1/ 📢📢#tweetorial alert# 📢📢
#nephtwitter #medtwitter
Poll: What are the complications of Renal biopsy?🔫
2/ Bleeding can occur at 3 sites:
🚩Into the collecting system➡️ microscopic or gross hematuria ➡️ureteral obstruction
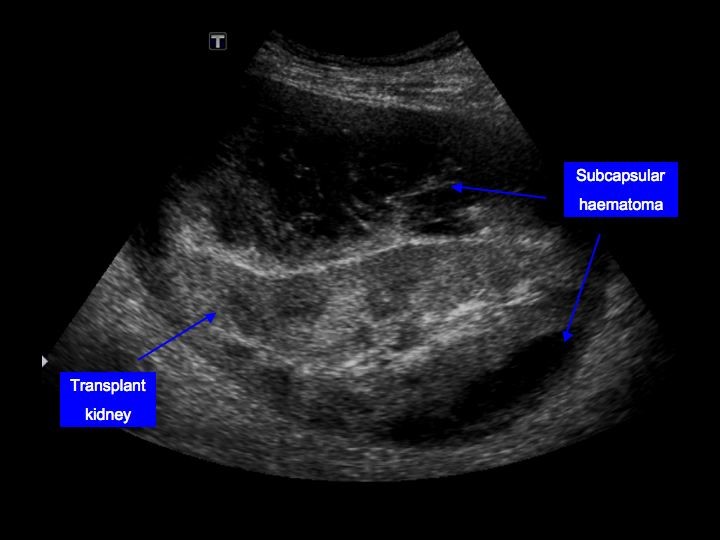
🚩Underneath the renal capsule ➡️ pressure tamponade & pain
🚩Into the perinephric space ➡️ hematoma formation
pubmed.ncbi.nlm.nih.gov/10846435/
3/ Rarely, severe bleeding may occur due to puncture of : 🩸
📌renal artery,
📌aorta
📌venous collaterals ( in renal vein thrombosis)
4/ What are risk factors for bleeding 🩸⁉️
1.HTN,
2. ⬇️GFR,
3.anemia,
4.older age, 👩‍🦼
5.use of a larger (14 gauge) biopsy needle🔫
5/Poll: Which is the most common complication of renal biopsy?🔫🩸
6/ Incidence of bleeding complications:
📌Pain at biopsy site–4.3%
📌Transient macroscopic hematuria–3.5%
📌Perinephric hematomas–11%
📌Requirement for transfusion–1.6%
📌Requirement for intervention–0.3%
📌Requirement for nephrectomy–0.01%
📌Death–0.06%
pubmed.ncbi.nlm.nih.gov/33060160/
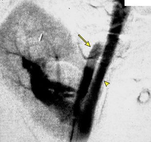
7/ Pain lasting more than 12 hours - 4 %;
due to ureteral obstruction from a blood clot or
stretching of the renal capsule by a subcapsular hematoma
Image: Ureteric obstruction due to blood clot
link.springer.com/article/10.100…
8/AVF - 14 %
due to damage to the walls of an adjacent artery and vein usually clinically silent and resolve spontaneously over 1 to 2 years.
👁‍🗨Diagnosis - color Doppler ultrasonography or arteriography
👁‍🗨Treatment - transcatheter arterial embolization or surgical ligation
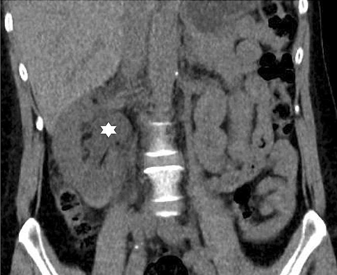
9/ Chronic hypertension due to the "Page kidney"
Pressure-induced ischemia from a large subcapsular hematoma → activation of RAS→ HTN
radiopaedia.org/articles/page-…
pubmed.ncbi.nlm.nih.gov/1951341/
10/Perirenal soft tissue infection - 0.2 %,🦠
most often in patients with active parenchymal renal infection
pubmed.ncbi.nlm.nih.gov/1395165/
11/Rarely, puncture of the
📌liver,
📌pancreas,
📌spleen, or
📌even aorta may occur, as well as
📌urinoma formation from puncture of the urinary tract
pubmed.ncbi.nlm.nih.gov/25115496/
12/ The risk of bleeding associated with transjugular kidney biopsies is unclear, and which patients are the best candidates for this route is unknown.
13/ Methods:
📌France (2010–2019)🇫🇷
📌Retrospective cohort study 🧑‍🤝‍🧑
📌bleeding associated with transjugular vs percutaneous native kidney biopsies 🩸
📌Outcomes: Major bleeding 🩸at day 8 and risk of death ☠️at day 30 assessed using Bleeding risk score
14/ Results:
#⃣Total 60,331 patients (transjugular route: 5305; percutaneous route: 55,026 patients)
🩸Transjugular ↓ risk of major bleeding than percutaneous [OR]: 0.88 [0.78–0.99]), especially for scores ≥20
15/ Major bleeding 🩸was associated with an ⬆️ risk of death☠️ both for transjugular (OR: 1.77 [1.00–3.14]) and percutaneous (OR: 1.80 [1.43–2.28]) routes.
kireports.org/article/S2468-…
16/Conclusion: transjugular route : ⬇️ risk of bleeding 🩸than percutaneous route, especially in high-risk patients with pre-procedure risk score ≥20 (i.e., 25% of patients). Major bleeding is associated with an ⬆️risk of death for both routes.
This tweetorial is brought to you by @nephromythri on behalf of @KIReports social media team

• • •

Missing some Tweet in this thread? You can try to force a refresh
 

Keep Current with KIReports

KIReports Profile picture

Stay in touch and get notified when new unrolls are available from this author!

Read all threads

This Thread may be Removed Anytime!

PDF

Twitter may remove this content at anytime! Save it as PDF for later use!

Try unrolling a thread yourself!

how to unroll video
  1. Follow @ThreadReaderApp to mention us!

  2. From a Twitter thread mention us with a keyword "unroll"
@threadreaderapp unroll

Practice here first or read more on our help page!

More from @KIReports

5 Aug
1/ A story about anti-GBM disease for #ThrowbackThursday — starting with the initial case report by Dr. Ernest Goodpasture himself. pubmed.ncbi.nlm.nih.gov/19680020/
2/ In late September 1918, Dr. Ernest Goodpasture admitted a patient to the hospital with what initially appeared to be a quote “typical attack of influenza.” He presented with a 3 day history of cough, dyspnea and fever to 103.0.
3/ He had no clinical evidence of pneumonia. His fever resolved and he was discharged home 3 days later. He felt ill after discharge, but returned to work. His cough persisted though, and weight loss and fatigue worsened.
Read 15 tweets
4 Aug
1/ We have all heard of monoclonal gammopathy of renal significance, but which conditions are considered as a manifestation of MGRS?
2/ A recent KI Reports paper gives a nice review of MGRS
kireports.org/article/S2468-…
3/ 3% of the general population >50 years old has MGUS and only a small percentage (1%) progress to malignancy such as myeloma or lymphoplasmacytic lymphoma. These patients are observed over time and no chemotherapy is given
Read 7 tweets

Did Thread Reader help you today?

Support us! We are indie developers!


This site is made by just two indie developers on a laptop doing marketing, support and development! Read more about the story.

Become a Premium Member ($3/month or $30/year) and get exclusive features!

Become Premium

Too expensive? Make a small donation by buying us coffee ($5) or help with server cost ($10)

Donate via Paypal Become our Patreon

Thank you for your support!

Follow Us on Twitter!

:(