Preoperative approach to sellar region masses, what the surgeon needs to know (at least what I think they need to know)

Additional reporting tips from surgeons are welcomed and encouraged! #Neurosurgery @TheASNR #radres #MedEd #MedTwitter #futureradres #endocrine #Neurology
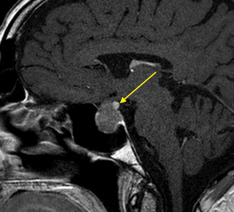
1️⃣Where is the mass located?

Is it sellar based? suprasellar (S)? clival? Planum sphenoidale (PS)? Tuberculum sellae (arrow)?

▶️Location can change operative approach including but not limited to subfrontal vs transsphenoidal
2️⃣Where is the normal pituitary gland?

▶️this can be tough when the mass is large but the normal tissue often enhances more avidly than tumor so look for a strip of relatively avid enhancement along the periphery of the mass. Surgeons do not want to remove normal pit tissue
3️⃣Where is the tumor in relation to the stalk?

Transection of the pit stalk can lead to endocrine dysfunction
4️⃣Does the mass invade the cavernous sinus?

I have seen some variation for evaluating cavernous sinus invasion

I use encasement of greater than 2/3 of the cavernous carotid as invasion and if it crosses the midcarotid line I use that as more suggestive/indeterminate
5️⃣Is there hemorrhage/evidence of apoplexy?

High signal on T1 and fluid-fluid levels on T2 suggest hemorrhage which should be correlated for apoplexy. SWI is often not helpful due to surrounding bone/air susceptibility and lack of associated hemosiderin deposition
6️⃣Where is the optic chiasm? Is it compressed?

Avoiding injury to the optic chiasm and debulking tumor/decompressing the chiasm is of course, preferred
7️⃣Where is the intersinus septum of the sphenoid? Are there cavernous carotid variants? Where is the anterior clinoid in relation to the carotid? Is the carotid canal covered? Are there sphenoid sinus variants?

Sinus setum: yellow➡️
Carotid canal: green➡️
Onodi cell: red➡️
Learning points to report:
1️⃣Mass location
2️⃣Where is the normal pit tissue
3️⃣Stalk location
4️⃣Cavernous sinus invasion
5️⃣Any hemorrhage/apoplexy
6️⃣Optic chiasm compression
7️⃣Sphenoid sinus and carotid variant anatomy 🧠
Bonus: A patent sphenopalatine artery improves the odds of a healthy nasosetal flap used to cover the surgical defect and prevent postop CSF leak. 🧠

• • •

Missing some Tweet in this thread? You can try to force a refresh
 

Keep Current with Daniel Gewolb, MD

Daniel Gewolb, MD Profile picture

Stay in touch and get notified when new unrolls are available from this author!

Read all threads

This Thread may be Removed Anytime!

PDF

Twitter may remove this content at anytime! Save it as PDF for later use!

Try unrolling a thread yourself!

how to unroll video
  1. Follow @ThreadReaderApp to mention us!

  2. From a Twitter thread mention us with a keyword "unroll"
@threadreaderapp unroll

Practice here first or read more on our help page!

More from @daniel_gewolb

Mar 14
Can you figure out the cause of hemorrhage in this case?

Imaging and case details in thread #Neurosurgery #radres #MedTwitter #Neurology @TheASNR #MedEd #neurotwitter ImageImage
Initial MRI shows an expansile enhancing mass in the right parasagittal frontal lobe ImageImageImageImage
The patient underwent craniotomy for tumor debulking. Post operative MRI and CT demonstrate hemorrhage in the right cerebellar hemisphere, far from the operative site. What’s the cause of the hemorrhage? 🤔 🧠 ImageImageImage
Read 5 tweets

Did Thread Reader help you today?

Support us! We are indie developers!


This site is made by just two indie developers on a laptop doing marketing, support and development! Read more about the story.

Become a Premium Member ($3/month or $30/year) and get exclusive features!

Become Premium

Don't want to be a Premium member but still want to support us?

Make a small donation by buying us coffee ($5) or help with server cost ($10)

Donate via Paypal

Or Donate anonymously using crypto!

Ethereum

0xfe58350B80634f60Fa6Dc149a72b4DFbc17D341E copy

Bitcoin

3ATGMxNzCUFzxpMCHL5sWSt4DVtS8UqXpi copy

Thank you for your support!

Follow Us on Twitter!

:(