Vacina da AstraZeneca e coágulos. Conto aqui caso real que diz um pouco sobre por que não devemos gerar suspeitas com pouquíssimo fundamento contra uma vacina 👇🧶 Foto: mão com luva colocando dose da vacina da AstraZeneca/
Família com quatro irmãos médicos cardiologistas. Um deles jovem, atleta, toma a vacina da AstraZeneca.15 dias depois tem um AVC isquêmico (causado por coágulo em uma artéria no cérebro).👇
Isso aconteceu antes de sair a suspensão da vacina em alguns países da Europa por suspeita em casosde trombose. Então ninguém associou o fato com a vacina... Simplesmente foram investigar. 👇
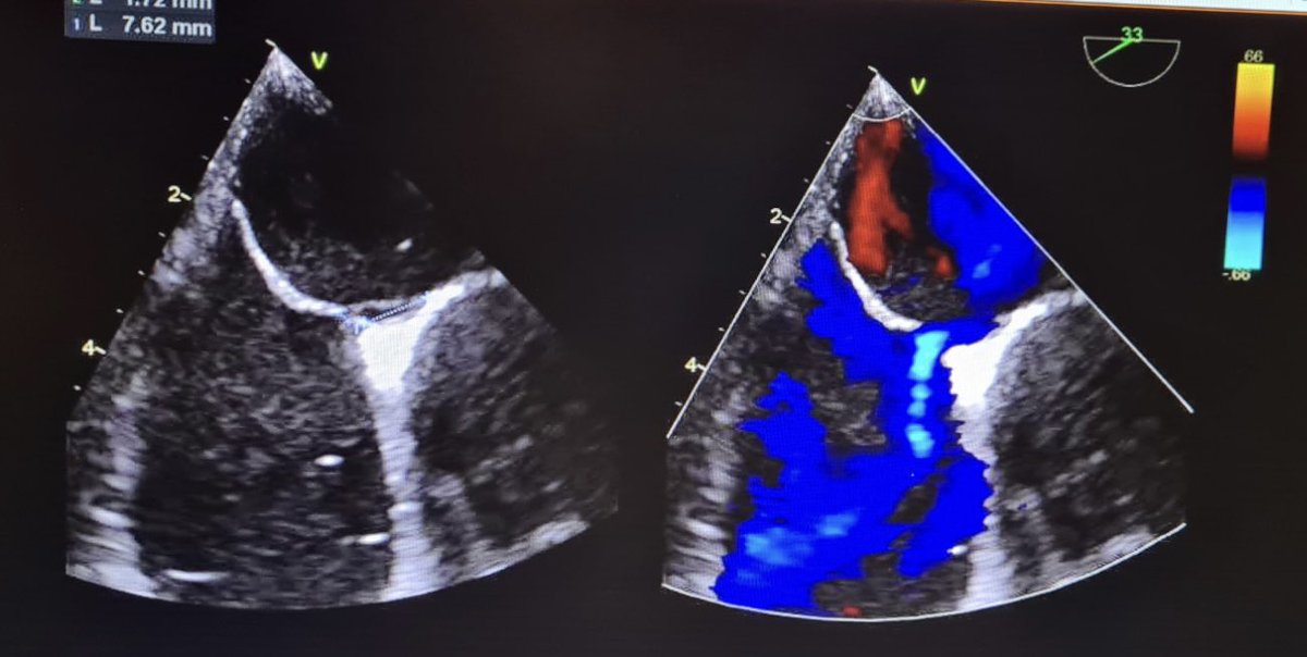
Os médicos acharam uma característica no coração do paciente chamada Forame Oval Patente que *às vezes* (não em todos que têm) pode ter relação com formação de coágulos no coração que podem migrar para o cérebro, causando um AVC.
O forame oval é um orifício que fica no meio da parede do músculo que divide os dois átrios (cavidades) do coração do feto. Ele costuma se fechar no nascimento ou nos primeiros meses/anos de vida. Desenho esquemático mostrando localização do forame no co
Mas em cerca de 1/4 das pessoas normais, pode acontecer deste orifício não fechar, deixando uma pequena comunicação entre os átrios. É o que se chama de Forame Oval Patente (FOP).
Como o paciente não tinha nenhum problema que pudesse gerar distúrbios de coagulação, suspeitaram que o FOP poderia ter favorecido a ocorrência do AVC.
Ele foi operado e fecharam a comunicação entre os átrios colocando com uma prótese amplatzer (foto). Agora, o paciente, que é cardiologista, passa bem.
"Foi o maior caso de casa de ferreiro espeto de pau que já vi, a gente só identificar o FOP no coração dele agora", disse a irmã do médico, Dra. Lara Castro, que também é cardiologista.***
E a vacina da AstraZeneca com isso? Nada. Apenas que se o fato tivesse acontecido um pouco depois, quando ocorreu a suspensão da vacina na Europa, o que era uma mera COINCIDÊNCIA (o AVC ter ocorrido após a vacina) poderia virar suspeita.
Várias pessoas já me procuraram aflitas por terem problema de pressão alta, coagulação, entre outros, que podem favorecer eventos como trombose e AVC. Será que devo tomar a vacina da AstraZeneca? Com certeza deve. Essa não é opinião da Luiza, mas da OMS e de vários especialistas.
Vale lembrar aqui que a Covid é uma doença muito associada a complicações relacionadas a coágulos, como a própria trombose, embolia, AVC e infarto. Muitas pessoas já de alta que tiveram Covid morreram alguns dias ou semanas depois por alguma dessas complicações.
***A Dra Lara pediu pra ressaltar que falou o ditado mais brincando, já que se tivessem achado o FOP antes no irmão dela, e se não tivesse gerando problema, ninguém ia mexer. Então quem tem essa característica não precisa ficar preocupado: na maioria das vezes não gera problemas.
E quem não sabe se tem não precisa sair correndo pra fazer exames. Excesso de exames atrapalha mais do que ajuda muitas vezes...
Agradecimento a @lararc e @janjrc
Aqui o quarteto de irmãos cardiologistas 👨‍⚕️👨‍⚕️👨‍⚕️👩‍⚕️
E aqui a Dra. Lara após dar alta para seu paciente vip:
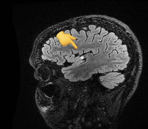
Outros personagens do fio: Tomografia mostra avc no cérebro.Ecocardiograma

