1/
Thread: Ultrasound for CVC placement - more than just follow the needle tip and confirm the wire.

There are many potential uses of ultrasound during CVC placement, shown here. Not all are essential.

#POCUS #IMPOCUS #FOAMED #FOAMUS Image
2/
Pre-procedure
Lung sliding on ipsilateral side - for a comparison to post-procedure
-use linear probe
-apical and lateral/anterior
3/
Check vessel
-confirm compressibility
-understand axis of vessel
-check prox and distal for stenoses
-optimize depth and gain (this image may be undergained)
4/ Vessel access
-Most often done in short axis. Long axis is fine too
-This is the part that requires the most practice
-If not seeing the needle tip, slide probe back/forth while pushing needle back/forth slightly (not advancing needle).

Example of long axis:
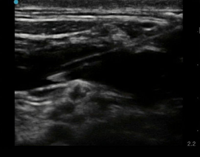
5/
In this case, a nerve bundle is seen! This reminds us of the importance of identifying and avoiding neighboring key structures, such as nerves. Nerve injury has been reported following central venous cannulation.

pubmed.ncbi.nlm.nih.gov/3047455/ Image
6/
Vessel Access (continued)
When the nerve was noticed to be in a precarious position, the needle was repositioned to avoid accidental nerve injury. Imagine trying to avoid this nerve without ultrasound!
7/ Wire advancement
A common point of attempt failure occurs when probe is dropped and wire is threaded. Slight movement of needle may lead wire to be advanced into tissue rather than vessel. This problem can be avoided by real-time visualization of wire advancement into vessel.
8/
Wire advancement (continued)

The wire is seen to pass into the vein smoothly. In this case, the Wire-in-Needle Technique was used. pubmed.ncbi.nlm.nih.gov/26281803/

@HeyDrNik
9/
**Wire confirmation in the vein in short axis
-identify vein and artery. Ensure wire in vein.
-scan proximal (closer to heart) and ensure wire is within vessel as far as can be seen
10/
**Wire confirmation in the vein in long axis
-identify vein and artery. Ensure wire in vein.
-scan proximal (closer to heart) and ensure wire is within vessel as far as can be seen
11/
Rule out wire in contralateral venous system (optional, often impractical due to need for use linear probe over non-sterile area). If you do see the wire in contralateral subclavian or IJ (as shown here), withdraw wire to 10 cm and readvance.
12/
Visualize J tip in cava/RA
This step may prevent venous malpositioning. If wire in SVC/RA, the catheter will go in the right direction. Requires 2nd operator w phased array probe. Can be practical in some settings.

See clip here of J tip at cavoatrial junction
13/
How common is venous malpositioning? and how often can wire be seen well?

Rates ~5-7% of CVC venous malpositioning (most often in contralateral IJ, SC, or innominate). Probably lower for RIJ and higher for SC and LIJ. Preventing this would be useful.
pubmed.ncbi.nlm.nih.gov/17342519/
14/
This study pubmed.ncbi.nlm.nih.gov/24052186/
quantified the ability of this technique to detect the wire in the right heart chambers.

When wire not seen, 5/6 were incorrectly placed.
When wire seen, 91/92 correctly placed.

Overall incidence of malpositioning ~6%. ImageImage
15/
Is it practical? Here is a study that used this strategy and found similar success rates, similar duration of procedure, and reduced time to central line use. journals.sagepub.com/doi/full/10.11…

Not aware of any data showing reduces incidence of venous malpositioning with this method.
16/ Back to the CVC images...

Agitated saline flush to right heart. Can be done with a single 10 cc sterile flush after shaking/flicking to induce microbubbles. Note: still be sure to remove MACRObubbles from the syringe (i.e. visible air).

Is CVC ok to use?
No we need a CXR?
17/
This study found an excellent concordance between ultrasound (wire confirmation in vein plus agitated saline) and CXR and suggested CXR may not be needed. journals.lww.com/ccmjournal/Abs…

If you verify +saline flush in RA, what is your approach to CXR and OKing the line?
18/
A practice style: ok line based on flush, but still obtain CXR. Flush verifies catheter in venous system, but not necessarily correct position. Others caring for pt may rely on CXR and may not be ok w/o CXR.

Many opinions on this. See emcrit.org/pulmcrit/does-… @PulmCrit
19/
Post-procedure lung sliding (ipsilateral). Again, remember to check multiple points (apex and lateral/anterior)
20/ An additional method worth knowing for subclavian CVCs is the PART (Pleural avoidance with rib trajectory) method.

Be sure to check it out
ultrasoundpodcast.com/2017/11/part-m…
pubmed.ncbi.nlm.nih.gov/28359216/

@msenussiMD
21/
SHM guidelines recommend many of the views shown above
(real time ultrasound for vessel access, wire confirmation, saline flush, and post-procedure lung sliding) journalofhospitalmedicine.com/jhospmed/artic… ImageImage
21/
Summary: ultrasound for CVC placement may help
-Reduce # of attempts
-Reduce injury to nearby structures
-Reduce likelihood of arterial placement
-Reduce likelihood of venous malposition
-Verify for earlier “OK to use”
This was supposed to say "Do we need a CXR?"

• • •

Missing some Tweet in this thread? You can try to force a refresh
 

Keep Current with IM POCUS Focus

IM POCUS Focus Profile picture

Stay in touch and get notified when new unrolls are available from this author!

Read all threads

This Thread may be Removed Anytime!

PDF

Twitter may remove this content at anytime! Save it as PDF for later use!

Try unrolling a thread yourself!

how to unroll video
  1. Follow @ThreadReaderApp to mention us!

  2. From a Twitter thread mention us with a keyword "unroll"
@threadreaderapp unroll

Practice here first or read more on our help page!

