*POSTERIORLY DIRECTED MITRAL REGURGITATION*

How many causes of posterior MR do you know?

Let's take a look in this mini 🧵

But...no cheating...vote first!

#echofirst #cardiotwitter #MedTwitter @ASE360 @BSEcho @TheBJCA @BJCA_Women_LTFT @global_wic @WessexSpRs
1. Anterior MV prolapse

Probably the first thing that occurs to most people

AMVL prolapse is less common than PMVL prolapse
Here you can see the highly eccentric, posteriorly directed jet of MR
This is the AP3Ch view showing the same abnormality
2. Systolic Anterior Motion (SAM)

SAM of the AMVL tends to (not always) produce posteriorly directed MR; important to remember that SAM is not the only reason a HCM patient may have MR

PLAX here is not mine, it's from an excellent lecture (on YouTube) by Dr @KyleWKlarich
Here you can see the posteriorly directed MR jet on colour Doppler imaging
Here is the still image
3. Ischaemic MR due to posterior leaflet restriction

Inferolateral / inferoposterolateral MI often produces a regional LV abnormality that affects the posteromedial papillary muscle & affects PMVL >> AMVL. The apical PM displacement tethers the PMVL, causing MR

PLAX view here
It may look like there's AMVL prolapse, but if you look closely you'll see the PMVL barely moves

Issue here is PMVL tethering due to inferolateral MI, causing apical displacement of PM pap muscle, thus tethering the leaflet
As a result, we see this highly eccentric, posteriorly directed MR jet
Here's a still frame of that MR jet
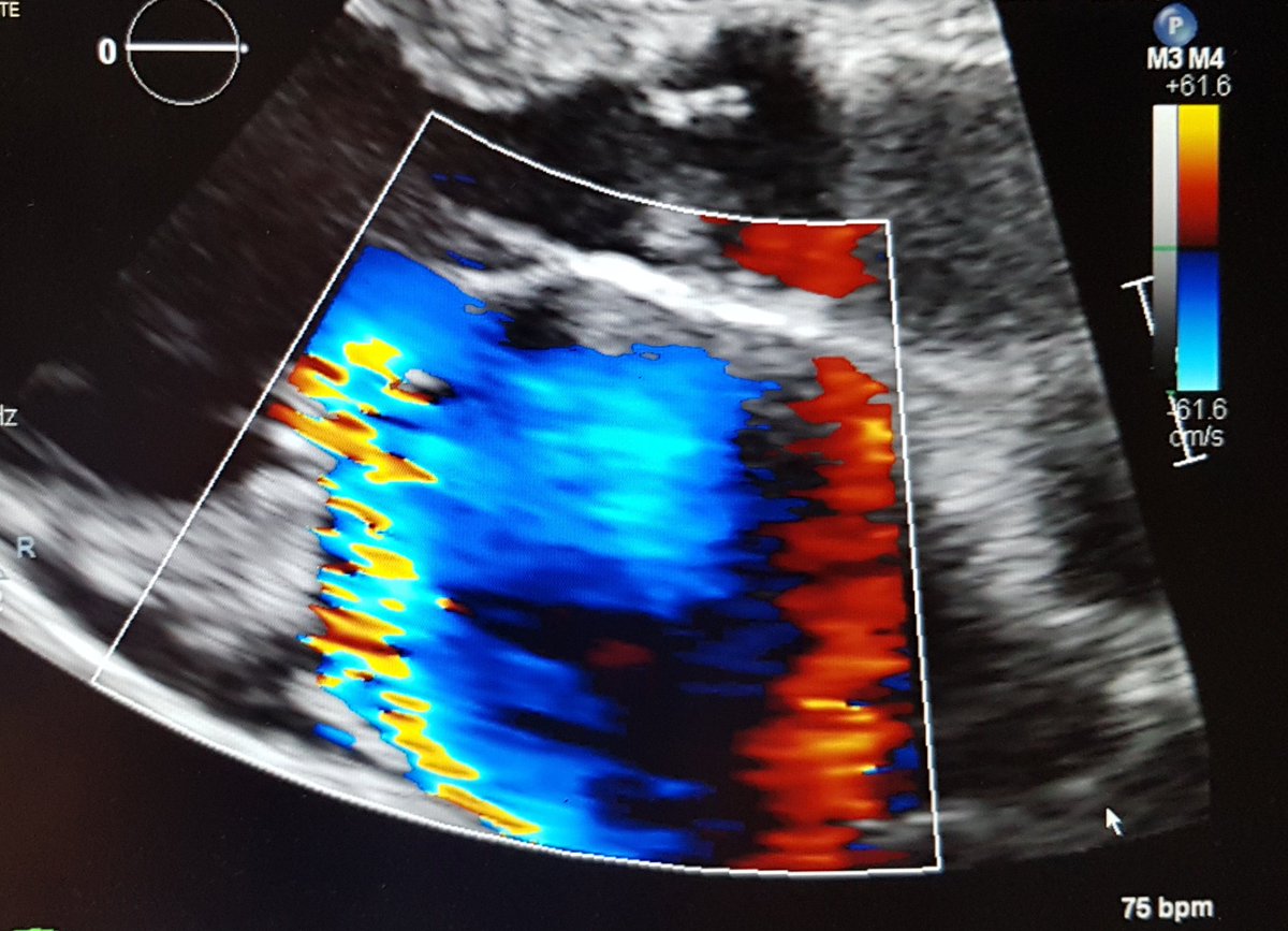
4. Atrial functional MR (AF-MR)

Huge atrial enlargement. There are multiple postulated mechanisms for MR in patients with AF - one is posterior leaflet tethering
Again, posteriorly directed MR jet seen here in AP4Ch view
MR still image...
A nice review on AF-MR in JACC Imaging details mechanisms of MR in such patients

@Thind888 @HiteshiKc @suheildhanse @senguptasp @AJamilTajik @renujain19 @BonitaEcho @vonBardelebenRS @doconmoney @SachinGoelMD
These are the 4 main causes of posterior MR that I'm aware of

If you know others, add to the thread! 😁

• • •

Missing some Tweet in this thread? You can try to force a refresh
 

Keep Current with Benoy Shah MD

Benoy Shah MD Profile picture

Stay in touch and get notified when new unrolls are available from this author!

