@CKD_ce Profile picture
Feb 21 52 tweets 52 min read
1) Welcome to this #accredited #tweetorial on genetic testing in the evaluation of patients with cystic kidney disease. #Kidney #cysts are a frequent finding, ranging from simple cysts to suspected or confirmed #ADPKD.
Expert author @dguerrot of @CHURouen 🇫🇷 leads us!
2) This program is supported by an educational grant from Otsuka Pharmaceuticals & is intended for #HCPs. #Physicians #Physicianassociates #nurses #nursepractioners #pharmacists 🇺🇸🇨🇦🇪🇺🇬🇧 earn CE/#CME credit. Statement of accreditation & faculty disclosures ckd-ce.com/disclosures
3a) Fortuitous discovery of non-malignant kidney cysts is increasingly frequent with age, and often leads to #nephrology referral.
3b) In this setting, the main concern is accurate differential diagnosis between “simple” cysts without clinical significance and cysts associated with genetic polycystic disorders with renal and/or extrarenal consequences.
See 🔓 pubmed.ncbi.nlm.nih.gov/16941027/
4a) So let’s start with the case of a 36♀️ patient.
Her personal medical history is unremarkable and she takes no medication. Because of transient abdominal pains, an ultrasound followed by an MRI were performed.
4b) Intraductal papillary mucinous neoplasm of the pancreas was diagnosed and multiple small cysts were fortuitously observed in the cortex and the medulla of both #kidneys. The digestive surgeon calls you for advice…
5) At this stage, what would you answer regarding the discovery of these kidney cysts ?
A/ ADPKD
B/ ARPKD
C/ Perform genetic testing
D/ Perform additional investigations
6) Multiple disorders can lead to the occurrence of #kidney #cysts, with very different prognostic and therapeutic implications, so the correct answer is D. The following questions are key for differential diagnosis:
7) Family history was unremarkable. Lab results revealed:
🧪Normal kidney function (CKD-EPI eGFR 110 ml/min/1.73m2)
🧪Low plasma Mg (0.37 mmol/l)
🧪High plasma uric acid (390 µmol/l)
Does this ring a 🔔?
8) Given the presence of multiple bilateral #cysts and characteristic #electrolyte disturbances, #genetic testing was performed. As you may have suspected this patient had a heterozygous deletion of #HNF1beta.
See pubmed.ncbi.nlm.nih.gov/25536396/.
9) #HNF1B #nephropathy is classified as an autosomal dominant tubulointerstitial kidney disease (#ADTKD), along with #MUC_1 and #UMOD, and rarer causes including #SEC61A1 and #DNAJB11.
See pubmed.ncbi.nlm.nih.gov/30819518/ and pubmed.ncbi.nlm.nih.gov/31488840/.
10) The clinical #phenotype associated with #HNF1B haploinsufficiency is variable, and extrarenal features, including #MODY diabetes and urogenital tract malformations, are frequently helpful to guide the diagnosis.
See pubmed.ncbi.nlm.nih.gov/31488840/
11) More generally, patients with autosomal dominant #tubulointerstitial kidney disease (#ADTKD) present with #kidney #cysts in approximately 50% of cases.
Look at the main features that can help consider ADTKD in the differential diagnosis of kidney cysts:
12) #ADTKD share common pathophysiological mechanisms, mainly dependent on endoplasmic reticulum stress within tubular epithelial cells
pubmed.ncbi.nlm.nih.gov/31488840/
13) #DNAJB11 is an example of atypical #ADPKD-#ADTKD phenotype, with normal sized or atrophic kidneys & small cysts.
The tubulo-interstitial nephropathy evolves towards end-stage kidney disease #ESKD in 20% of cases (55-89 years, median age 75).
See 🔓 pubmed.ncbi.nlm.nih.gov/32631624/
14) While the previous diagnoses are commonly missed since they are rather seldom in general practice, autosomal dominant polycystic kidney disease (#ADPKD) is a frequent hereditary cause of #kidneydisease, present in 1/1000 to 1/2500 individuals.
15) In #ADPKD, cysts progressively ⬇️the number of functional nephrons ➡️chronic kidney disease (#CKD). In western countries ADPKD accounts for as much as 8 to 10% of the causes of end-stage kidney disease #ESKD #ESRD.
