Daniel Gewolb, MD Profile picture
Jun 10 14 tweets 10 min read Twitter logo Read on Twitter
Differential Diagnosis for cortically based masses

P-DOG 🐶

1️⃣Pleomorphic Xanthoastrocytoma (PXA)
2️⃣Dysembryoplastic neuroepithelial tumor (DNET)
3️⃣Oligodendroglioma
4️⃣Ganglioglioma
#Neurology #neurosurgery #peds #radres #neurotwitter @The_ASPNR @TheASNR #MedTwitter ImageImageImageImage
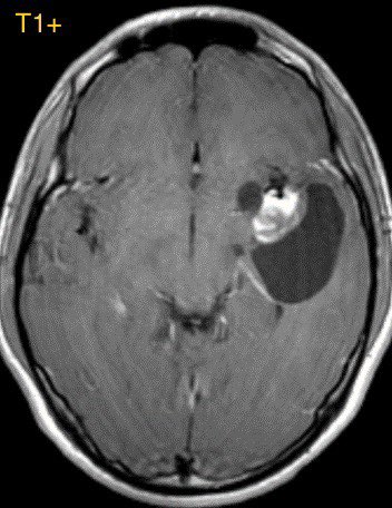
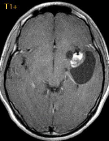
1️⃣PXA

Originate in the subpial astrocytes typically in children and young adults often with a seizure history

Temporal lobe is most common
Imaging (variable):

▶️Classically appear as a cortically based mass with cyst and enhancing nodule and overlying DURAL TAIL or enhancing leptomeninges

▶️Calcifications are RARE ImageImage
▶️Can look very similar to ganglioglioma though calcifications are rare in PXA and if you’re lucky enough to have a dural tail/enhancing leptomeninges then PXA is favored

▶️Companion case of another PXA below ImageImageImageImage
2️⃣DNET

▶️Cortically based mass in children and young adults presenting with long-standing seizures

▶️Most frequently occurs in temporal and frontal lobes
Imaging:

▶️Classically presents as a well demarcated cortically based “BUBBLY” mass with HYPERINTENSE RIM AROUND CYSTS ON FLAIR ImageImageImage
▶️Usually there is NO ENHANCEMENT (though can have punctate or ring enhancement). However, when enhancement is seen, consider the possibility of more aggressive tumors.

▶️Companion case below of another DNET ImageImageImage
3️⃣Oligodendroglioma

▶️Cortically based mass mainly in ADULTS

▶️Location: FRONTAL and temporal lobes most common
Imaging:
▶️Classically presents as a gyriform cortical/subcortical based mass with GYRIFORM OR CLUMPED CALCIFICATIONS

▶️Consider this diagnosis in an ADULT WITH A CALCIFIED FRONTAL MASS ImageImageImageImage
4️⃣Ganglioglioma

▶️Occurs in children and young adults

▶️Location: Temporal lobe (most common)
Imaging (variable and can look very similar to PXA):

▶️Classically presents as a cystic and solid mass in the temporal lobe in a child/young adult with seizures

▶️Presence of CALCIFICATIONS & LACK OF DURAL TAIL may help to differentiate from PXA ImageImageImage
Companion case of another ganglioglioma ImageImageImageImage
💡 Learning points/summary:

P-DOG 🐶

1️⃣PXA: Cyst w/ enhancing mural nodule with DURAL TAIL/leptomeningeal enhancement and NO CALCIFICATIONS

2️⃣DNET: BUBBLY well demarcated mass with NO ENHANCEMENT ImageImageImageImage
3️⃣Oligodendroglioma: Gyriform mass in frontal lobe of an ADULT w/ CALCIFICATIONS

4️⃣Ganglioglioma: Cyst w/ enhancing nodule in temporal lobe w/ CALCIFICATIONS and NO DURAL TAIL ImageImageImage

• • •

Missing some Tweet in this thread? You can try to force a refresh
 

Keep Current with Daniel Gewolb, MD

Daniel Gewolb, MD Profile picture

Stay in touch and get notified when new unrolls are available from this author!

Read all threads

This Thread may be Removed Anytime!

PDF

Twitter may remove this content at anytime! Save it as PDF for later use!

Try unrolling a thread yourself!

how to unroll video
  1. Follow @ThreadReaderApp to mention us!

  2. From a Twitter thread mention us with a keyword "unroll"
@threadreaderapp unroll

Practice here first or read more on our help page!