Read all threads

This Thread may be Removed Anytime!

PDF

Twitter may remove this content at anytime! Save it as PDF for later use!

Try unrolling a thread yourself!

how to unroll video
  1. Follow @ThreadReaderApp to mention us!

  2. From a Twitter thread mention us with a keyword "unroll"
@threadreaderapp unroll

Practice here first or read more on our help page!

More from @dr_benoy_n_shah

Jan 6
Electronic patient records (EPR) - I've seen some negative tweets recently about how cumbersome they can be...but EPR is here to stay so it's important to get them right

I'm fortunate to work somewhere with the most amazing EPR set-up...check it out!

A brief 🧵...
Our hospital's IT team have built 1 program from which we get all these options:

E-documents (clinic letters, memos etc)
Blood results
X-rays / scans
Drug chart
Request tests (bloods, imaging, micro, everything)
Link to primary care records
Observations (for in-patients)
There's so much more there too..."Outpatients" allows us to see what we have booked for upcoming clinics including procedural clinic lists like stress echo.

EDMS has the scanned records after hospital admissions

There's even a direct link to UpToDate!
Read 8 tweets
Dec 11, 2021
**VALVE CASE OF THE MONTH**
@BrHeartValveSoc

Last case of 2021!

If EVER you needed an example of why not to judge a 3-dimensional structure with 2-dimensional imaging...this it it!

I think you'll like this one...😁

#echofirst #cardiotwitter #MedTwitter
Male, late 60s, underwent biological MVR (29mm) 11 yrs previously for
Severe MR. Has permanent AF & VVIR pacemaker

Admitted to local hospital with breathlessness

This is admission chest x-ray
Treated with diuretics, offloaded successfully

Rpt CXR after a week - nearly normal
Read 19 tweets
Dec 11, 2021
The #NHS and GMC expect doctors to speak up whenever they have concerns regarding patient safety...

Yet 'whistleblowers' (WB) continue to be treated abysmally, almost as if they're the problem - see latest example here

A brief 🧵...

bbc.co.uk/news/uk-englan…
Probably the most famous WB is Stephen Bolsin, the cardiac anaesthetist that was highly concerned by very high mortality rates in paediatric ❤ surgery in Bristol in late 1980s / early 1990s

He had to leave his job & could not find another job in 🇬🇧

en.wikipedia.org/wiki/Stephen_B…
So he emigrated to Australia. The entire concept of 'clinical governance' largely originated due to his work and the subsequent Kennedy report
Read 9 tweets
Oct 18, 2021
Well, #EACTS2021 may be over...but I'm not done! 😆

One of the most important sessions was on Women In Cardiothoracic Surgery

I suppose I should clarify - not writing a 🧵on this for likes or 'virtue signalling' - my wife's journey through her training gave me some insights...
#EACTS2021
Opening talk on why @EACTS needs a womne's committee from @JolandaKluin - this was a great talk to set the tone for the session
#EACTS2021
Prof Kluin discussed the many challenges that can face women in medicine, in academic medicine, in surgery and in cardiac surgery
Read 25 tweets
Oct 15, 2021
#EACTS2021

This 🧵is related to Thursday's symposium on Edwards' Inspiris Resilia aortic bioprosthetic valve

The hospital in which I work used this valve for ~2yrs before stopping, so I was intrigued to hear the experts

A thought-provoking session!
@rafasadaba @GilbertTangMD
#EACTS2021

First talk from Prof Takkenberg, who needs no introduction to any of you. A very important talk in which she questioned the primacy of RCTs and spoke up on the importance of 'real world' registry data, often dismissed as poor quality
#EACTS2021

I learnt a new acronym today - GOBSAT!
Good Old Boys Sat Around the Table!
i.e. expert consensus, LoE - C! Love it!

She emphasised that a lot of our evidence, esp in VHD, is GOBSAT!

@mirvatalasnag @mrjzacharias
Read 29 tweets
Oct 15, 2021
#EACTS2021

Good morning everyone!

Spoilt for choice, unsure which session to attend but I am at Controversies in Transcatheter valve treatments

First talk is on TAVI in nonagenarians (>90 yrs old) - is there a survival benefit? by @RoxanneStL

Great and vital question!
#EACTS2021

If someone has already lived far past the average life expectancy in their country and is now into their 90s, can we *promise* the patient that TAVI will make them live longer?

In our centre, we feel that patients >90 need to be very motivated to have a procedure
#EACTS2021

Retrospective study looking at everyone age >90 that had TAVI & then matched them to the Quebec general population that are >90 years
Read 35 tweets

Did Thread Reader help you today?

Support us! We are indie developers!


This site is made by just two indie developers on a laptop doing marketing, support and development! Read more about the story.

Become a Premium Member ($3/month or $30/year) and get exclusive features!

Become Premium

Don't want to be a Premium member but still want to support us?

Make a small donation by buying us coffee ($5) or help with server cost ($10)

Donate via Paypal

Or Donate anonymously using crypto!

Ethereum

0xfe58350B80634f60Fa6Dc149a72b4DFbc17D341E copy

Bitcoin

3ATGMxNzCUFzxpMCHL5sWSt4DVtS8UqXpi copy

Thank you for your support!

Follow Us on Twitter!

:(