🔓 era-online.org/en/registry/pu…
🔓 academic.oup.com/ndt/article/29…
16) ADPKD predominantly affects the kidneys, with the progressive onset and growth of numerous cysts.
🔓 pubmed.ncbi.nlm.nih.gov/21079243/
17) #ADPKD is also responsible for a large variety of extra-renal manifestations, particularly involving the liver, the digestive tract and the cardiovascular system, as described in this Table from 🔓academic.oup.com/ndt/article/29…
18) In approximately 80% of cases the genetic variations responsible for #ADPKD are located in #PKD1, encoding #polycystin 1. The molecular diagnosis of ADPKD is complicated by the presence of highly homologous sequences of PKD1.
See pubmed.ncbi.nlm.nih.gov/25263802/
19) Other genes less frequently involved in #ADPKD or ADPKD-like phenotypes include #PKD2 (encoding #polycystin 2, 15% cases), #GANAB, #DNAJB11, #ALG5, #ALG9, #IFT140, …
See pubmed.ncbi.nlm.nih.gov/30819518/
20) As shown in this large study from the #Genkyst cohort the types of mutations found in #PKD1 and #PKD2 are variable.
See pubmed.ncbi.nlm.nih.gov/22508176/
21) In kidney epithelial cells, #polycystins 1 and 2 constitute a complex that locates at the cell membrane, predominantly in the primary #cilium, where it regulates Ca2+ influx and cellular signaling, and is thought to contribute to the cellular adaptation to urine flow.
22) The severity of renal phenotype in #ADPKD is highly dependent on the gene involved, the type of genetic variation, & the potential association with additional variants, which all contribute to the level of expression of functional #polycystins.
See 🔓 pubmed.ncbi.nlm.nih.gov/30523303/
23) The diagnostic value of genetic testing for #ADPKD is particularly important in suspected de novo mutations (negative family history) and in patients with atypical presentations, which are rare taken individually but are cumulatively common.
See 🔓 pubmed.ncbi.nlm.nih.gov/32690722/
24a) Genetic analysis is indicated in severe renal phenotypes occurring in utero or in early childhood. It can reveal:
👉compound #heterozygosity (2 different mutations in #PKD1)
(cont)
24b)
👉 #digenic disease (a mutation in #PKD1 associated with a mutation in another gene such as #COL4A1, #HNF1B or #PKD2)
👉 contiguous PKD1/TSC2 deletion
25) Absence of a ➕family history occurs in 10%-25% of pts w/#ADPKD.
Beyond potentially missing parental records, genetic analyses are useful here as ADPKD may be related to a de novo mutation, a germline or a somatic #mosaicism, or to combined hypomorphic PKD1 & PKD2 mutations.
26) 5-10% of #ADPKD pts present w/atypical kidney imaging patterns (Mayo class 2). When FHx is negative, patients w/unilateral, segmental, asymmetric or lopsided cystic kidney dz are suspicious for #somatic #mosaicism.
See 🔓 ncbi.nlm.nih.gov/pmc/articles/P… & 🔓 pubmed.ncbi.nlm.nih.gov/28522688/
27a) The genetic #mosaicism corresponds to the coexistence of several cellular genetic lineage in the same individual, because of the occurrence of a post zygotic mutation. A mutation may therefore be present in the kidney tissue but not identified . . .
27b) . . . in the DNA extracted from the leukocytes. If the mutation is present in the germline cells, there is a risk of transmission to the descendants of a classical, homogeneous form of #ADPKD.
See pubmed.ncbi.nlm.nih.gov/25424979/.
28) In summary, in which patients with suspected or confirmed #ADPKD should genetic analyses be prioritized?
See 🔓 pubmed.ncbi.nlm.nih.gov/32690722/.
29) So let's take a breather here. Please RETURN TOMORROW for the remainder of this program and your link to 🆓CE/#CME!
👏 to @EAE_Elhassanr @DrDanMO @nephrohamzaoui @Carmendemigue12 @fjorios @georgehret @torra_roser @korinapena1 @edgarvlermamd @sophia_kidney @KidneyCathy
30) WELCOME BACK! I am @dguerrot from @CHURouen 🇫🇷 , we are talking about the utility of #genetic analysis in #ADPKD, and YOU are earning 🆓CE/#CME! Follow @ckd_ce for expert-authored #accredited #tweetorials in the #nephrology space!