More from @daniel_gewolb

Jun 9
Tuberculous Meningitis in this child w/ fevers and lethargy

💡 COMMUNICATING HYDROCEPHALUS with DEEP INFARCTION is highly suggestive of granulomatous meningitis
#neurology #MedTwitter #neurotwitter @TheASNR #MedEd #futureradres ImageImageImageImage
▶️In children, primary TB infection is commonly associated w/ meningitis

▶️Exudative meningitis of the basal cisterns can obstruct the normal CSF flow resulting in hydrocephalus
▶️Infectious vasculitis or spasm can result in infarction (particularly of the basal ganglia)

▶️Cranial nerve palsy can also be seen due to infectious neuritis
Read 4 tweets
Jun 8
What is the most likely diagnosis in this 30 y/o w/ history of discitis/osteomyelitis presenting w/ fevers, chills, and neck pain? 🧠
#ent #Neurosurgery #Neurology #medtwitter #MedEd @The_ASSR #NeuroTwitter ImageImageImageImage
Answer: Longus Colli Calcific Tendinitis

▶️Etiology: inflammatory reaction in response to deposition of calcium hydroxyapatite crystals (just like in the rotator cuff)

▶️This case is a bit tricky as the history is somewhat misleading (though it often is in radiology)
Imaging:

▶️Sagittal STIR shows marked retropharyngeal/prevertebral edema (yellow arrow) and focal hypointensity from the hydroxyapatite crystals (green arrow)

▶️Axial T2 again shows the marked edema ImageImage
Read 9 tweets
Jun 7
Interesting case, what is the most likely diagnosis in this 25 y/o F w/ 1 year history of migraine headaches, left hand numbness, and b/l retinal artery occlusions? 🧠 👁️
#Ophthalmology #neurology #neurosurgery #neurotwitter #MedEd @TheASNR #MedTwitter ImageImageImageImage
Answer: Susac syndrome 🧠

▶️Susac syndrome is a microangiopathy (likely autoimmune affecting the precapillary arterioles) with a strong female predilection, typically occurring in women age 20-40
Clinical presentation:

Classic triad
1️⃣Encephalopathy
2️⃣Branch retinal artery occlusions
3️⃣Hearing loss

💡Though most patients do not present with the complete triad (it may develop over years)
Read 7 tweets
May 27
Tips & tricks of DWI to help narrow the differential

Ddx:
Stroke
Abscess
Hypercellular tumor
Hematoma
Epidermoid cyst
Encephalitis
Seizure
Demyelination
Toxic/metabolic disorders
CJD
Other stuff I’m forgetting
#Neurology #neurosurgery #radres #MedTwitter #MedEd @TheASNR ImageImageImageImage
Anything that traps fluid can restrict diffusion! Here are some tricks I use to narrow the ddx

1️⃣STROKE
Cytotoxic edema due to trapped intracellular fluid leads to restriction

Look for wedge shaped restriction in a vascular territory Image
2️⃣ABSCESS
Trapped purulent material leads to LIGHT BULB BRIGHT restriction

DWI is excellent for differentiating tumor from pyogenic abscess as the abscess will have CENTRAL restriction

Abscess should also have vasogenic EDEMA, ENHANCEMENT, and possible dual rim sign (T2 & SWI) ImageImage
Read 14 tweets
May 25
Child with a history of dental caries presents with a firm mass at the angle of the mandible. What is the most likely diagnosis? 🤔 🧠

#neurotwitter #ent #peds #Neurology #neurosurgery @ASHNRSociety @The_ASPNR #MedTwitter ImageImageImageImage
Answer: Sclerosing osteomyelitis of Garré

▶️Biopsy showed a reactive and reparative osseous process and bone culture grew oral flora (though cultures are usually negative)
▶️SOG is thought to be due to a low grade infection possibly 2/2 dental disease. However, there should be no signs of acute infection (suppuration, bony sequestration or draining tracts)
Read 7 tweets
May 23
Interesting case in this patient with acute right-sided weakness

#neurorad #neurotwitter #meded #Neurosurgery #Neurology @TheASNR @RSNA #medtwitter ImageImageImageImage
Can you determine the diagnosis off the CT?
▶️Initial non-con CT shows a 3cm hyperdense lobulated extra-axial mass in the expected region of the left MCA bifurcation, consistent with a giant aneurysm. There are associated peripheral calcifications

▶️ What is the cause of the surrounding hypodensity?
Read 10 tweets

Did Thread Reader help you today?

Support us! We are indie developers!


This site is made by just two indie developers on a laptop doing marketing, support and development! Read more about the story.

Become a Premium Member ($3/month or $30/year) and get exclusive features!

Become Premium

Don't want to be a Premium member but still want to support us?

Make a small donation by buying us coffee ($5) or help with server cost ($10)

Donate via Paypal

Or Donate anonymously using crypto!

Ethereum

0xfe58350B80634f60Fa6Dc149a72b4DFbc17D341E copy

Bitcoin

3ATGMxNzCUFzxpMCHL5sWSt4DVtS8UqXpi copy

Thank you for your support!

Follow Us on Twitter!

:(