More from @IMPOCUSFocus

15 Nov
Let's talk about placement of small bore nasoenteric feeding tubes and use of ultrasound for this (A thread)

Scenario: Pt with gastroparesis and COVID/ARDS, planning to prone, want post-pyloric tube. No dedicated team for this. Can we place safely w #POCUS guidance?

1/
How is small bore feeding tube (SBFT) different from standard NG?

Narrower (6-8 Fr vs 14-18 Fr), more flexible (but w rigid stylet for placement), longer. Thus: more comfortable, gastric or post-pyloric, ineffective for suction, prone to clogging, prone to PTX if placed in lung.
Some methods used for placement
1) Blind placement - NOT RECOMMENDED. 1-2% risk of PTX
2) 2 radiograph method (safe but time consuming)
3) Capnometry
4) Endoscopic visualization
5) Electromagnetic
6) Fluoroscopic
7) Ultrasound?

Nice article on this: med.virginia.edu/ginutrition/wp…

3/
Read 31 tweets
9 Mar
1/
Happy Monday everyone! We have a special case for you today written by UPMC PGY2 #POCUS enthusiast @MikeTao15.

A 52 yo M with hx of EtOH/HCV cirrhosis, VTE on Eliquis, HFrEF presents w worsening abd distention and pain. He is disoriented and unable to give much history.
2/
Cirrhosis previously complicated by esophageal varices, hepatic encephalopathy, and ascites. No follow up since last hospital admission at outside facility ~1 year ago. Has not been taking meds.

Vitals in the ED: Temp 38.1, HR 90, BP 98/70, Pulse Ox 96% on 2L
3/
He is lethargic, arousable to voice and oriented to self only
+scleral icterus
Cardiac + pulmonary exams normal
Abdomen distended, diffusely tender, no rebound/guarding
2+ b/l edema to thighs
Jaundiced, scattered ecchymoses
+asterixis
Read 36 tweets
28 Feb
Ever found DVT POCUS challenging? We do.

Here is a #Tweetorial on #POCUS for Lower Extremity DVT assessment. Let’s walk through a case and discuss common questions that arise.

50s f no PMH presenting to the ED on a Friday evening with right leg swelling and redness...

1/
History/exam/labs:

No travel, surgeries, immobilization. No dyspnea, CP. No meds. No FH of VTE. no tobacco.

HR 88 SpO2 98% RA BP 160/90 T 37.

Exam unremarkable other than 2+ LE edema erythema and tenderness from right ankle to knee.

CBC/BMP/coags normal

2/
Wells-DVT score 1 (for pitting edema confined to symptomatic leg), with a moderate pre-test probability for DVT.

It is Saturday. Formal vascular study (FVS) is not available until Monday. D-dimer is considered. Would you check D-dimer in this case? (poll)

3/
Read 39 tweets
11 Jan
1/
After a break for the new year, we are back with a case of #POCUS and abdominal distension.

59 y/o m with no medical history presenting with increasing abdominal girth and now altered mental status.

#IMPOCUS
2/
HPI:
well until 3 months ago. Since then, progressive fatigue, nausea, mild diffuse itching without rash. Few weeks of early satiety, poor PO intake, and now increasing abdominal girth. Last BM 3 days ago. No vomiting. Weight unchanged over 3 months. No fevers/chills.
3/
No home meds. 2-3 etoh drinks per day (none for a few wks). Unable to work due to symptoms. Past 1-2 days he has become confused and unable to ambulate.
Read 30 tweets
27 Sep 19
A lines, B lines, Consolidation… the ABCs of Lung Ultrasound

But what do they really mean?

Here we attempt a #tweetorial presenting a way of thinking about common patterns seen on lung ultrasound.

See table here for a summary, and thread below for details

#POCUS

1/
We will start with a hypothetical case for illustration
65 y/o f w HFpEF, COPD admitted 4 days ago with acute pancreatitis (now resolved). You are prepping her for discharge but she is now short of breath/hypoxic requiring 4 L O2.

2/
Reportedly coughed a lot after dinner yesterday. Has not gotten any inhalers or antiHTN meds this hosp stay.
Net positive 4L. HR 88 SpO2 90% 4L BP 165/90 RR 22 T 99.8. WBC 22 (from 12 a day ago).
JVP not seen RRR, +S1/S2, 2/6 SEM
Bibasilar crackles, No LE edema. BNP 150.

3/
Read 19 tweets
3 Jul 19
IVC image acquisition #IMPOCUS #MedTweetorial.

These 2 IVC M-mode images were obtained from the same patient 10 seconds apart. How could they be so different?

1/
60 m with hx of COPD, HFpEF, admitted w LLL PNA s/p abx and 1 L LR. HR 118 BP 110/70. IVC US was performed as a piece of info in determining whether to administer more IVF.

Measurement 1: 2.35-->0.92 (65% collapse)
Measurement 2: 2.22-->2.09 (5% collapse)

Why so different?

2/
First of all, how do you look at the IVC?
A common method is subxyphoid long axis, B mode or M mode. See below
-photo from emedicine.medscape.com/article/104401…
-excerpt from WikiM (wikem.org/wiki/IVC_ultra…) for a nice description
-an annotated sample B mode image and M mode image

3/
Read 28 tweets

Did Thread Reader help you today?

Support us! We are indie developers!


This site is made by just two indie developers on a laptop doing marketing, support and development! Read more about the story.

Become a Premium Member ($3/month or $30/year) and get exclusive features!

Become Premium

Too expensive? Make a small donation by buying us coffee ($5) or help with server cost ($10)

Donate via Paypal Become our Patreon

Thank you for your support!

Follow Us on Twitter!