#FOAMed #NephTwitter @MedTweetorials
31) Beyond the diagnostic impact, #genetic analyses in #ADPKD hold important prognostic value for kidney function.
See 🔓 pubmed.ncbi.nlm.nih.gov/32634120/
32) This important study from the #Genkyst cohort demonstrated that #PKD1 (vs PKD2) and the type of PKD1 mutation have a strong influence on renal survival. Patients with PKD1 truncating mutations reach #ESKD at a mean age of 55 years old.
🔓 pubmed.ncbi.nlm.nih.gov/23431072/
33) The addition of genetic results to classical clinical variables (gender, early hypertension & early urologic events) improves prediction of renal prognosis in #ADPKD. This ➡️establishment of the #PROPKD score
See 🔓 pubmed.ncbi.nlm.nih.gov/26150605/ and 🔓 pubmed.ncbi.nlm.nih.gov/28992127/
34) There is a significant genotypic and phenotypic overlap between #ADPKD and autosomal dominant polycystic liver disease (#ADPLD).
See 🔓 pubmed.ncbi.nlm.nih.gov/29038287/
35a) In patients with milder renal phenotype and predominant liver #cysts, mutations in #GANAB, encoding the Glucosidase IIα Subunit, should be considered.
See 🔓 pubmed.ncbi.nlm.nih.gov/27259053/
35b) Cystogenesis in #GANAB-related disease is probably related to a defect in PC1 maturation, because GIIα is essential for the maturation and surface and ciliary localization of #PC1.
36) #Tuberous_sclerosis complex (#TSC) is an autosomal dominant genetic disease affecting multiple organs with wide variability in presentation. See 🔓 pubmed.ncbi.nlm.nih.gov/34399110/
37a) Renal disease is the second leading cause of early death (27.5%) in individuals with #TSC. Five different kidney lesions occur in TSC:
1⃣ benign #angiomyolipoma (70% of affected individuals)
2⃣ epithelial cysts (20%-30%)
(cont)
37b)
3⃣ #oncocytoma (benign adenomatous #hamartoma) (<1%)
4⃣ malignant #angiomyolipoma (<1%)
5⃣ renal cell #carcinoma (<3%)
See 🔓 pubmed.ncbi.nlm.nih.gov/24053982/.
38) The skin is affected in virtually 100% of individuals with #TSC. Skin lesions can be recognized and guide the etiological approach.
See pubmed.ncbi.nlm.nih.gov/24053982/
39) Which genetic diagnosis would you consider in a family with prenatal lethality in male fetuses, and only females affected by polycystic kidneys, with a history of miscarriage ?
A) Fumarate hydratase mutation
B) Cobalamin C deficiency
C) #OFD1 mutation
D) Lowe syndrome
40a) The correct answer is #OFD1, a X-linked dominant #ciliopathy where kidney cysts occur in ~40% of cases. See 🔓 pubmed.ncbi.nlm.nih.gov/35112477/. This is a malformative syndrome is almost constant in OFD1 with characteristic oral anomalies:
40b) cleft lip/cleft palate or both, bifid or multilobed tongue, small hamartomas, multiple & hypertrophied lingual & labial frenula, missing central/lateral incisors, malpositioned & supernumerary teeth, & high susceptibility to caries. May also see skin & extremity anomalies.
41) Parapelvic cysts should be recognized as they can ➡️erroneous dx of #hydronephrosis.
They generally do not require intervention, & this name may be misleading, as parapelvic cysts do not belong to kidney parenchymal cystic diseases.
See 🔓 pubmed.ncbi.nlm.nih.gov/29636957/
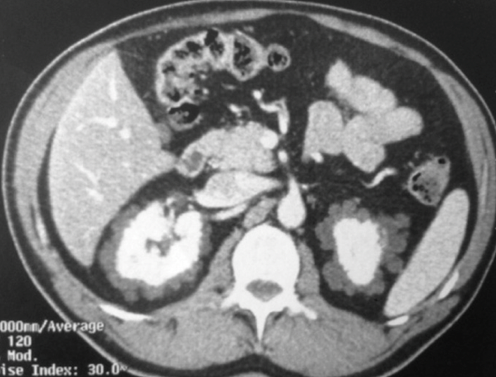
42) Now you are an expert in #kidney #cysts… can you guess what this patient has ?
43) Did you identify renal #lymphangiectasia ? Well done ! Don’t miss this specific finding of benign perirenal cystic appearance.
See pubmed.ncbi.nlm.nih.gov/25709103/.
44) In summary, this is a great flowchart and differential diagnosis table by @ecorneclegall, which I recommend to follow for the diagnosis of #cystic #kidneydisease
From pubmed.ncbi.nlm.nih.gov/30819518/
45) And you have just earned 0.5h 🆓CE/#CME from @academiccme ! I am @dguerrot and you should go to ckd-ce.com/adpkd5/ to claim your certificate!
🏆🥇🥳🎆
Thank you for following this 🧵. Now follow this feed--there's more education to come!

