dari angkasa.
Dari kawasan persisiran pantai sehingga ke kawasan dasar laut itu sendiri, lautan dipenuhi dan didiami oleh pelbagai spesies hidupan.
Read 58 tweets
30 Apr
Memperkenalkan spesies baru katydid iaitu Eulophophyllum kirki yang ditemui di Sabah, Malaysia, pada tahun 2016-2017.

Berdasarkan morfologi katydid ini, no wonder lah serangga ini baru sahaja ditemui.
Katydid ini ditemui di Kawasan Konservasi Lembah Danum. Namun, memandangkan terdapat undang-undang yang menghalang sebarang pengambilan spesimen daripada Lembah Danum, saintis hanya dapat mengenal pasti spesies baru tersebut berdasarkan gambar-gambar sahaja.
Bagi spesies ini, seluruh badan katydid jantan berwarna hijau, manakala katydid betina berwarna merah jambu.
Read 7 tweets
28 Apr
Penduduk bandar San Antonio La Esperanza, Mexico, menemui apa yang mereka sangkakan mayat dalam keadaan berbalut, terapung di sungai.
Namun bila balutan itu dibuka, rupa-rupanya 'mayat' tersebut merupakan sebuah patung yang biasa digunakan ventrilokis.
Menyangka patung tersebut disumpah, mereka cuba untuk membakarnya.

Namun cubaan pertama tidak berjaya. Menguatkan lagi dakwaan penduduk, iaitu benar patung itu ada 'sumpahan'.
Read 9 tweets
16 Apr
Jantina: "Nature vs Nurture".

Menurut kau, jantina seseorang ini ditentukan melalui apa?

Adakah ia ditentukan melalui fizikal ketika individu itu dilahirkan atau dipilih ibu bapa dan mengikut cara individu itu dibesarkan?

Thread kisah tragis David Reimer..
Pertengahan tahun 1960-an, telah berlakunya satu peristiwa yang ‘menggegarkan’ dunia perubatan psikiatri pada waktu itu apabila seorang ahli psikologi dan seksologi dikenali sebagai Dr. John Money, yang bertugas di Hospital John Hopkins, Amerika Syarikat, telah bertindak..
memberi ‘nasihat’ dan galakan kepada pasangan Reimer untuk membuat satu keputusan yang sangat sukar bagi golongan ibubapa.

Iaitu, dengan membenarkan anak lelaki mereka David Reimer, membuat pembedahan pertukaran jantina.
Read 74 tweets
14 Apr
Kalau sebut sahaja haiwan yang beracun, mesti haiwan seperti ular, katak, labah-labah, dan sebagainya terlintas di fikiran kita..

Tapi tahu tak, ada juga burung yang mengandungi toksin?

a thread..
Pada 1989, seorang ahli ornitologi (pengkaji burung) sedang dalam usaha beliau mengkaji burung Cenderawasih yang turut dikenali sebagai 'Bird of Paradise' di Papua New Guinea.
Kajian beliau memerlukan burung Cenderawasih ini ditangkap terlebih dahulu. Dan untuk itu, beliau memasang perangkap jaring.

Kemudian, beliau memeriksa perangkap yang telah dipasangkan.
Read 33 tweets
6 Jan
Kebakaran belukar Australia 2019.

Kebakaran ini bermula sejak dari September 2019, dan sehingga ke hari ini, ia masih lagi sedang memusnahkan Australia.

A thread..
Australia adalah sebuah negara yang sangat besar saiznya.

Kebakaran ini telah memusnahkan 6,000,000 (juta) hektar hutan dan belukar.
Untuk memberi kau sedikit gambaran kemusnahan yang telah disebabkan oleh kebakaran belukar Australia ini, izinkan aku bandingan dengan beberapa kebakaran besar pada tahun 2018-2019.
Read 14 tweets

Did Thread Reader help you today?

Support us! We are indie developers!


This site is made by just two indie developers on a laptop doing marketing, support and development! Read more about the story.

Become a Premium Member ($3/month or $30/year) and get exclusive features!

Become Premium

Too expensive? Make a small donation by buying us coffee ($5) or help with server cost ($10)

Donate via Paypal Become our Patreon

Thank you for your support!

Follow Us on Twitter!