Wissenschaftler entdecken Rezeptor, der #COVID19-Infektion blockiert

Wissenschaftler der Universität Sydney haben ein Protein in der Lunge entdeckt, das eine #SARSCoV2-Infektion verhindert und eine natürliche Schutzbarriere im menschlichen Körper bildet.

#Coronavirus #LongCovid Image
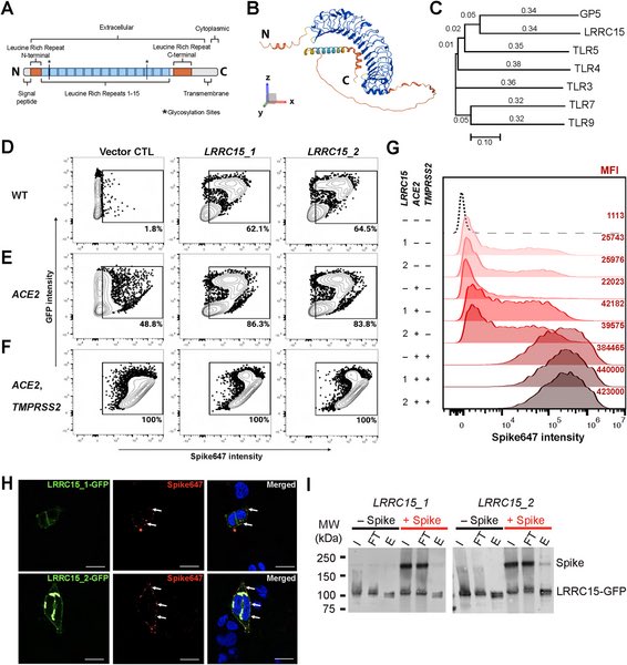
Dieses Protein, das leucine-rich repeat-containing protein 15 (LRRC15), ist ein eingebauter Rezeptor, der das SARS-CoV-2-Virus bindet, ohne die Infektion weiterzugeben.
Die Forschungsarbeit eröffnet einen völlig neuen Bereich der immunologischen Forschung rund um LRRC15 und Image
bietet einen vielversprechenden Weg zur Entwicklung neuer Medikamente zur Verhinderung von Virusinfektionen durch Coronaviren wie COVID-19 oder zur Behandlung von Fibrose in der Lunge.
Die Studie der Universität ist eine von drei unabhängigen Arbeiten, die die Interaktion dieses
spezifischen Proteins mit COVID-19 aufzeigen und wurde von Professor Greg Neely und seinen Mitarbeitern Dr. Lipin Loo und Matthew Waller geleitet. Zusammen mit zwei anderen Gruppen, eine in Oxford, die andere in Brown und Yale in den USA, haben sie einen neuen Rezeptor im
LRRC15-Protein gefunden, der SARS-CoV-2 stoppen kann. „Wir fanden heraus, dass dieser neue Rezeptor an das Virus bindet und es sequestriert, was die Infektion reduziert", sagte Professor Neely. "Für mich als Immunologe ist die Tatsache, dass es diesen natürlichen Immunrezeptor
gibt, von dem wir nichts wussten, der unsere Lungen auskleidet und das Virus blockiert und kontrolliert, wahnsinnig interessant.
Wir können diesen neuen Rezeptor nun nutzen, um breit wirkende Medikamente zu entwickeln, die Virusinfektionen blockieren oder sogar Lungenfibrose
unterdrücken können." Das COVID-19-Virus infiziert den Menschen, indem es sich mithilfe eines Spike-Proteins an einen bestimmten Rezeptor in unseren Zellen anheftet. Es nutzt in erster Linie ein Protein namens Angiotensin-Converting Enzyme 2 (ACE2)-Rezeptor, um in menschliche
Zellen einzudringen. Lungenzellen weisen eine hohe Anzahl von ACE2-Rezeptoren auf, weshalb das COVID-19-Virus in diesem Organ infizierter Menschen häufig schwere Probleme verursacht.
Wie ACE2 ist auch LRRC15 ein Rezeptor für Coronaviren, d. h. das Virus kann sich an ihn binden.
Aber im Gegensatz zu ACE2 unterstützt LRRC15 die Infektion nicht. Es kann sich jedoch an das Virus heften und es unbeweglich machen. Auf diese Weise verhindert es, dass andere gefährdete Zellen infiziert werden. "Wir denken, dass es ein bisschen wie ein molekularer
Klettverschluss wirkt, indem es an der Spitze des Virus haftet und es dann von den Zielzelltypen wegzieht", so Dr. Loo.
„Im Grunde ist das Virus mit dem anderen Teil des Klettverschlusses umhüllt, und während es versucht, zum Hauptrezeptor zu gelangen, kann es sich in diesem Netz
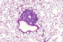
