Raquel Blasco Profile picture
Sep 12, 2020 5 tweets 5 min read Read on X
No son sólo #PCRPositivas
#SportCovid
Abro #Hilo
Los efectos sobre la #Fuerza y la #Resistencia después de la infección por SARS-CoV-2, sintomáticos o no, NO se han descrito hasta ahora.
Os paso un trabajo y lo comento:
 ⬇️⬇️
eurosurveillance.org/content/10.280… Image
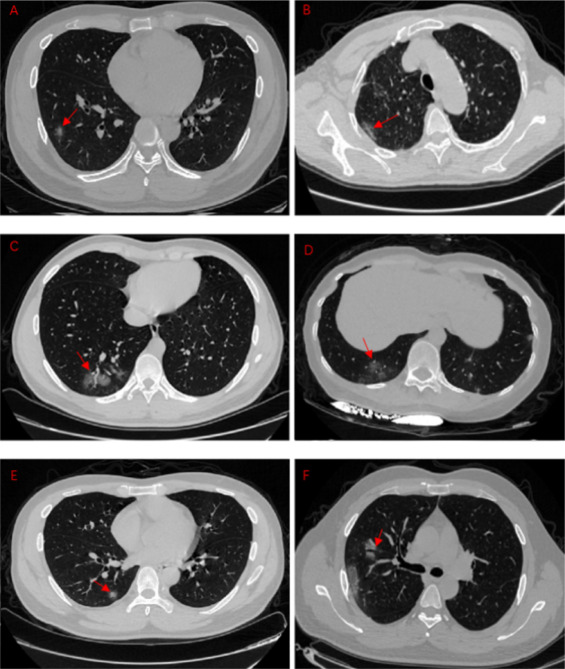
1-2 meses después d la infección (SINTOMÁTICA) por #Covid_19 se observa capacidad aeróbica reducida en reclutas adultos jóvenes mientras que la fuerza física NO se vio afectada.
El 19% de los reclutas convalecientes d COVID-19 mostraron una disminución del VO 2 máx. de más del Image
del 10% !!! en comparación con el valor inicial antes de la infección.
 Aunque los datos no explican la fisiopatología detrás de estos hallazgos, la reducción del VO 2 máx es un sello distintivo de la enfermedad pulmonar intersticial
Y esto por qué? Image
Sabemos que la infección por SARS-CoV-2 induce daño pulmonar, incluso en casos #asintomáticos
⬇️
ncbi.nlm.nih.gov/pubmed/32294504
Esto indica la importancia de realizar más estudios de SEGUIMIENTO a largo plazo para evaluar el alcance y la duración de las secuelas, así como de Image
prevención d infecciones xa evitar estas consecuencias a largo plazo y determinar si la reducción en el VO 2 máx. es reversible. Con el número d casos en aumento, la evaluación de posibles consecuencias a largo plazo d #COVID19 es cada día más importante
Necesitamos datos #Fin ImageImageImage

• • •

Missing some Tweet in this thread? You can try to force a refresh
 

Keep Current with Raquel Blasco

Raquel Blasco Profile picture

Stay in touch and get notified when new unrolls are available from this author!

Read all threads

This Thread may be Removed Anytime!

PDF

Twitter may remove this content at anytime! Save it as PDF for later use!

Try unrolling a thread yourself!

how to unroll video
  1. Follow @ThreadReaderApp to mention us!

  2. From a Twitter thread mention us with a keyword "unroll"
@threadreaderapp unroll

Practice here first or read more on our help page!

