annals.org/aim/fullarticl… @AnnalsofIM
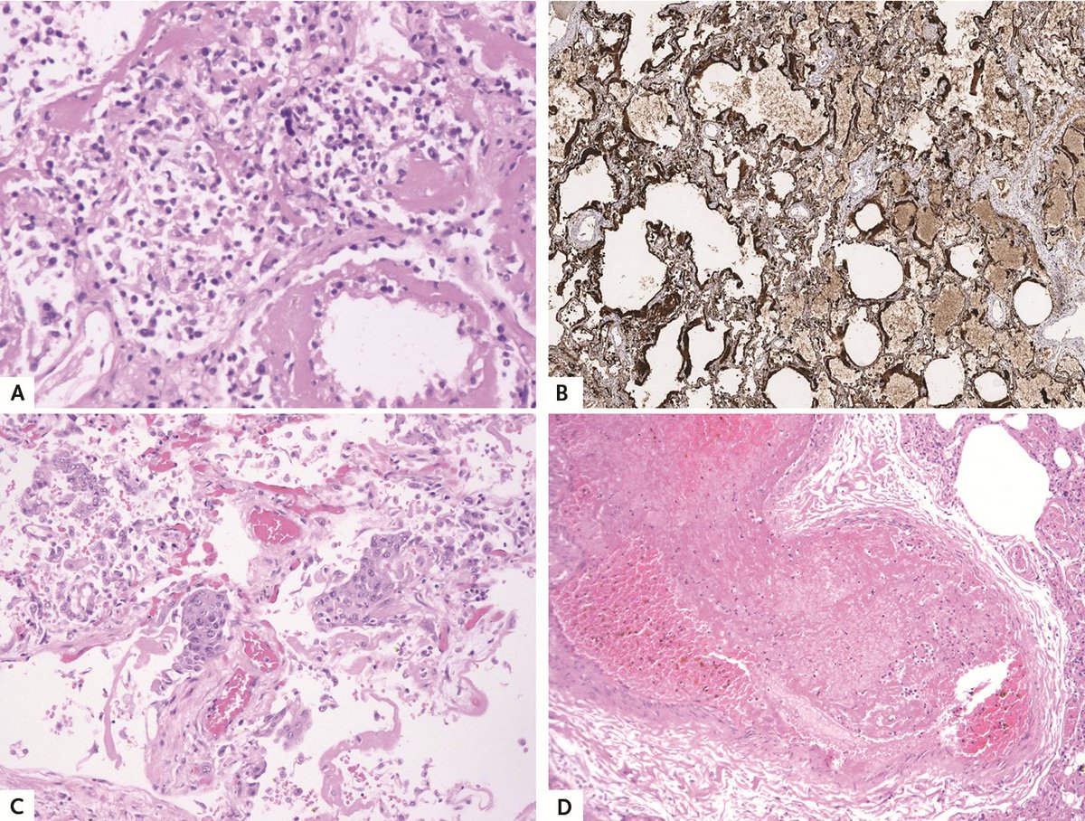
7/12 had unsuspected deep vein thrombosis; pulmonary embolism was the cause of death in 4; diffuse, multi-organ high viral RNA titer



nature.com/articles/d4158… @NatureNews by @heidiledford



Keep Current with Eric Topol
This Thread may be Removed Anytime!
Twitter may remove this content at anytime, convert it as a PDF, save and print for later use!
1) Follow Thread Reader App on Twitter so you can easily mention us!
2) Go to a Twitter thread (series of Tweets by the same owner) and mention us with a keyword "unroll"
@threadreaderapp unroll
You can practice here first or read more on our help page!