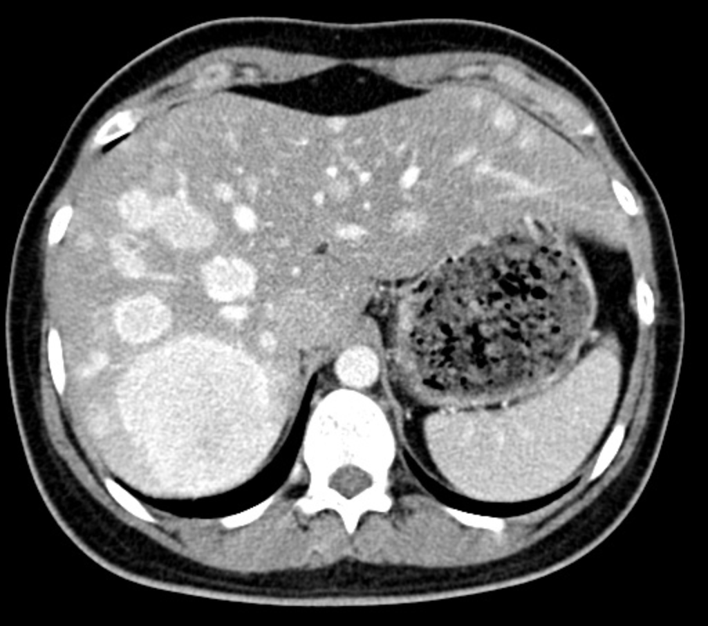
#idboardreview 35 M PLWH CD4 10, VL >200k presents w/ fever and myalgias x 1mo. CT w/ hypodense lesions, biopsy with 'blood lake'. Warthin-Starry stain+ diagnosis? #idmedEd #medEd #IDtwitter ImageImage
hepatosplenic #bacillary #peliosis #bartonella #henselae “blood lake” due to vascular dilation mixed with focal bleeding, numerous bacilli on WS stain or immunostaining
#Peliosis #hepatis rare condition characterized by tumor-like liver lesions composed of multiple blood-filled cavities. Associated with cytotoxic drug, gamma-ray, bacterial or viral infection, immunodeficiency etc
#Bacillary #peliosis #hepatis, a vascular lesion of the liver associated with infiltration of #Bartonella bacilli,1st described in eight HIV-infected individuals by Perkocha. Presents w/ abdominal pain and fever.
25% patients with #peliosis #hepatis also have cutaneous #bacillary lesions. Serum AlkP more prominently elevated than the hepatic transaminases
Treatment is with erythromycin or doxycycline for 3 months or longer/life long.
in vitro active against #Bartonella but w/ no established clinical efficacy: rifampin, 3rd gen cephalosporins, tmp-smx, FQ. Results of in vitro susceptibility tests dont correlate w/ clinically as tx failures w/penicillins/1st gen cephalosporins common
Relapsing patients should receive lifelong treatment. Jarisch-Herxheimer–like reactions have been reported following the first dose of antibiotics in patients with #Bartonella #peliosis #hepatis.

• • •

Missing some Tweet in this thread? You can try to force a refresh
 

Keep Current with Indiana University Infectious Diseases Fellowship

Indiana University Infectious Diseases Fellowship Profile picture

Stay in touch and get notified when new unrolls are available from this author!

Read all threads

This Thread may be Removed Anytime!

PDF

Twitter may remove this content at anytime! Save it as PDF for later use!

Try unrolling a thread yourself!

how to unroll video
  1. Follow @ThreadReaderApp to mention us!

  2. From a Twitter thread mention us with a keyword "unroll"
@threadreaderapp unroll

Practice here first or read more on our help page!

More from @IUIDfellowship

20 Mar
#idboardreview 30 M Paraguay 🇵🇾 living w/ HIV CD4 50 VL 100k presents w/ seizure, no travel/animal contact. Oriented to self, dysarthria, csf (wbc 15 100% lymph, protein80, gluc35). Dx? #medEd #idmedEd #idtwitter ImageImage
Meningoencephalitis and chagoma, caused by #Trypanosoma cruzi
#Chagas or American #trypanosomiasis parasitic protozoan #Animal Trypanosoma cruzi transmitted by hematophagous “kissing bugs” Reduviidae aka
vinchuca (Argentina 🇧🇴 🇨🇱 🇵🇾
barbeiro (Brazil),
chipo (Venezuela), and
chinche (Central America)
Read 16 tweets
19 Mar
#idboardreview 40 M injected heroin boiled with tap water, previously used needle: next day developed periorbital swelling, eyelid erythema, pain and blurred vision of one eye. Dx? #medEd #idmedEd #IDtwitter Image
Read 6 tweets
18 Mar
#idboardreview 70 M skin opening at pacemaker site with purulent chest wall drainage. No improvement on abx. Dx? #medEd #idmedEd #idtwitter Image
Culture of the swab of the lesion on the chest grew #Trichosporon beigelii
#Trichosporon beigelii yeast in soil & water. In humans, it colonizes skin, GI & GU. It cause superficial skin infections, such as white piedra. In immunocompromised hosts: deep invasive infections, including fungemia, endocarditis and chronic meningitis
Read 9 tweets
17 Mar
#idboardreview A family visited different U.S. states during a 1week vacation. Seam in hotel pools & waterpark. 8 days post trip, 2 family members had diarrhea. Dx? #medEd #idmedEd #idtwitter Image
#Cryptosporidiosis outbreaks in the U.S. have been linked to swimming pools, water playgrounds, and other swimming venues; unpasteurized cider, juice, and milk; contact with animals; childcare settings; camps; and ill food handlers. Image
Read 8 tweets
16 Mar
#idboardreview 80 M BPH presents w/ fever, dysuria, hematuria. CT:hydroureteronephrosis. UA +LE. Urine/blood culture anaerobic Gram+rod R to FQ/tmp-smx. Dx? #medEd #idmedEd #IDtwitter ImageImage
Read 6 tweets
15 Mar
#idboardreview 45 F w/ 1 cm nodule located near a scar from a previous mastectomy. +travel to several western & central European countries within the past year. The nodule was removed and tissue sections shown. Dx? #medEd #idmedEd #IDtwitter
#Dirofilaria likely repens based on travel history cdc.gov/dpdx/dirofilar…
#dirofilaria #repens
-definitive hosts include primarily wild and domestic canids, and occasionally felids
-various mosquito vectors from the genera Aedes, Culex, and Anopheles
Read 7 tweets

Did Thread Reader help you today?

Support us! We are indie developers!


This site is made by just two indie developers on a laptop doing marketing, support and development! Read more about the story.

Become a Premium Member ($3/month or $30/year) and get exclusive features!

Become Premium

Too expensive? Make a small donation by buying us coffee ($5) or help with server cost ($10)

Donate via Paypal Become our Patreon

Thank you for your support!

Follow Us on Twitter!