More from @RaquelBlascoR

Oct 19, 2022
Hilo d #Fuerza 💪
¿Cómo influye el #horario de #entrenamiento en función de las preferencias personales en el rendimiento en ejercicios d #fuerza?
Os planteo los resultados d 1estudio relacionado donde se muestra q la preferencia del horario de entrenamiento NO marca diferencias
en el rendimiento, siendo la motivación mayor y la percepción d esfuerzo menor en los horarios preferidos, pero independientemente de la preferencia personal la #velocidad fue #mayor durante la #tarde q por la mañana y no se observaron diferencias significativas en la velocidad
de la barra entre horarios PREF y NON-PREF. Tampoco hubo diferencias en el número de repeticiones entre PREF y NON-PREF. La motivación fue mayor en PREF que en NON-PREF, y la RPE fue menor en PREF.
Así que a pesar de que los ritmos biológicos difieren entre personas, con los
Read 6 tweets
Oct 1, 2022
#Hilo
Vamos a ello:
Desde siempre hemos hecho hincapié en sta cuenta sobre la importancia q tiene tener conocimientos básicos (y no tan básicos) en materia de salud. Pero hay uno muy, muy especial
Es el de los conocimientos q sirven para #salvar una vida y de eso va mi historia
Hace ya casi un mes pasaba unos días libres en una ciudad española que es bañada por el mar de esa forma amorosa y dulce con la que rodea el mar nuestras costas y que los de tierra adentro echamos tanto y tanto en falta.
Había pasado la tarde en la playa y a última hora, ya muy
bajo el atardecer vinieron a buscarme mi hija ( ya la muy campeona acaba de pasar a ser "Erre mayor" de cardiología, estos proelillos que porque ya son R3 les dan un ecógrafo para que decidan con ello como va la función de nuestros pobres corazones) acompañada de su novio
Read 18 tweets
Sep 16, 2022
#HiloQueNoPegaNadaEnEstaTL
No me lo quiero dejar en el tintero, por si no regreso
En 1950, Curt Richter,un profesor universitario,condujo un experimento espeluznante con unas ratas para estudiar cuanto tiempo podían sobrevivir antes de ahogarse.
Primero tomó una docena de ratas Image
las puso en unos tarros de cristal, los llenó con agua y observó como se ahogaban. Las jarras eran muy grandes, así que las no podían agarrarse a los lados, o saltar fuera.
De media, dejaban de resistirse tras unos 15 minutos.
Luego, Richter le dio un giro a su experimento Image
Justo antes d q murieran d cansancio, los investigadores sacaban a las ratas d los frascos, las secaban y las dejaban descansar unos minutos para volver de nuevo a ponerlas dentro para una segunda vuelta.
¿Cuánto tiempo crees q duraron las ratas?
¿Otros 15 minutos?
¿10 minutos? Image
Read 5 tweets
Aug 18, 2022
#Hilo
Entrenamiento concurrente y pérdida de grasa?
La combinación del entrenamiento d la #fuerza y la #resistencia en la misma sesión (intra-sesión),en el mismo día (inter-sesión), o incluso, en días alternos (intra-microciclo), se conoce como entrenamiento #concurrente
#combinado,#simultáneo, #concomitante, o #multicomponente
Esta combinación d estímulos de entrenamiento pretende estimular simultáneamente adaptaciones asociadas a ambos tipos d entrenamiento, una necesidad a menudo forzada por la falta de tiempo disponible para realizarlos por
separado. En otras ocasiones los objetivos pueden ser de otro tipo, (ej:inducir un alto gasto energético total, aumentar la pérdida de peso graso, etc...)
Se puede entrenar conjuntamente la fuerza y la resistencia? ¿Cómo?
Y el orden?
Pues pese a q ambas combinaciones d entreno
Read 6 tweets
Aug 17, 2022
Damos una vuelta en este #hilo a la
#Sarcopenia y #Envejecimiento?
TIPS:
1- La pérdida de masa muscular relacionada con la edad (llamada sarcopenia) tiene una prevalencia estimada del 10% en adultos mayores de 60 años, que se eleva a >50% en adultos mayores de 80 años
2- La pérdida de masa muscular es generalmente gradual, comenzando después de los 30 años y acelerando después de los 60 años . Estudios longitudinales previos han sugerido que la masa muscular disminuye en un 1,0-1,4% /anual
3- La contribución de las pérdidas de masa muscular..
a la disminución funcional está mediada por la reducción de la #FuerzaMuscular
⚠️Ojo: La tasa de disminución de la fuerza muscular con la edad es de 2 a 5 veces mayor (¡!) que la disminución del tamaño muscular
Por ello, se han establecido umbrales de debilidad muscular..
Read 7 tweets
Aug 14, 2022
El #envejecimiento es un proceso natural de deterioro del organismo, que afecta múltiples funciones fisiológicas. Estos efectos nocivos están relacionados con una acumulación de mutaciones somáticas, estrés oxidativo, inflamación de bajo grado, daño a las proteínas y...
...disfunción mitocondrial. Se sabe que estos factores son capaces de inducir acortamiento de los telómeros, así como #disbiosis intestinal.
Por otra parte, entre los mecanismos biológicos desencadenados por el ejercicio físico, la atenuación de los mediadores proinflamatorios..
..acompañada de la mejora del estado #redox pueden ser los principales mediadores para la homeostasis de la microbiota y la prevención del desgaste de los telómeros.
 Por lo tanto, esta revisión destaca cómo el estrés oxidativo, la inflamación, el desgaste de los telómeros y la
Read 5 tweets

Did Thread Reader help you today?

Support us! We are indie developers!


This site is made by just two indie developers on a laptop doing marketing, support and development! Read more about the story.

Become a Premium Member ($3/month or $30/year) and get exclusive features!

Become Premium

Don't want to be a Premium member but still want to support us?

Make a small donation by buying us coffee ($5) or help with server cost ($10)

Donate via Paypal

Or Donate anonymously using crypto!

Ethereum

0xfe58350B80634f60Fa6Dc149a72b4DFbc17D341E copy

Bitcoin

3ATGMxNzCUFzxpMCHL5sWSt4DVtS8UqXpi copy

Thank you for your support!

Follow Us!

:(