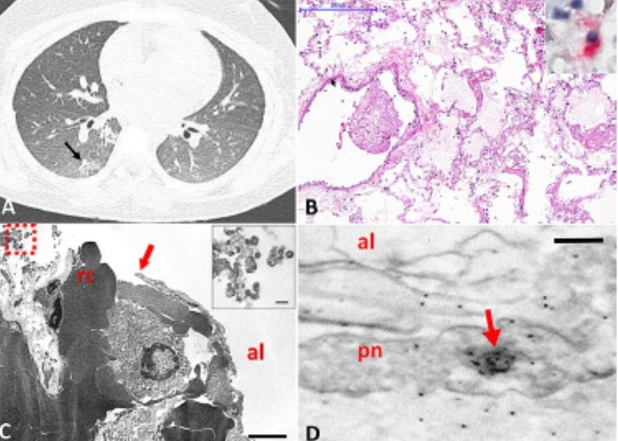
Lesões em órgãos revelam efeitos de síndrome ligada à covid grave em crianças

Pesquisa da Faculdade de Medicina da USP identificou lesões em todos os órgãos vitais em decorrência do coronavírus em crianças que morreram da doença 👇🧶
As lesões estão associadas à Síndrome Inflamatória Multissistêmica Pediátrica (SIM-P), responsável por complicações cardíacas, gastrointestinais e neurológicas.
O resultado reforça a importância de investigar se há covid-19 em crianças com febre persistente, mesmo que tenham manifestações clínicas diferentes.
A pesquisa também aponta que todos os pacientes com a SIM-P apresentaram obstruções nos vasos sanguíneos do pulmão (microtomboses), mesmo com pneumonia leve.
Para saber mais, leia a matéria completa no Jornal da USP:

jornal.usp.br/ciencias/lesoe…
Artigo publicado na revista científica EClinicalMedicine:

"An autopsy study of the spectrum of severe COVID-19 in children: From SARS to different phenotypes of MIS-C"

sciencedirect.com/science/articl…

• • •

Missing some Tweet in this thread? You can try to force a refresh
 

Keep Current with Luiza Caires - jornalista de ciências

Luiza Caires - jornalista de ciências Profile picture

Stay in touch and get notified when new unrolls are available from this author!

Read all threads

This Thread may be Removed Anytime!

PDF

Twitter may remove this content at anytime! Save it as PDF for later use!

Try unrolling a thread yourself!

how to unroll video
  1. Follow @ThreadReaderApp to mention us!

  2. From a Twitter thread mention us with a keyword "unroll"
@threadreaderapp unroll

Practice here first or read more on our help page!

More from @luizacaires3

29 Apr
💏O que faz, num casal que vive junto, divide cama (e às vezes até sabonete da pia no banho), um ter covid e outro não? 🦠

🧬A genética pode não dar todas respostas, mas com certeza tem parte importante nisso

Os magos do genoma humano já estão correndo atrás de entender 👇🧶 Ilustração mostra casal se ...
Pesquisadores de USP, Unesp e Fleury identificaram genes do sistema imune que podem ajudar no entendimento.

Eles compararam 86 "casais discordantes". Termo que parece redundante, mas neste caso não diz respeito à briga sobre levar o lixo - e sim que só um desenvolveu a doença.
Os genes candidatos são conhecidos como MICA e MICB e pertencem ao chamdo 'complexo principal de histocompatibilidade', no cromossomo 6.

Essas moléculas já foram descritas em estudos anteriores e estão associadas ao estresse celular, em situações como câncer e infecções. Figura mostra localização d...Figura mostra estrutura mol...
Read 11 tweets
27 Apr
🧬🦠O quanto a genética influencia a resposta do nosso sistema imune ao coronavírus?

Um grupo de cientistas brasileiros começa a procurar respostas.

Em uma das pesquisas, eles estudaram gêmeos idênticos que testaram positivo para a covid mas tiveram quadros diferentes👇
Em um dos casos, eles verificaram que a resposta celular de uma das gêmeas foi deficiente. Os pesquisadores sugerem que a explicação pode estar na construção da memória imunológica, distanciada dos fatores genéticos.
Para Mateus Vidigal, um dos autores do estudo, a hipótese é que, ao longo da vida, através de mutações pós-nascimento, e nas variadas experiências envolvendo patógenos e diferentes exposições a antígenos, cada uma das irmãs desenvolveu diferentes respostas imunes.
Read 4 tweets
26 Apr
🦠Butantan detecta 3 variantes do coronavírus em SP

🔴B.1.351 (sul-africana) na Baixada Santista (já achada em Sorocaba)
🟡B.1.318 (sueca) em Itapecerica
🟡N9 (versão c/mutação da P.1) em Jardinópolis

A 1a é considerada de preocupação e as outras 2 ainda estão sendo observadas.
“Os estudos mostram que tem muita variante em São Paulo. Precisamos de políticas de contenção e respeitar o distanciamento para que a gente não fique espalhando variantes”, diz , Maria Carolina Sabbaga, do Insituto Butantan.
Read 6 tweets
24 Apr
Eis uma piscina que *caiu* no estacionamento abaixo dela por alguma escolha peculiar no projeto... (continua)
Será que o Conselho de Engenharia precisa respeitar a autonomia dos engenheiros?
Read 5 tweets
23 Apr
💉 AstraZeneca: beneficíos superam amplamente os riscos

Afirmação é da Agência Europeia de Medicamentos, que fez nova avaliação dos efeitos da vacina a pedido da UE, concluindo que benefícios continuam a superar riscos e potenciais efeitos colaterais em adutos de todas idades+: Foto de um frasco de vacina da AstraZeneca.
Num relatório divulgado esta sexta, a entidade cita que foram registrados "casos muito raros de coágulos sanguíneos associados a uma baixa quantidade de plaquetas após a vacinação"+
O órgão regulador europeu recomenda ainda que quem já tenha tomado a primeira dose da AZ receba sim a segunda da mesma vacina e que não seja ampliado o intervalo em relação às 12 semanas para esta vacina.
Read 6 tweets
17 Apr
Seu doguinho é um detector natural de corona!

Este é o Poncho, um labrador retriever que, junto com seus companheiros, acaba de provar para os cientistas que cães podem farejar o coronavírus com uma precisão impressionante de 96٪ 🧶👇 Um cachorro amarelado cheira um dispositivo de metal com amo
Uma pesquisa de prova de conceito da Universidade da Pensilvânia sugere que cães de detecção especialmente treinados podem farejar amostras positivas para Covid-19 com 96% de acerto. Um cão amarelado fareja buracos numa parede se madeira. Uma
Não pensem que é algo simples o que está sendo exigido destes cachorros!

Os cães devem ser específicos em detectar o do odor da infecção, mas também devem generalizar odores de fundo de diferentes pessoas: homens e mulheres, adultos e crianças, diferentes etnias...
Read 9 tweets

Did Thread Reader help you today?

Support us! We are indie developers!


This site is made by just two indie developers on a laptop doing marketing, support and development! Read more about the story.

Become a Premium Member ($3/month or $30/year) and get exclusive features!

Become Premium

Too expensive? Make a small donation by buying us coffee ($5) or help with server cost ($10)

Donate via Paypal Become our Patreon

Thank you for your support!

Follow Us on Twitter!