• • •

Missing some Tweet in this thread? You can try to force a refresh
 

Keep Current with @CKD_ce

@CKD_ce Profile picture

Stay in touch and get notified when new unrolls are available from this author!

Read all threads

This Thread may be Removed Anytime!

PDF

Twitter may remove this content at anytime! Save it as PDF for later use!

Try unrolling a thread yourself!

how to unroll video
  1. Follow @ThreadReaderApp to mention us!

  2. From a Twitter thread mention us with a keyword "unroll"
@threadreaderapp unroll

Practice here first or read more on our help page!

More from @ckd_ce

Jan 3
1) Welcome to our #accredited #tweetorial on clinical trial results and emerging data for treatment of Diabetes and CKD #DM in #CKD. I am Brian Rifkin MD, @brian_rifkin, from the Hattiesburg Clinic. #Nephtwitter #Medtwitter #FOAMed
2) This #accredited #tweetorial series on #kidneydisease #CKD is supported by an independent educational grant from the Boehringer Ingelheim/Lilly Alliance. It is not intended for US- or UK-based HCPs. Accreditation statement & faculty disclosures at ckd-ce.com/disclosures/.
3) This activity is accredited for #physicians #physicianassociates #nurses #NPs #pharmacists. Prior programs in this series, still eligible for CE/#CME, can be accessed at ckd-ce.com. FOLLOW US to learn from expert faculty!
Read 41 tweets
Oct 18, 2022
1) Welcome to this new #accredited #tweetorial on “Strategies to Apply Current Clinical Trial Data for SGLT2i to Reduce the Progression of CKD,” authored by our ⭐️tweetorialist Edgar V. Lerma 🇵🇭 @edgarvlermamd Image
2) This program is #accredited for CE/#CME #physicians #physicianassociates #nurses #pharmacists #nursepractitioners & is supported by an educational grant from the Boehringer Ingelheim Pharmaceuticals Inc and Eli Lilly Company. It is intended for healthcare professionals.
3) Faculty disclosures and statement of accreditation are provided at ckd-ce.com/disclosures/. Please FOLLOW @ckd_ce (& @cardiomet_CE!) so you don't miss ANY of our unique serialized #tweetorials, always 🆓, always from expert authors! Prior programs at ckd-ce.com/category/dkd/ .
Read 26 tweets
Sep 13, 2022
1) Welcome to a new #accredited (0.75h CE/#CME) #tweetorial on challenging case presentations for pts with #cardiometabolic disease, #CaReMe #FOAMed.
Our expert author is Claire Davies. @claireyrivs is a specialist diabetes & endocrinology #pharmacist working in Gateshead in 🇬🇧. Image
2) She is a member of UKCPA Diabetes & Endocrinology committee @UKCPADiabetes & works across #diabetes, #endocrinology, & emergency/acute care in Secondary Care. She is currently involved in development of regional guidelines & education to support medicines optimisation for PLWD
3a) This program is intended for healthcare professionals and is supported by an educational grant from Boehringer Ingelheim Pharmaceuticals Inc. and Eli Lilly Company.
Read 36 tweets
Sep 7, 2022