von LRRC15 verfangen", so Waller. LRRC15 ist an vielen Stellen zu finden, z. B. in der Lunge, der Haut, der Zunge, den Fibroblasten, der Plazenta und den Lymphknoten. Die Forscher fanden jedoch heraus, dass die menschliche Lunge nach einer Infektion mit LRRC15 aufleuchtet.
"Wenn wir die Lungen von gesundem Gewebe färben, sehen wir nicht viel LRRC15, aber in COVID-19-Lungen sehen wir viel mehr von dem Protein", sagte Dr. Loo. "Wir denken, dass dieses neu identifizierte Protein Teil der natürlichen Reaktion unseres Körpers auf die Bekämpfung der
Infektion sein könnte, indem es eine Barriere bildet, die das Virus physisch von unseren Lungenzellen trennt, die am empfindlichsten auf COVID-19 reagieren."
"Als wir die Funktionsweise dieses neuen Rezeptors untersuchten, stellten wir fest, dass dieser Rezeptor auch die
antiviralen Reaktionen sowie die Fibrose steuert und einen Zusammenhang zwischen der COVID-19-Infektion und der Lungenfibrose herstellen könnte, die bei Long COVID auftritt", sagte Waller. "Da dieser Rezeptor die COVID-19-Infektion blockieren und gleichzeitig die antivirale Image
Reaktion unseres Körpers aktivieren und die Fibrose-Reaktion unseres Körpers unterdrücken kann, ist dies ein wirklich wichtiges neues Gen", sagte Professor Neely.
"Diese Entdeckung kann uns helfen, neue antivirale und antifibrotische Medikamente zu entwickeln, um pathogene
Coronaviren und möglicherweise auch andere Viren oder andere Situationen, in denen Lungenfibrose auftritt, zu behandeln. "Für Fibrose gibt es keine guten Medikamente: Die idiopathische Lungenfibrose beispielsweise ist derzeit unbehandelbar."
Fibrose ist eine Erkrankung, bei der
das Lungengewebe vernarbt und verdickt wird, was zu Atembeschwerden führt. COVID-19 kann Entzündungen und Schäden in der Lunge verursachen, die zu Fibrose führen.
Die Autoren erklärten, dass sie mit Hilfe von LRRC15 zwei Strategien gegen COVID-19 entwickeln, die bei mehreren Image
Varianten funktionieren könnten - eine, die auf die Nase als vorbeugende Behandlung abzielt, und eine andere, die auf die Lunge für schwere Fälle abzielt. Die Forscher sagten auch, dass das Vorhandensein oder Fehlen von LRRC15, das an der Lungenreparatur beteiligt ist, ein
wichtiger Hinweis darauf ist, wie schwer eine COVID-19-Infektion werden könnte.
"Eine Gruppe am Imperial College London hat unabhängig davon festgestellt, dass das Fehlen von LRRC15 im Blut mit einer schwereren COVID-Infektion einhergeht, was unsere Vermutung bestätigt. Dr. Loo
sagte. "Wenn Sie weniger von diesem Protein haben, haben Sie wahrscheinlich eine schwere COVID-Erkrankung, wenn Sie mehr davon haben, ist Ihre COVID-Erkrankung weniger schwerwiegend. "Wir versuchen nun zu verstehen, warum dies der Fall ist.
Im Rahmen der Forschung wurden Image
menschliche Zellkulturen nach Genen durchsucht und die Lungen von #COVID19-Patienten untersucht.

