#MedEd #FOAMed PC:@dermnetnz
1/
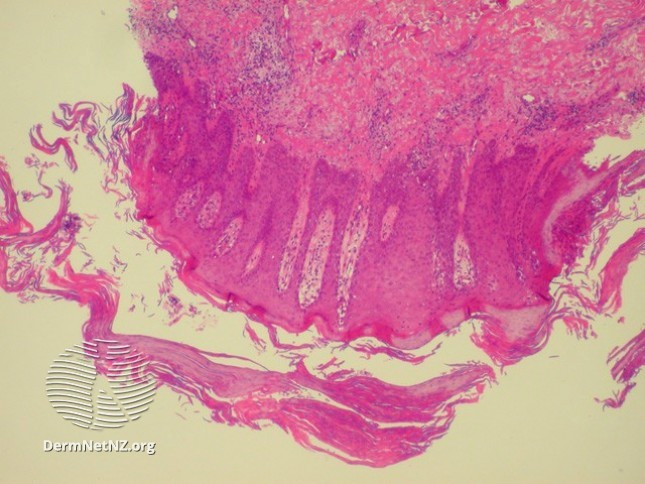
2/
Q: Ever notice how psoriasis doesn't really get impetiginized/superinfected but eczema does? Why do you think that is?
3/
5/
erythroderma - think about insensible fluid losses.
inverse - avoid high potency topical steroids given location.
pustular - can be ill w/fevers (Von Zumbusch type), & low Ca2+
guttate - often 2/2 strep throat! may need abx!
7/
12/
13/
14/
Anti-TNF are >> ustekinumab for CV risk mitigation.
15/
16/


#dermatology #medtwitter #derm
17/17














                        