1) Welcome to our new #accredited #tweetorial on the Pathophysiology of #DKD in #T2D: Traditional Teaching and New Insights. Our expert author is Hans-Joachim Anders, MD, @hjanders_hans from @LMU_Uniklinikum of @LMU_Muenchen
2) This #accredited #tweetorial series on the foundations of #kidneydisease #DKD through the lens of #T2D is supported by an independent educational grant from the Boehringer Ingelheim/Lilly Alliance and is intended for healthcare providers.
3) This activity is accredited for #physicians #physicianassociates #nurses #NPs #pharmacists. Past programs still eligible for credit can be found at ckd-ce.com. Faculty disclosures & accreditation statement are at ckd-ce.com/disclosures/. FOLLOW US!
Read 48 tweets
Aug 23, 2022
1a) Welcome to one of our favorite events on the @academiccme #accredited #tweetorial feeds: a takeover of our programming from @GoggleDocs! The focus of this tweetorial is data from #ADA2022 on #SGLT2i beyond cardiac disease. Our expert author is @GoggleDocs' @drpatrickholmes. Image
1b) Check out our other #ADA2022 recap #tweetorial by new @GoggleDocs family member @Ines_VFonseca who focused on the cardiac data presented: ckd-ce.com/dkd13_ada22a/
2) This program is #accredited for CE/#CME #physicians #physicianassociates #nurses #pharmacists #nursepractitioners & is supported by an educational grant from the Boehringer Ingelheim Pharmaceuticals Inc and Eli Lilly Company. It is intended for healthcare professionals.
Read 59 tweets
Aug 3, 2022
1) Welcome to our new #accredited #tweetorial which is Part 2 of a 2-part "highlights" program on new #SGLT2i & #DKD data presented at @ERAkidney #ERA22. #Physicians #nurses #pharmacists #PAs and #NPs can all earn 0.5h CE/#CME by following this 🧵!
2a) @ERAkidney #ERA22 is a primary international scientific symposium for interaction and exchange among basic scientists and clinicians working in #Nephrology. Our expert author is Dr. Clara García Carro (@ClaraGCarro) from San Carlos Clinical Hospital (Madrid, Spain).
2b) Be sure to check out the first half of this #ERA22 recap from my colleague @shbermejo, and get MORE 🆓CE/#CME at ckd-ce.com/dkd12_ERA22a/. Join me in following @ckd_ce for the BEST in #cardiorenal education delivered entirely by #tweetorial!
Read 48 tweets

Did Thread Reader help you today?

Support us! We are indie developers!


This site is made by just two indie developers on a laptop doing marketing, support and development! Read more about the story.

Become a Premium Member ($3/month or $30/year) and get exclusive features!

Become Premium

Don't want to be a Premium member but still want to support us?

Make a small donation by buying us coffee ($5) or help with server cost ($10)

Donate via Paypal

Or Donate anonymously using crypto!

Ethereum

0xfe58350B80634f60Fa6Dc149a72b4DFbc17D341E copy

Bitcoin

3ATGMxNzCUFzxpMCHL5sWSt4DVtS8UqXpi copy

Thank you for your support!

Follow Us on Twitter!

:(