Die Links zu Bericht und Studien:

sydney.edu.au/news-opinion/n…

journals.plos.org/plosbiology/ar…

biorxiv.org/content/10.110…

biorxiv.org/content/10.110…

#Coronavirus #LongCovid #SARSCoV2

• • •

Missing some Tweet in this thread? You can try to force a refresh
 

Keep Current with Ralf Wittenbrink

Ralf Wittenbrink Profile picture

Stay in touch and get notified when new unrolls are available from this author!

Read all threads

This Thread may be Removed Anytime!

PDF

Twitter may remove this content at anytime! Save it as PDF for later use!

Try unrolling a thread yourself!

how to unroll video
  1. Follow @ThreadReaderApp to mention us!

  2. From a Twitter thread mention us with a keyword "unroll"
@threadreaderapp unroll

Practice here first or read more on our help page!

More from @RWittenbrink

Feb 12
#LongCovid äußert sich in einer Dysregulation der T-Zellen, Entzündungen und einer unkoordinierten adaptiven Immunantwort auf #SARSCoV2

Die Ergebnisse dieser neuen Studie zeigen, dass Personen mit Long COVID (LC) eine systemische Entzündung und eine Dysregulation…

#COVID19 Image
des Immunsystems aufweisen. Dies wird durch Unterschiede in der Verteilung der T-Zell-Untergruppen in einer Weise belegt, die auf anhaltende Immunreaktionen schließen lässt, sowie durch geschlechtsspezifische Störungen der zellauflösenden Untergruppen. Personen mit LC wiesen eine Image
erhöhte Häufigkeit von CD4+ T-Zellen auf, die bereit waren, in entzündetes Gewebe zu migrieren, und erschöpfte SARS-CoV-2-spezifische CD8+ T-Zellen. Außerdem wiesen sich sie signifikant höhere Werte an SARS-CoV-2-Antikörpern auf und zeigten im Gegensatz zu Personen ohne LC eine Image
Read 15 tweets
Feb 11
Eine neue Wirksamkeitsstudie unter realen Bedingungen dokumentiert eine 85-prozentige Reduzierung der Todesfälle und eine 55-prozentige Reduzierung der Krankenhauseinweisungen für mit Nirmatrelvir-Ritonavir (Paxlovid ®) behandelte Patienten,…

#COVID19 #Coronavirus #SARSCoV2 Image
während einer #Omicron-Periode einschließlich der Subvarianten BA.4 und BA.5., unabhängig von Impfstatus und Alter. Diese Daten unterstützen die Behandlung von akut mit SARS-CoV-2 infizierten Erwachsenen mit Nirmatrelvir-Ritonavir (Paxlovid ®). Image
Unter Verwendung der Besuche in der Notaufnahme als Surrogat für einen klinisch bedeutsamen Rückfall nach der Erstuntersuchung und -behandlung wurde bei den mit Nirmatrelvir-Ritonavir behandelten Patienten eine niedrigere Besuchsrate in der Notaufnahme im Vergleich zu Image
Read 5 tweets
Feb 11
Medizinische Wissenschaft demokratischer machen

Patientengruppen arbeiten wie nie zuvor mit medizinischen Forschern zusammen und schaffen so ein neues Modell für Fortschritte bei der Bekämpfung von #LongCovid und anderen Krankheiten.

Die #Corona-Pandemie hat einmal..

