, 19 tweets, 7 min read Read on Twitter
Hoy voy a intentar explicar la fascitis plantar, la principal causa de dolor de talón en el adulto, y muy común (seguro que la habéis tenido o conocéis a alguno que la haya tenido). @ojedathies, ahí tienes otro hilo de los prometidos...
La fascia plantar es una capa fina de tejido conectivo que tiene como objetivo soportar la planta del pie. Una fascitis es su inflamación en su origen en el calcáneo.
La clínica que suele dar es de dolor en el talón, sobretodo recién levantado o al final del día si hemos estado mucho rato de pie. Suele calmarse al rato de caminar.
Pero, ¿por qué se inflama esta fascia?
La fascia plantar suele inflamarse por una sobrecarga crónica o por traumatismos repetitivos. La obesidad, determinados deportes (running o danza, principalmente) y una musculatura del tríceps sural tensa son factores de riesgo.
El paciente tendrá dolor a la palpación de la zona de inserción de la fascia (tuberosidad medial del calcáneo).
Además, notaremos una limitación de la flexión dorsal del tobillo. Para saber si esta se debe a rigidez del tobillo o a contractura del tríceps sural, la realizaremos en flexión de rodilla. Si la limitación está en extensión de rodilla pero no en flexión, tendremos contractura.
A esto último, por cierto, se le llama test de Silfverskiöld, un traumatólogo sueco con una vida muy interesante del que hablaré otro día de estos... Os dejo con un vídeo de cómo se hace el test:
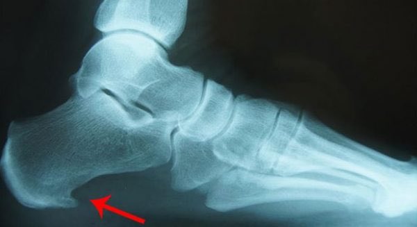
El diagnóstico es clínico, teniendo estos datos ya lo tenemos. A priori, no necesitamos nada más. Pero si queremos hacer alguna prueba de imagen, nos bastará normalmente con una radiografía simple. Aquí podremos ver, habitualmente, el famoso espolón calcáneo
Y en este punto nos encontramos ante lo más difícil de esta patología... Explicar al paciente de que lo que le duele es la fascia, no el espolón. Que el espolón no duele, que es consecuencia de la fascitis (por el proceso inflamatorio, la inserción de la fascia se calcifica).
Y esto también es algo que médicos de cabecera tiene que tener claro para no dar información errónea al paciente. El espolón no duele, y el espolón no se opera. En breve veremos qué se opera...
Porque antes del tratamiento quirúrgico hay que pasar por el conservador. Y este consiste en antiinflamatorios, rehabilitación e infiltraciones de la fascia plantar. Esto último, por cierto, recomendable desde la atención primaria.
Por cierto, recomendable la página de la @SERMEF_es, donde hay ejercicios sencillos de rehabilitación sencillos con los que se pueden empezar... sermef-ejercicios.org/webprescriptor…
Otra cosa que puede ayudar es un talón ortopédico, que a la vez que relajan el tríceps sural nos descarga la zona de apoyo de la inserción de la fascia.
Y como última línea del tratamiento conservador, podemos probar las ondas de choque. Ojo, tardan en hacer efecto y es un tratamiento doloroso, por lo que mejor probarlo cuando ya llevamos 6 meses de todo lo demás y no tenemos mejoría.
¿Y la cirugía que? Pues podemos hacer dos cosas diferentes. La más lógica, actuar sobre la fascia. Se hará una liberación de la misma de forma abierta, percutánea o artroscópica si no notamos mejoría con el tratamiento conservador pasados 9-12 meses.
Pero si el motivo de la fascitis es una contractura del tríceps sural (es decir, si el test de Silfverskiöld es positivo), podemos hacer una alargamiento de gastrocnemios. Se puede hacer a muchos niveles, yo personalmente las hago a nivel proximal medial.
Después de la cirugía, por cierto, más rehabilitacion, que no falte...
Y bueno, a grandes rasgos eso es lo que os tenía que contar de la fascitis plantar. Espero que os haya gustado, y si es así, dadme unos likes y unos retweets, va, que no se diga 😉. ¡Hasta la próxima!
Missing some Tweet in this thread?
You can try to force a refresh.

Like this thread? Get email updates or save it to PDF!

Subscribe to Dr. García-Jiménez
Profile picture

Get real-time email alerts when new unrolls are available from this author!

This content may be removed anytime!

Twitter may remove this content at anytime, convert it as a PDF, save and print for later use!

Try unrolling a thread yourself!

how to unroll video

1) Follow Thread Reader App on Twitter so you can easily mention us!

2) Go to a Twitter thread (series of Tweets by the same owner) and mention us with a keyword "unroll" @threadreaderapp unroll

You can practice here first or read more on our help page!

Follow Us on Twitter!

Did Thread Reader help you today?

Support us! We are indie developers!


This site is made by just three indie developers on a laptop doing marketing, support and development! Read more about the story.

Become a Premium Member ($3.00/month or $30.00/year) and get exclusive features!

Become Premium

Too expensive? Make a small donation by buying us coffee ($5) or help with server cost ($10)

Donate via Paypal Become our Patreon

Thank you for your support!