• • •

Missing some Tweet in this thread? You can try to force a refresh
 

Keep Current with Luiza Caires - jornalista de ciências

Luiza Caires - jornalista de ciências Profile picture

Stay in touch and get notified when new unrolls are available from this author!

Read all threads

This Thread may be Removed Anytime!

PDF

Twitter may remove this content at anytime! Save it as PDF for later use!

Try unrolling a thread yourself!

how to unroll video
  1. Follow @ThreadReaderApp to mention us!

  2. From a Twitter thread mention us with a keyword "unroll"
@threadreaderapp unroll

Practice here first or read more on our help page!

More from @luizacaires3

19 Mar
🐱👉Quando eu aponto algo, meus gatos não dão bola, ou olham pro meu dedo (faz sentido rs).

🐶Mas e cachorros, o que explica a capacidade deles entenderem que estamos apontando?

A coisa não tá fácil Brasil, mas vamos de fio de cachorrinho fofo + ciência que melhora um pouco🧶👇 Foto mostra 5 filhotes de cachorro labrador amarelo
Cientistas fizeram testes com essas fofuras para verificar se os cães filhotes podem entender, entre outras coisas, o apontamento humano, uma capacidade rara entre animais e chave para a inteligência social. Foto mostra mulher apontando para um copo e uma pessoa do ou
Quem tem cachorro já sabe que cães adultos em geral compreendem o apontamento, uma habilidade que nem mesmo nossos parentes mais próximos, os chimpanzés, apresentam. E que ajuda os cães a se relacionarem conosco.