#COVID19 Image
mehr gezeigt, wie wichtig die offenere und integrativere Zusammenarbeit zwischen Patienten und Wissenschaft ist.
„Auf einem Webinar im Januar gaben die Mitbegründer der Patient-Led Research Collaborative bekannt, dass sie Scorecards entwickelt haben, mit deren Hilfe Patienten, Image
wissenschaftliche Mitarbeiter und Geldgeber besser messen und beurteilen können, wie gut sie zusammenarbeiten und wie sie ihre Partnerschaft verbessern können. Das Projekt entstand aus der Enttäuschung darüber, dass die Prioritäten der Patienten von Long Covid nicht immer
Read 8 tweets
Feb 9
#LongCovid - Die Pandemie nach der Pandemie

Als die #COVID19-Pandemie vor drei Jahren über die Welt hereinbrach, ging man davon aus, dass es sich bei dem #Coronavirus hauptsächlich um eine Atemwegserkrankung handelt, die auch die Zellen schädigt, die die Blutgefäße auskleiden…
Die Forschung zeigt nun aber, dass sich das Virus im ganzen Körper ausbreiten und in den Organen verbleiben kann. Dies könnte ein Anhaltspunkt für das anhaltende Phänomen von #LongCovid sein und darauf hindeuten, warum es für den Einzelnen und das Gesundheitssystem noch einige
Zeit ein ernstes Problem bleiben wird. Die ganze Welt wird sich auf ein Erbe von Menschen einstellen müssen, die an Long COVID leiden.
Jetzt geht es darum, den Ernst der bevorstehenden Krise zu erkennen - und Pläne zu ihrer Bewältigung zu entwickeln. Die Nation und die Welt
Read 4 tweets
Feb 8
Studien zeigen, dass Veränderungen im Mikrobiom eine Signatur für #MECFS sein können

Forscher haben Unterschiede im Darmmikrobiom von Menschen mit myalgischer Enzephalomyelitis/chronischem Erschöpfungssyndrom (ME/CFS) im Vergleich zu gesunden Kontrollpersonen gefunden.

#COVID19
Die Ergebnisse zweier Studien, die in der Zeitschrift Cell Host & Microbe veröffentlicht wurden, ergänzen die zunehmenden Belege für einen Zusammenhang zwischen Störungen des Darmmikrobioms, der Gesamtheit der Bakterien, Viren und Pilze, die in unserem Magen-Darm-Trakt leben, und
ME/CFS. "Das Mikrobiom hat sich als ein möglicher Faktor für ME/CFS herausgestellt. Diese Ergebnisse bieten einzigartige Einblicke in die Rolle des Mikrobioms bei der Krankheit und deuten darauf hin, dass bestimmte Unterschiede im Darmmikrobiom als Biomarker für ME/CFS dienen
Read 7 tweets
Feb 7
Das #SARSCoV2 M-Protein erleichtert die bösartige Transformation von Brustkrebszellen

Zahlreiche Studien deuten darauf hin, dass Krebspatienten nicht nur ein hohes Risiko für eine SARS-CoV-2-Infektion haben, sondern auch ein erhöhtes Risiko für ein beschleunigtes…

#Covid_19
Fortschreiten der Krebserkrankung nach der Infektion. Darüber hinaus wurde in mehreren Fallberichten gezeigt, dass sich der Verlauf von Brustkrebs nach einer Infektion mit SARS-CoV-2 verschlechtert hat, einschließlich neuer Metastasen und Tod aufgrund von Tumorwachstum.
Die Ergebnisse der vorliegenden Studie zeigten, dass das SARS-CoV-2 M-Protein die Migration, Invasion und Expression von der dreifach-negativen Brustkrebs (TNBC)-Zelllinie (MDA-MB-231 fördert, was mit der Hochregulierung der NFκB- und STAT3-Signalwege zusammenhängt.
Read 6 tweets

Did Thread Reader help you today?

Support us! We are indie developers!


This site is made by just two indie developers on a laptop doing marketing, support and development! Read more about the story.

Become a Premium Member ($3/month or $30/year) and get exclusive features!

Become Premium

Don't want to be a Premium member but still want to support us?

Make a small donation by buying us coffee ($5) or help with server cost ($10)

Donate via Paypal

Or Donate anonymously using crypto!

Ethereum

0xfe58350B80634f60Fa6Dc149a72b4DFbc17D341E copy

Bitcoin

3ATGMxNzCUFzxpMCHL5sWSt4DVtS8UqXpi copy

Thank you for your support!

Follow Us on Twitter!

:(