📷Universidade de Kyoto Foto. Um chimpanzé aponta números em uma tela.
Read 18 tweets
18 Mar
Coronavírus no cérebro: como ele chega lá, o que causa e como prevenir/tratar problemas neurológicos

Um estudo propõe que a invasão do vírus no Sistema Nervoso envolve ativação dum receptor chamado P2X7. Assim, drogas que o bloqueiam poderiam ser estratégia promissora! Fio🧶👇 Ilustração mostra pulmões, cérebros, neurônios e vírus
Sintomas neurológicos e e psiquiátricos têm sido relatados em pacientes com covid e crescem as evidências de que o coronavírus tem a capacidade de entrar no sistema nervoso central e infectar suas células. Desenho de um neurônio.
Os cientistas agora têm um quadro mais claro dos possíveis mecanismos para que os vírus acessem o sistema nervoso e os efeitos inflamatórios que provocam no cérebro. Tomografia do cérebro.
Read 23 tweets
18 Mar
Casos de covid despencam em Gibraltar após vacinação da população adulta e confinamento 🧶👇 Gráfico com pico entre dezembro e fevereiro e queda depois.
Após semanas de fechamento e vacinação intensiva, o território ultramarino britânico com 33 mil habitantes emerge de uma onda de vírus devastadora. Mapa localizando Gibraltrar, no litoral sudoeste da Espanha.
A covid matou 93 pessoas, quase todas em janeiro e fevereiro deste ano, e infectou mais de 4.000. Foto de um paredão rochoso em uma praia.
Read 6 tweets
16 Mar
🤚🦵🦶 Covid na pele

Manifestações cutâneas da covid às vezes são primeiro ou mesmo o único sinal dela. Quem afirma é um dos autores de estudo britânico que ajudou a construir um catálogo de imagens das lesões de pele mais comuns na doença em 400 pessoas. 🧶👇 Foto. Uma mão fechada mostrando uma mancha avermelhada com
O repositório foi feito pelos pesquisadores autores do estudo junto com a Associação Britânica de Dermatologistas. Foto. Dedos do pé de uma pessoa negra. Unhas pintadas de ve
Uma outra pesquisa na Espanha havia identificado como mais comuns as lesões acrais de eritema com vesículas ou pústulas (19%), outras erupções vesiculares (9%), lesões em forma de uriticária - na foto (19%), erupções maculopapulares (47%) e livedo ou necrose (6%). Foto de um antebraço de pessoa branca com área abaixo do p
Read 8 tweets
15 Mar
A humanidade induz a seleção genética de animais e plantas há milênios, via cruzamentos. Nos animais domésticos, a busca por intensificar certas características pode trazer problemas. Um exemplo é o nanismo em cavalos de raças pônei, em que os cruzamentos buscam baixa estatura 👇 Foto. Um pequeno cavalo com...
"O nanismo condrodisplásico tem elevada prevalência em criadouros de equinos de raças pônei, uma vez que a seleção de animais de pequena estatura foi acompanhada pelo aumento da de mutações genéticas associadas a alterações musculoesqueléticas", diz José Oliveira Filho, da Unesp+
O veterinário e pesquisador participou da descoberta de uma uma mutação causadora desta forma de nanismo que pode levar à morte embrionária ou ao nascimento de animais com problemas respiratórios, alimentares e de crescimento ósseo+
Read 5 tweets
14 Mar
➡️ 3 milhões de pessoas na Europa já tomaram a vacina de AstraZeneca-Oxford em 30 dias.

➡️ 22 pessoas dessas 3 milhões apresentaram trombose (coágulo nos vasos sanguíneos que se forma e se desprende)

➡️ 1 delas infelizmente morreu

Vamos entender? 🧶👇
Antes de qualquer conclusão, precisamos verificar quantas pessoas costumavam sofrer de trombose nesta população antes vacina.

Os números mostram:

➡️ 120 pessoas entre 100 mil a cada 1 ano

🧮 O que, fazendo umas continhas, dá...

➡️ 100 pessoas entre 1 milhão a cada 1 mês
Por estes números vemos que a média até diminuiu!

Uma pesquisa meia boca podia até pegar estes dados pra dizer que quem toma vacina da AstraZeneca-Oxford tem menos trombose (é claro que não é tão simples, isso seria uma mera associação).
Read 6 tweets

Did Thread Reader help you today?

Support us! We are indie developers!


This site is made by just two indie developers on a laptop doing marketing, support and development! Read more about the story.

Become a Premium Member ($3/month or $30/year) and get exclusive features!

Become Premium

Too expensive? Make a small donation by buying us coffee ($5) or help with server cost ($10)

Donate via Paypal Become our Patreon

Thank you for your support!

Follow Us on Twitter!